Jump to navigation
学会分会
上传文件
手机版
常见问题
评论排行
返回顶部
2013-01-05 文章来源:中国康复研究中心脊柱脊髓损伤科室 我要说
骨科在线版权所有,如需转载请注明来自本网站
欢迎使用ueditor!
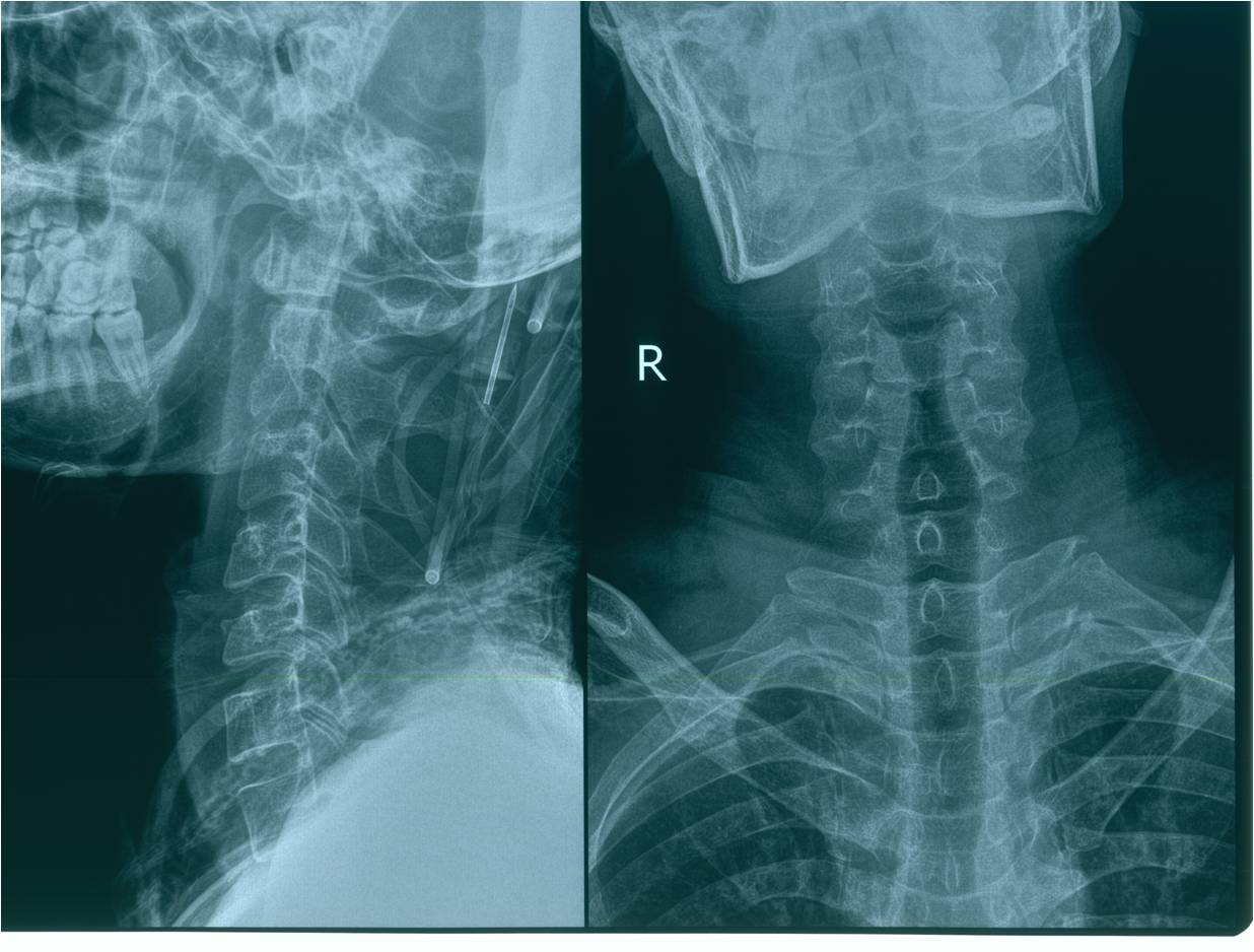
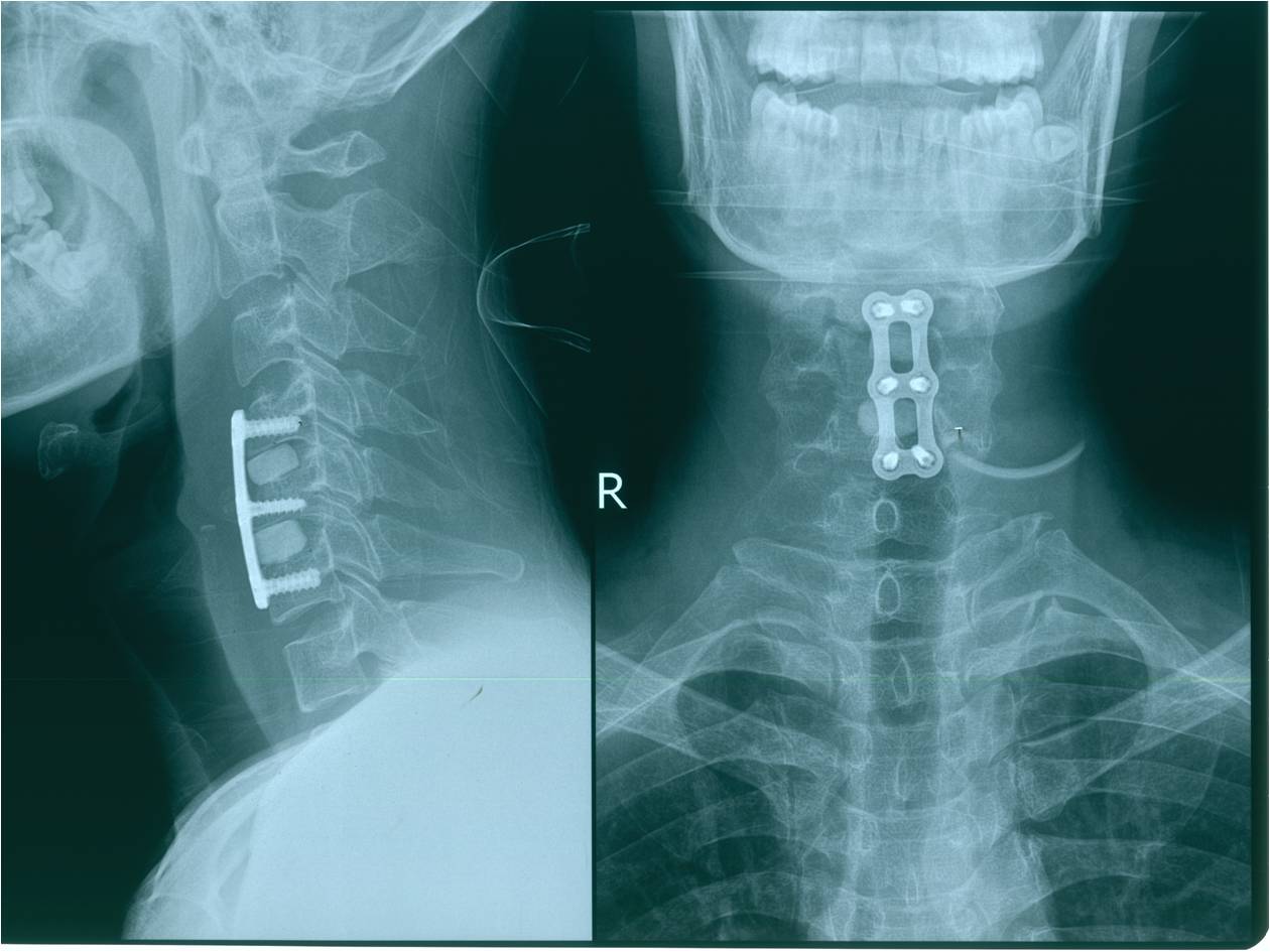
2012-11-18 车祸致四肢感觉、运动及二便功能障碍。
点击图片可显示原图!
查体:意识清楚,呼吸均匀,查体合作。双侧感觉平面颈4,运动平面颈5. 颈6以下轻触觉保留至肛周,针刺觉消失。颈5以下只有肛门括约肌保留运动功能。下肢肌张力0级。腱反射消失。球海绵体反射可引出。当地医院行X片、CT、MRI检查
骨科在线 北京经纬在线网络科技有限公司
京ICP备15001394号-2 京公网安备11010502051256号
信息产业部备案管理系统
地址:北京市朝阳区朝阳门北大街乙12号1号楼8层08公寓H
联系电话:010-85615836
Email:orth@orthonline.com.cn