辐照深冻异体骨用于髋臼翻修中骨缺损的打压植骨重建
2010-11-25 文章来源:骨科在线 我要说
骨科在线版权所有,如需转载请注明来自本网站
辐照深冻异体骨用于髋臼翻修中骨缺损的打压植骨重建
上海交通大学附属第六人民医院
王琦 张先龙 蒋垚 陈云苏 沈灏 邵俊杰
摘要 目的:研究辐照深冻异体骨用于髋臼翻修中严重骨缺损的打压植骨重建的临床效果。方法:2006年2月至2009年1月间所行的髋关节翻修术中共有20例21髋应用打压植骨技术结合金属网重建严重髋臼侧骨缺损,获得随访18例19髋。其中男4例5髋,女14例14髋;患者翻修时平均年龄为64.4岁(43~81岁)。本组患者均有髋臼骨缺损,根据术前和术中评判,患者髋臼骨缺损均为AAOS Ⅲ型;采用Paprosky分型,PaproskyⅡB型髋臼骨缺损4髋,PaproskyⅡC型8髋,PaproskyⅢA型5髋,PaproskyⅢB型2髋。手术用金属网修复髋臼节段性缺损,采用辐照深冻同种异体颗粒骨进行打压植骨结合骨水泥臼杯完成髋臼翻修。患者术后定期随访,进行影像学和临床评估,观察手术前后髋关节Harris评分变化,假体移位松动及异体骨骨整合情况,以及术中、术后并发症等。结果:患者平均随访22.4月(12~48月),Harris评分从术前平均42.5分(31~56)提高到术后88.6分(82~96)。其中疼痛评分术前平均为14.4分(10~20),术后最后一次随访平均为42.3分(40~44)。并发症:术后感染1例,经清创愈合。1例术后出现股四头肌无力表现,术后1年随访时已恢复正常。1例患者术后出现股骨近端外侧皮质吸收,大粗隆骨折。有1例PaproskyⅢB型患者出现金属网及髋臼杯明显移位等影像学松动表现,其余18髋的髋臼假体稳定,未发现臼杯在垂直和水平方向大于1mm的移位,也未发现髋臼假体外展角的改变;植骨层和宿主骨床可见连续骨小梁通过、移植骨与周围骨床骨密度趋向一致等骨整合表现。结论:金属网与打压植骨及骨水泥髋臼技术联合应用能有效地完成髋臼的生物学翻修。辐照深冻异体骨用于打压植骨能与周围骨床很好的整合。
关键词:髋关节翻修;髋臼,骨缺损;打压植骨; 辐照
Acetabular revision with impacted irradiated frozen allografts
Wang Qi, Zhang Xian Long, Jiang Yao, Chen Yun Su, Shen Hao, Shao Jun Jie
Department of Orthopaedics, Shanghai Sixth People’s Hospital, Shanghai Jiaotong University, Shanghai 200233, China
Abstract Objective Clinical and radiographical analyzing the result of acetabular revisions with Wire mesh, impacted irradiated frozen allografts and cemented cups. Methods From February 2006 to January 2009, a total of 20 patients with 21 acetabular revisions were performed with wire mesh, impacted irradiated frozen allografts and cemented cups. 18 cases (19 hips) were followed. There were 5 hips in 4 males and 14 hips in 14 females. The average age of patients was 64.4 years (43 to 81 years). Acetabular bone defects were AAOS typeⅢ in all patients. By Paprosky Classification, there were Paprosky Ⅱ B in 4 hips, Paprosky Ⅱ C in 8 hips, Paprosky ⅢA in 5 hips and Paprosky ⅢB in 2 hips. Wire mesh was used to converted segmental defects into cavity defects. Irradiated frozen allografts were impacted and cemented cup was inserted to complete the revision. Patients were followed up regularly with clinical and radiographical assessment. Harris score, migration and loosening of prosthesis grafts integration and complications were observed. Results The average follow - up time was 22.4months (12~48 months). Harris score improved from 42.5 points(31~56) pre-operation to 88.6 points(82~96) at the final follow up. Pain score was 14.4 point(10~20)before revision and 42.3 points(40~44)at the final follow up. Complications: There was 1 infection and healing after debridement. 1 patient had weakness of quadriceps and returned to normal after 1 year.
Greater trochanter fracture occurred in 1 patient. Cup migration and loosening were observed in 1 Paprosky ⅢB patients. There was no cup migration more than 1mm or change of abduction angle in the remaining 18 hips. Grafts incorporation defined as the presence of trabecular bone crossing the graft-host bond can also be seen in these 18 hips. Conclusion Impacted bone grafting technique combined with wire mesh and cemented cup is an effective method for biological acetabular revisionof. irradiated frozen allografts implanted with impaction bone grafting technique can integrate with the surrounding host bone.
Key words: revisionhip arthroplasty; acetabulum; bone defect; impaction grafting; irradiation
随着全髋关节置换术的普及,全髋关节翻修术的数量也在不断增长。根据美国的资料,全髋关节翻修术已在过去25年中逐步增加,并预计将在2026年增至2005年的2倍[1]。在髋关节翻修手术中,修复髋臼骨缺损是一个手术获得成功的最重要一环。打压植骨用于修复初次全髋关节置换和翻修术中的骨缺损已有将近30年的历史[2]。这项技术出现时,Sloff教授等人采用新鲜深冻异体骨作为植骨材料[2]。由于疾病传播的风险,人们对深冻异体骨的广泛应用始终存在顾虑,辐照异体骨作为一种更安全的植骨材料开始被用于手术。目前已有少数深冻辐照异体骨用于髋关节翻修的报道[3] [4]。辐照异体骨移植在理论上疾病传播风险较低,同时又能完成髋臼骨缺损的生物学重建。但是,对于辐照是否对植骨材料的机械性能和骨整合产生影响仍有一定争议[5] [6]。自2006年起,我们在全髋关节翻修术中采用辐照深冻同种异体颗粒骨进行打压植骨修复髋臼股骨缺损。本文的目的是通过临床和影像学随访来研究辐照深冻异体颗粒骨用于髋臼骨缺损的打压植骨重建时的骨整合能力和假体稳定性。
材料和方法
2006年2月至2009年1月应用打压植骨技术结合金属网重建严重髋臼侧骨缺损的患者共有20例21髋,获得随访18例19髋,其中男4例5髋,女14例14髋;患者翻修时平均年龄为64.4岁(43~81岁)。患者翻修原因:人工股骨头置换术后疼痛、髋臼严重磨损骨缺损3例,全髋关节置换术后假体无菌松动15例16髋。本组患者均有髋臼骨缺损,根据术前和术中评判,患者髋臼骨缺损均为AAOS Ⅲ型;采用Paprosky分型,PaproskyⅡB型髋臼骨缺损4髋,PaproskyⅡC型8髋,PaproskyⅢA型5髋,PaproskyⅢB型2髋。翻修术中,髋臼边缘和臼底较大的节段性用金属网修复,臼底小于1cm的节段性缺损直接用异体骨块封闭。然后采用辐照深冻同种异体颗粒骨进行髋臼打压植骨,最后植入骨水泥髋臼杯完成翻修。1例双髋翻修患者同时伴有双侧股骨假体周围骨折,股骨翻修时还应用异体骨板捆绑固定。
所有患者通过病史、实验室检查和术中冰冻切片排除人工关节感染可能。
植骨材料的准备:
手术植骨选用异体股骨头,所有股骨头清洗骨髓后经25 kGy伽玛射线辐照消毒并深冻保存。术中将异体体股骨头去除表面软组织、软骨及软骨下骨,手工修剪成8×8mm3左右的骨颗粒。颗粒骨修剪后用生理盐水反复冲洗以彻底洗去其中的脂肪,能使颗粒骨更易被打压。Ullmark的研究表明,经生理盐水冲洗后,打压植骨后骨床对骨水泥髋臼假体的把持能力就得到大幅增加[7]。
手术方法:
手术需要较初次置换更为广泛的暴露,我们采用髋关节后外侧切口。为避免对骨组织过度的牵拉造成髋臼或股骨骨折,术中应进行充分的软组织松解。在髋关节脱位前可先在股骨近端做一定的软组织松解,以方便关节脱位并使股骨更容易地被牵向前方。髋关节周围的关节囊及疤痕组织要广泛切除。松解后的关节应该能完整的暴露髋臼的前、上、后方以及下方的髋臼横韧带而没有股骨和软组织的阻挡。假体取出困难或股骨畸形困难需要行延长的粗隆截骨。
假体取出后,髋臼内的纤维假膜组织用骨膜剥离器和刮匙从髋臼骨床表面刮除。骨床表面还可进一步用磨钻打磨至骨面渗血。在髋臼完全清理后,仔细检查判断髋臼的骨缺损状况,髋臼的节段性骨缺损则需要采用金属网予以封闭,使之转化为容积性缺损。髋臼内壁较小的节段性骨缺损也可用片状的大块异体骨予以覆盖。
髋臼旋转中心的重建可以髋臼横韧带为参照,髋臼假体的下缘应平髋臼横韧带水平。在用金属网重建髋臼边缘时,可先用合适大小的髋臼试模置于横韧带水平,判断需要重建的髋臼边缘大小。将金属网修剪成合适的大小和形状,然后将修剪后的金属网覆盖骨缺损部位,用自攻螺钉将之固定到髂骨。金属网前后缘固定到髋臼前后壁是重建的关键,这两处可靠的固定能保证将节段性缺损转化为容积性缺损。螺钉固定的方向应与金属网的受力方向垂直,这样更能增强螺钉的把持力,减少螺钉拔出的可能。一般情况下固定金属网需用3-5个左右螺钉。
髋臼内壁的节段性骨缺损同样需用金属网覆盖。小的缺损可用片状的大块异体骨覆盖或直接将圆形的金属网置于其上,然后进行打压植骨而无需固定。较大的缺损则需要用螺钉将金属网固定在髋臼内。这时的螺钉固定的方向很重要,螺钉应尽量向上方的髂骨和下方的坐骨拧入。通过这些操作,髋臼的节段性骨缺损可以很好地被转变为容积性缺损。
将修剪后的颗粒骨植入髋臼,选用Exchange 打压植骨器械(Stryker Howmedica Osteonics, Allendale, NJ, USA)进行打压植骨操作。在髋臼侧,该套器械由大小不等髋臼打压器构成。打压植骨时,髋臼打压器由大至小逐级将颗粒骨打压紧密,直至打压后的髋臼骨床直径比欲植入的髋臼假体直径大4mm。需要注意的是深冻骨在辐照后变硬,因此击打时要注意力度,防止造成臼底或臼壁骨折。在打压植骨过程中,随着髋臼内侧和上方不断填入颗粒骨,原来上移、内陷的髋臼旋转中心逐渐向下外方向移动至接近正常旋转中心水平。最后再次置入髋臼试模观察假体位置及覆盖情况。
髋臼使用抗生素骨水泥固定。冲洗后保持骨床干燥,骨水泥置入髋臼,用髋臼骨水泥加压器加压5秒以使骨水泥更好的渗入骨床。植入聚乙烯髋臼杯,调整臼杯位置至40°-45°外展,20°前倾,用髋臼把持器加压臼杯直至骨水泥固化。
患者于术前30分钟及术后3天静脉滴注抗生素预防感染,并用低分子肝素预防深静脉栓塞。患者术后康复进程的制定应根据髋臼和股骨侧的稳定性而予个性化处理。如植骨非常紧密,股骨假体也有足够稳定性,可允许患者持拐患肢足尖负重,然后逐渐增加患肢负荷,至术后3月左右可尝试脱拐行走。如果病人节段性骨缺损严重,负重应适当延迟,患肢应避免负重3-6周。
患者于术后6周、3个月、6月、1年及以后每年一次接受随访。临床随访采用Harris髋关节评分系统比较手术前后髋关节功能改变情况。影像学随访主要观察植骨部位与骨床的骨整合和假体移位及松动发生情况。骨整合的判断根据Sloff描述的标准进行[7],当有连续的骨小梁结构通过宿主骨床和植骨界面时,可以认为存在骨整合。髋臼假体的移位主要测定假体的垂直、水平移位和髋臼假体外展角的变化。髋臼假体的垂直移位指选装中心至泪滴连线的垂直距离的变化;水平移位指旋转中心至骨盆中轴线的垂直距离的改变。骨水泥-植骨层之间的放射学透亮改变根据DeLee和Charnley的分区加以记载[8]。当骨水泥鞘周围出现连续的大于2mm的透亮线时,可以认为假体松动。
结果
临床评价:
所有患者平均随访22.4月(12~48月),Harris评分从术前平均42.5分(31~56)提高到术后88.6分(82~96)。其中疼痛评分术前平均为14.4分(10~20),术后最后一次随访平均为42.3分(40~44)。
2例患者术后出现持续渗出,分别于术后3周和1周行清创术,术中标本培养前1例阴性,后1例证实为头状葡萄球菌感染。此2例患者清创术中保留假体及所植异体骨,清创术后伤口皆一期愈合。术后随访期中关节功能良好,无感染复发征象,复查C反应蛋白及血沉皆保持在正常范围。
其它并发症:1例术后出现股四头肌无力表现,术后1年随访时已恢复正常。1例患者术后出现股骨近端外侧皮质吸收,大粗隆骨折,向近端移位,Trendelenburg征阳性。所有患者均未出现髋关节脱位。
影像学评价:
19髋中,18髋的髋臼假体稳定,未发现臼杯在垂直和水平方向大于1mm的移位,也未发现髋臼假体外展角的改变(图1-3)。有1例PaproskyⅢB型患者出现金属网及髋臼杯明显移位等影像学松动表现:术后12月随访时,髋臼上移16.8mm,内移4.7mm;术后28月时,髋臼上移22.7mm,内移5.8mm,髋臼假体外展角较术后减小2.2°(图4-6)。但患者髋关节疼痛不明显,日常生活中能无需手杖独立行走,拒绝再次翻修手术。
除了前述髋臼明显移位的患者,其余18髋可见植骨层和宿主骨床间隙模糊、骨小梁通过、移植骨与周围骨床骨密度趋向一致等骨整合表现。这18髋共54个DeLee和Charnley分区中,除去被金属网阻挡而无法清晰鉴别的8个分区外,仅在1例于Ⅰ区外缘发现无进行性发展的透亮线,其余45个分区无论在假体-植骨层还是植骨层-宿主骨床间均未出现透亮线。
讨论
髋臼翻修的关键之处就是髋臼骨缺损的处理、假体的固定,以及髋关节旋转中心的恢复。这其中,髋臼骨缺损的处理是髋臼翻修中最重要的环节。在全髋关节置换术数量日益增长的今天,接受翻修手术患者的平均年龄也呈现出年轻化趋势,因此正确处理髋臼骨缺损,提高翻修手术的长期成功率将显得十分重要。虽然有很多方法被用来完成髋臼翻修,如骨水泥填充骨缺损,大直径的非骨水泥髋臼植入,高位髋臼重建等,但异体骨打压植骨是修复髋臼骨缺损,恢复髋臼骨量的重要生物学方法之一。根据我们的随访结果,对伴有髋臼严重骨缺损的全髋翻修患者,金属网、骨水泥髋臼和打压植骨技术的联合应用是有效的解决方案。在本组18例19髋伴混合性骨缺损的翻修中,首先使用金属网将节段性骨缺损转化为腔隙性缺损,然后通过打压植骨进行髋臼重建,平均随访22.4月(12~48月),仅有1例出现影像学松动征象,假体生存率达94.7%。
Sloof于1979年最早开始采用新鲜深冻异体骨进行打压植骨完成髋臼翻修并取得了良好的临床效果。他们曾对1979年至1986年期间进行的髋臼打压植骨病人进行了长期的随访。在术后平均12年随访时,因无菌松动而再翻修的比例为6%[10]。在术后15年随访时,以假体无菌松动为统计终点的假体生存率为84%[11]。Boldt等人同样在翻修术中采用新鲜深冻异体骨进行打压植骨,173髋最长随访8.1年,平均4.3年,假体生存率达97.2%[12]。国内周勇刚等人报道打压植骨用于髋臼翻修取得很好的随访结果[13]。由于良好的临床结果,长期以来,新鲜深冻异体颗粒骨被认为是打压植骨的金标准[14]。但近年来,逐渐有报道将辐照异体颗粒骨用于打压植骨。研究表明25 kGy剂量的伽玛射线辐照虽然并不能完全阻止HIV病毒的传播[15],但能降低由于供者及加工环节污染等因素导致的疾病传播,因此能从一定程度上提高植骨材料的安全性。但另一方面,25 kGy剂量的辐照也可能降低异体骨的机械强度和骨诱导能力[6] [16]。在辐照过程中,骨髓中脂肪氧化产生的自由基对成骨细胞具有毒性,从而对异体骨的骨整合过程产生影响。近期有实验表明,当异体骨在接受辐照前先经清洗后,异体骨的整合能力与未接受辐照的异体骨相近[17]。因此我们在临床上所用的深冻异体骨,在接受25 kGy的伽玛射线辐照前,都先经彻底的骨髓清洗以保留骨整合能力。
辐照异体颗粒骨进行打压植骨髋关节翻修的临床随访已见报道。Buckley等人报道中,经过平均5年随访,153例患者的假体生存率为88%[3]。Hassabala对58例患者进行了48–90月的随访,没有患者因假体松动而需接受再翻修[18]。我们的病例中,仅有1例出现髋臼假体明显移位的影像学松动征象。这例假体松动患者失败的原因更多是由于手术技术因素而非异体骨吸收等原因所致。该患者髋臼底骨质条件极差,在打压植骨过程中发生了臼底骨折,术中未及时发现,导致术后髋臼缺乏足够支撑力,患者负重后髋臼假体及周围植骨床整体出现移位等松动表现。由于异体骨经辐照后较未经辐照的异体骨更硬,因此在打压植骨操作时更易导致髋臼底骨折,因此在后续的手术中,对于髋臼骨质薄弱的患者,我们通常在臼底衬垫金属网以防止骨折发生。
动物实验和人体内取出标本研究已经证实异体颗粒骨在髋臼打压植骨后能够与宿主骨床之间完成骨整合[19] [20]。Van der Donk [22]曾对初次置换和翻修术中打压植骨后异体骨颗粒的转归作了组织学研究。通过手术中对打压植骨部位的活检,他们发现在异体骨再血管化的过程中,破骨细胞去除了大部分的异体骨。随着新生血管组织长入植骨颗粒,可见新生成的类似骨小梁结构的骨组织在异体骨内和新生血管周围形成。然后,这些异体骨、新生骨和纤维蛋白的混合体很快转变成为新的具松质骨结构的骨组织。另一方面,假体的长期稳定性并不完全依赖于异体骨的改建。Linder报道临床结果满意的患者中可发现有大量的异体骨未经改建。作者认为纤维组织与异体骨颗粒交织的复合结构已足够支撑骨水泥假体[21]。目前临床上我们主要通过影像学检查来评估骨整合状况,但通过观察连续骨小梁和植骨区骨密度变化的方法并不完全可靠。这些观察指标与异体骨改建的组织学表现之间的关系尚未建立。但正如前面所述,假体的长期稳定并不完全依靠骨整合,因此即使当宿主骨床和植骨区界面间未能观察到连续骨小梁通过,也不表示手术失败。只有当假体出现持续移位或出现大于2mm的包绕假体的放射学透亮线时,才能认为假体松动。这与我们在本次研究中所观察到的情况一致:除了1例假体明显移位松动外,其余患者假体稳定,髋臼假体及植骨床周围未见透亮线,Harris评分也达到88.6分。
打压植骨是一项对操作要求较高的技术,本组唯一失败的病例即由于术中击打导致臼底骨折所致。尽管如此,我们不能因为害怕骨折而降低打压的力度,只有将异体颗粒骨打压紧密才能保证髋臼假体获得稳定,避免假体移位、松动情况出现。
本组研究结果表明打压植骨技术与金属网的结合应用能有效修复髋臼严重骨缺损,重建髋关节旋转中心。辐照深冻异体骨用于髋臼的打压植骨翻修能获得与文献报道的使用新鲜深冻骨相似的临床结果。经骨髓清洗的辐照骨在提高使用安全性的同时能保留较好的骨传导特性,有利于打压植骨后的骨整合过程。本次随访的近期结果令人满意,我们还将继续观察这项技术的长期临床结果。
参考文献
1 Kurtz S, Ong K et al. Projections of primary and revision hip and knee arthroplasty in the United States from 2005 to 2030. J Bone Joint Surg Am 89(4):780–785
2 Slooff TJ, Huiskes R et al. Bone grafting in total hip replacement for acetabular protrusion. Acta Orthop Scand 1984; 55(6):593–5
3 Buckley SC, Stockley I et al. Irradiated allograft bone for acetabular revision surgery. Results at a mean of five years. J Bone Joint Surg Br 2005; 87(3):310–313
4 Bankes MJK, Allen PW, Aldam CH. Results of impaction grafting in revision hip arthroplasty at two to seven years using fresh and irradiated allograft bone. Hip international 2003;13(Part 1):1–11
5 Hassaballa M, Mehendale S et al. Subsidence of the stem after impaction bone grafting for revision hip replacement using irradiated bone. J Bone Joint Surg Br 2009;91(1):37–43
6 Moreau MF, Gallois Y et al. Gamma irradiation of human bone allografts alters medullary lipids and releases toxic compounds for osteoblast-like cells. Biomaterials 2000;21(4):369–376
7 Ullmark G. Bigger size and defatting of bone chips will increase cup stability. Arch Orthop Trauma Surg. 2000;120:445-7
8 Slooff TJ, Schimmel JW, Buma P. Cemented fixation with bone grafts. Orthop Clin North Am 1993;24:667–677
9 DeLee JG, Charnley J Radiological demarcation of cemented sockets in total hip replacement. Clin Orthop Relat Res1976:20–32
10 Schreurs BW, Slooff TJ, Buma P, et al. Acetabular reconstruction with impacted morsellised cancellous bone graft and cement. A 10- to 15-year follow-up of 60 revision arthroplasties. J Bone Joint Surg [Br]. 1998; 80:391–395
11 Schreurs BW, Bolder SB, Gardeniers JW, et al. Acetabular revision with impacted morsellised cancellous bone grafting and a cemented cup: a 15- to 20-year follow-up. J Bone Joint Surg Br. 2004;86:492-497
12 Boldt JG, Dilawari P, Agarwal S, et al. Revision total hip arthroplasty using impaction bone grafting with cemented nonpolished stems and charnley cups. J Arthroplasty. 2001 Dec;16(8):943-52
13 周勇刚,张强,王岩.打压植骨结合金属网重建髋臼严重骨缺损[J].中华外科杂志,2009,47(3)172-176.
14 Toms A, Barker RL, Jones RS, Kuiper JH. Impaction bone grafting in revision joint replacement surgery. J Bone Joint Surg 2004;86-A(9):2050–2060
15 Pruss A, Kao M et al. Effect of gamma irradiation on human cortical bone transplants contaminated with enveloped and non-enveloped viruses. Biologicals. 2002; 30(2):125–133
16 Currey JD, Foreman J et al. Effects of ionizing radiation on the mechanical properties of human bone. J Orthop Res. 1997; 15(1):111–117
17 Hannink G, Schreurs BW et al. Irradiation has no effect on the incorporation of impacted morselized bone: a bone chamber study in goats. Acta Orthop 2007; 78(1):31–38
18 Hassaballa M, Mehandale S, Smith EJ, Learmonth, ID. Use of irradiated bone graft for impaction grafting in acetabular revisions J Bone Joint Surg 2006;88-B(Supplement I):66–67
19 Schimmel JW, Buma P, Versleyen D, et al. Acetabular reconstruction with impacted morselized cancellous allografts in cemented hip arthroplasty: a histological and biomechanical study on the goat. J Arthroplasty. 1998;13:438-48
20 van der Donk S, Buma P, Slooff TJ, et al. Incorporation of morselized bone grafts: a study of 24 acetabular biopsy specimens. Clin Orthop. 2002;396:131-41
21 Linder L. Cancellous impaction grafting in the human femur: histological and radiographic observations in 6 autopsy femurs and 8 biopsies. Acta Orthop Scand. 2000; 71(6):543–552

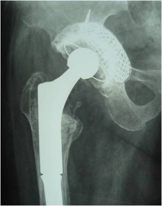
图1 全髋关节置换术后无菌松动,髋臼PaproskyⅢA型骨缺损

图2 术后6周,臼底缺损用金属网封闭 

图3 术后36月 异体骨整合良好

图 4 全髋关节置换术后无菌松动,髋臼PaproskyⅢB型骨缺损

图 5 术后X片见臼底骨折,骨缺损未完全封闭 

图 6 术后28月植骨层后连续性放射学透亮线,髋臼假体明显上移松动



京公网安备11010502051256号