影像基础丨寰枢椎的X线解剖学
2024-02-20 我要说
一、成人正常表现
颈椎正位片上,寰、枢椎可因上颌骨重叠而显示不清。
侧位片上,枢椎体部向上伸展形成齿突。寰椎前弓后缘阴影与齿突前缘间形成的间隙称为寰齿前间隙。寰椎前弓前缘阴影投影于其他颈椎总的曲度线之前。枢椎棘突影特别宽大,可作为阅片时颈椎计数的标志(图1)。
颈椎张口位可较满意地观察寰枢椎关节间隙、寰椎侧块和齿突。寰枢椎投影于上下齿列之间,齿突居中央,位于寰椎两侧下关节面最外缘连线的中垂线(寰椎轴线)上。齿突与寰枢椎侧块之间的间隙两侧对称(图1)。

图1 成人寰枢椎侧位(A)及张口位(B)
1. 寰椎前弓;2. 枢椎齿突;3. 寰椎侧块;4. 寰椎后弓;5. 寰齿前间隙;6. 枢椎上关节突;7. 枢椎横突;8. 枢椎椎体;9.枢椎下关节突;10. 枢椎棘突;11. 寰枢外侧关节;12. 寰椎横突。
二、生长期正常表现
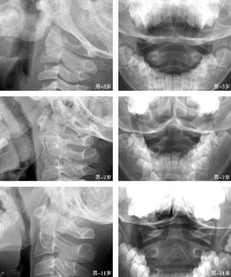
寰椎有3个骨化中心。在新生儿,X线仅能显示2个侧块的骨化中心。后者发育成寰椎后弓和侧块,4岁时后弓完成闭合。寰椎第3个骨化中心位于前弓,多在生后第1年出现。寰椎骨化中心常在5~9岁时融合。儿童侧块的骨化可先于枢椎椎体,与枢椎椎体相比,侧块明显向外侧移位,类似于寰椎骨折(假Jefferson 骨折)。(图2)

图2 生长期寰枢椎侧位及张口位
出生时,枢椎椎弓已有两个对称性骨化中心,4岁时融合。齿突骨化中心成对,脊索从其中部穿过。3~7岁时,齿突与椎体骨化中心融合,此时两个骨化中心之间仍有已退化的脊索和水平状的软骨联合存在。相互融合后,在此区域仍可残留骨硬化边、切迹或部分性裂隙,不能误认为是齿突骨折(图3)。齿突尖部单独骨化中心,可在出生时出现,但通常在第2年出现。齿突尖部骨化中心又称前寰椎或终末小骨,偶可孤立存在,但通常在12岁时与齿突骨化中心融合(图4)。终末小骨通常位于齿突尖部“V”形裂隙内,构成齿突尖部。
儿童颈椎活动度大于成人,在11~14岁时最大。侧位观,儿童颈部屈伸常有明显的枢椎与颈3间的相对移位,而颈3与颈4间移位不明显。约50%的7岁以下儿童,屈伸时枢椎后缘移位可达3mm或更大。屈曲位时,这种不均衡的移位最明显,称为“假性脱位”,此征象约在10岁时消失。8岁以前儿童颈椎后伸时,寰椎前弓可超过齿突尖2/3个齿突的宽度。

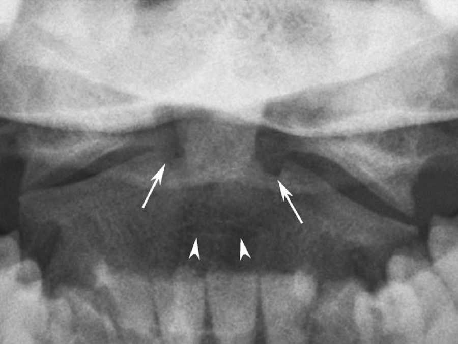
图3 枢椎上关节面内侧切迹和软骨盘
枢椎上关节面内侧可见裂隙状切迹(箭),为齿突和枢椎椎体骨化中心与先前的软骨区融合后的痕迹;齿突与枢椎体间的软骨盘可存留至成年,常有硬化边(箭头)。

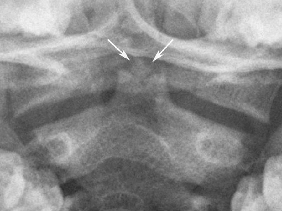
图4 齿突终末小骨
终末小骨(箭)位于齿突尖部“V”形裂隙内
寰椎前弓后缘与齿突前缘之间的距离称为“寰齿间距”,儿童宽约4mm。儿童颈部屈曲时,寰椎可出现轻度前移,此距离可略增宽。寰枢椎假性脱位表现为寰齿间距轻度扩大,屈曲时距离可达4mm,齿突前间隙常呈“V”形。儿童寰椎向前移位与假性脱位鉴别困难,寰齿间距大于5mm时,高度提示寰椎前移。
三、正常变异及易混淆结构
寰椎椎弓隆突变异较大。前弓和前结节肥厚,与退变性骨质增生所致的明显肥大或韧带骨化难以鉴别。横突孔偶可不对称,系由椎动脉先天性不对称所致。寰椎后弓旁正中央裂为正常变异,易误为骨折。前、后弓裂或后弓发育不全时,因侧块向外移位,可产生Jefferson骨折假象。
齿突尖通常呈半球形,亦可为圆锥形,或呈逐渐变细的尖头状。齿突本身可呈尖爪形或球形,或明显细长超出寰椎前弓。齿突尖内偶可见局限性密度增高区,为终末小骨融于齿突所致。先天性齿突不连表现为齿突尖端和其下部分离,类似于骨折,两者区别在于先天性齿突不连无明显创伤史,且分离处有光滑的硬化边。枢椎上关节面内侧可见不同程度的裂隙状切迹,偶可呈孔状,为齿突和枢椎椎体骨化中心与先前的软骨区融合后的痕迹(图3)。齿突与枢椎体间的软骨盘可存留至成年,常有硬化边或椎体前面切迹(图3)。
寰椎斜位投照易造成后弓骨折假象。颈椎斜位片上,枢椎横突后部可投影于椎间孔内,呈逗号形。外耳郭内空气重叠或倾斜位投照时,可出现类似于寰椎骨折的假象。在张口位X线片上,齿突与寰椎前弓或后弓重叠,可产生马赫效应(Mach effect),类似于骨折线。上排牙齿的边缘、枕骨阴影的边缘以及舌顶部都可形成这样的暗带,但仔细观察,这些阴影带都能延续超出齿突的两侧边缘。
无移位后弓骨折在平片上难以诊断,特别是患者伤势严重而摄片体位受限时,更不易显示(图9)。
椎前软组织阴影增厚为骨折的间接征象。当颈3椎体前方和颈4椎体上缘前方软组织厚度超过5~7mm,颈6和颈7椎前软组织厚度超过20~22mm时,提示有骨折可能(图9)。前纵韧带前方的椎前脂肪条带影移位为骨折的另一间接征象。
椎动脉的明显延长和扩张,可引起颈2椎体后缘和椎间孔后缘形成缺损,易误为膨胀性生长的肿瘤所导致的改变,颈2与颈3椎体水平常见。
寰枢椎半脱位指各种原因导致寰枢椎之间失去正常的解剖对位关系而出现轻微位移,引起上颈段神经和/或血管受压的一种病症。影像上可分为侧脱位、前后脱位、复合脱位以及旋转脱位等多种形式。影像学可表现为寰枢椎上下关节面错位、寰齿关节间隙增宽,间接征象为齿突侧距不对称、骨折。颈椎侧位显示,当寰齿间距成人>3mm、儿童>5mm时对诊断寰枢关节半脱位的诊断有重要意义;张口位显示,当齿突两侧距离差值成人>2.0mm、儿童>2.5mm时意义较大,需注意结合临床病史综合诊断。

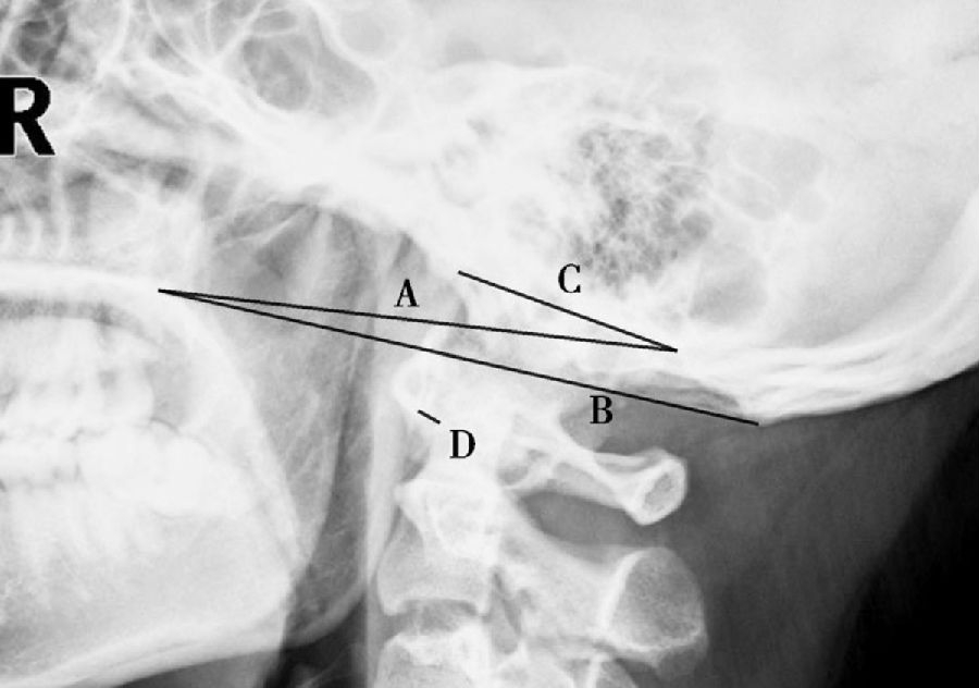
图5 颅颈交界侧位片测量图
A. Chamberlain线(腭枕线),硬腭后上缘至枕大孔后唇连线;B. McGregor线(基底线),硬腭后上缘至枕骨最低点(枕骨鳞部外板最下缘)连线;C. Mc Rae线,枕骨大孔前后缘连线;D. 寰齿前间隙。颅底凹陷:齿突尖部分别超出A、B、C线5mm、7mm及0mm。
寰枢关节半脱位:寰齿前间隙成人>3mm,儿童>5mm。寰枢旋转性半脱位,又称旋转固定,可为特发性或外伤所致。枢椎旋转性半脱位时,在张口位片上,枢椎棘突偏离正中位置,而寰椎两侧块对称(图6);侧位观察,枢椎外侧关节面可确定椎体前缘。寰椎旋转性半脱位时,张口位片上,寰椎侧块位置不对称;侧位片上,寰椎侧块没有完全重合,可向前或后突出。
寰枢椎的旋转在CT上显示更准确。此外,诊断寰枢椎错位前,必须首先排除先天性形态不对称及先天性或后天性韧带薄弱。
四、重要数据测量及意义
(1)Chamberlain线(腭枕线):颅颈交界侧位片,硬腭后上缘至枕大孔后唇连线,齿突尖端若超过此线上方5mm,提示颅底凹陷(图5、图7)。
(2)McGregor线(基底线):颅颈交界侧位片,硬腭后上缘至枕骨最低点(枕骨鳞部外板最下缘)连线,齿突尖端若超过此线上方7mm,提示颅底凹陷(图5)。
(3)Mc Rae线:颅颈交界侧位片,枕骨大孔前后缘连线,齿突尖端若超过此线提示颅底凹陷(图5)。
(4)寰齿前间隙:颅颈交界侧位片,寰椎前弓与枢椎齿突前缘的距离。正常值:女性1.238mm(0.007 4×年龄)±0.90mm;男性:2.052mm(0.019 2×年龄)±1.00mm;3~10岁儿童:2.8mm±0.50mm。成人此间隙大于3mm,儿童大于5mm,提示寰枢关节半脱位(图5、图6)。
五、病变展示

图6 寰枢椎脱位
A. 侧位片示寰齿间隙大于3mm;B. 张口位示齿突与寰椎侧块之间的间隙两侧明显不对称。枢椎棘突偏离正中位置,说明同时存在寰枢椎旋转性半脱位。

图7 颅底凹陷症齿突尖端位于Chamberlain线(a)上12mm(>5mm)。

图8 寰枢椎融合寰枢椎完全融合,寰椎前弓缺失。

图9 寰椎多发骨折
A. 颈椎X线侧位未显示明显骨折,但椎前软组织厚度达18mm(>7mm),为局部骨折的间接征象;B. CT横断面显示寰椎前弓、后弓、侧块及横突多发骨折(箭)。
参考文献:
[1] 黄军. 两种不同手术入路治疗胸腰椎结核的临床疗效对比分析[D]. 南昌大学, 2023.
[2] 肖博威, 刘宝戈, 戎天华, 张健豪, 吴炳轩, 桑大成. 对不同形态退变性颈椎后凸寰枢椎影像学参数的比较[J]. 骨科临床与研究杂志, 2023, 8 (01): 7-15.
[3] 吴学元, 易智, 凌鸣, 马宏伟, 靳占奎, 常彦海, 孙正明, 刘时璋. 大骨节病患者寰枢椎脱位的患病率及影像学分析[J]. 西安交通大学学报(医学版), 2022, 43 (05): 726-731.
[4] 伊尔夏提·克力木(Erxat·Kerem). 单纯Chiari畸形Ⅰ型与寰枢椎不稳相关性的影像学研究[D]. 新疆医科大学, 2022.
[5] 潘保顺, 方镇, 高明杰, 方贵明, 陈金水. 基于影像学数据设计带融合器的寰枢椎后路内固定系统[J]. 中国组织工程研究, 2022, 26 (09): 1372-1376.
[6] 马迅主编,党耕町主审.颈椎损伤外科学.人民卫生出版社,2015.ISBN:9787117206402.
[7] 丁建平,王霄英主编.医学影像学读片诊断图谱:头颈分册.人民卫生出版社,2013.ISBN :9787117174763.
[8] 胡春洪,龚沈初主编.脊柱四肢影像图解:正常解剖·常见变异·常见病变.人民卫生出版社,2021.ISBN 9787117311410.
声明:本文来源于专业期刊和书籍,由骨科在线编辑综合整理,如涉及版权问题请联系我们。



京公网安备11010502051256号