干货:TESSYS技术在治疗脱垂型腰椎间盘突出症中的手术技巧
2023-11-02 文章来源:脊柱内镜技术精要 作者:康健,樊碧发 我要说
TESSYS技术是一种微创手术技术,适用于治疗脱垂型腰椎间盘突出症。该技术具有微创、有针对性等优点,可以减少手术切口和组织损伤,缩短术后恢复时间。本文将根据一则实际病例分享TESSYS技术在治疗脱垂型腰椎间盘突出症中的手术技巧。但需要注意的是,该技术并不适用于所有类型的腰椎间盘突出症,在选择手术方法时需谨慎权衡和决策。
一、临床表现
主诉:
患者,中年男性。腰骶部酸痛5年,左下肢沿L5神经支配区域的放射痛及麻木1周。
检查:
左下肢疼痛VAS评分6~7分,腰骶部疼痛VAS评分4分,左下肢直腿抬高试验60°(+),左足第一足趾背伸肌力4级。
术前影像学检查:
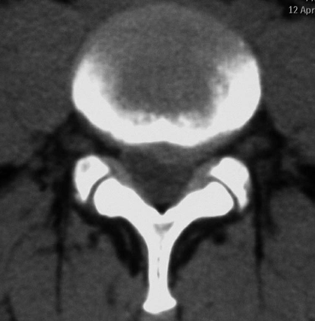
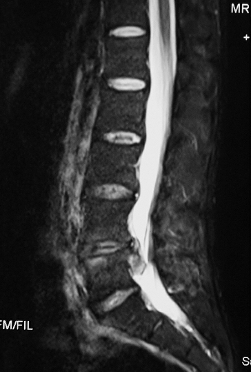
CT显示L4/5节段的椎间盘突出脱垂型(图1)。MRI示L4/5节段的椎间盘突出到Ⅲ层面(图2)。红外热成像显示左侧下肢的皮温明显低于右侧(图3)。

图1 CT轴位片L4~5节段的椎间盘突出:脱垂型

图2 MRI L4~5节段矢状位片:椎间盘脱垂到Ⅲ层面

图3 红外热成像显示左侧下肢的皮温明显低于右侧
二、术前计划
患者俯卧位,TESSYS技术-3靶点法左侧入路。
靶点:突出物的基底部(图4)。

图4靶点CT轴位片:L4/5突出物的基底部
穿刺方向:线腰椎DR前后位上标出(图5)。

图5 腰椎DR前后位片穿刺方向线1.第一靶点;2.第二靶点;3.第三靶点
穿刺角度线:腰椎DR侧位上标出(图6)。

图6 腰椎DR侧位片1.上关节突尖;2.L5椎体后上缘;3.穿刺角度线:上关节突尖与椎体后上缘的连线。
MRI矢状位片:神经根在椎间孔的位置正常(图7)。

图7 MRI矢状位L4神经根在椎间孔的位置正常
MRI轴位片:了解有无后位结肠(图8)。

图8 MRI轴位片了解有无后位结肠
三、手术操作流程
穿刺点定位:
穿刺方向线:用抓钳前后位透视下确定(图9)。

图9 穿刺方向线:用抓钳前后位透视下确定
穿刺角度线:用抓钳侧位透视下确定(图10)。

图10 穿刺角度线:用抓钳侧位透视下确定
穿刺点:穿刺方向线与穿刺角度线的交点即为穿刺点,后正中线旁开13cm。
麻醉穿刺同步实施:
上关节突尖的稍背侧(图11):0.5%利多卡因局麻后用勺状针由穿刺点与额状面呈20°缓缓进针,边进针边注入局麻药,达上关节突尖的稍背侧,抵骨,注入局麻药10ml。

图11 勺状针针尖抵达上关节突尖的稍背侧A.前后位透视;B.侧位透视
上关节突尖的腹侧(图12):调整勺状针的勺状面向腹侧,稍加大穿刺角度,使针尖略向腹侧进针,滑过上关节突尖部进入椎间孔,注入局麻药3ml。

图12勺状针针尖抵达上关节突尖的腹侧A.前后位透视;B.侧位透视
双针技术(图13):调整勺状针的勺状面方向,向脚端、向背侧;在勺状针内,置入笔尖针达突出髓核内。

图13 双针技术A.前后位透视笔尖针针尖达第三靶点;B.侧位透视笔尖针针尖达L5椎体后缘(突出髓核内)。
造影与染色(图14):注入突出物内2ml碘海醇和亚甲蓝的混合液(4∶1)进行造影与染色。

图14造影与染色A.前后位透视;B.侧位透视
达第一靶点勺状针沿笔尖针推进5~10mm抵达纤维环外(达第一靶点),退出笔尖针在勺状针里注射盐酸芬太尼50μg(用0.9%氯化钠3ml稀释),注入毕,置入导丝,并超出勺状针10mm。
建立工作通道3靶点法,椎间孔成形3靶点法:
第一靶点:
置入1级导杆:使头端到达第一靶点(图15)。

图15 置入1级导杆A.前后位透视头端到达第一靶点;B.侧位透视头端抵达L5椎体后上缘。
依次置入1~3级扩张管扩张软组织通道,3级扩张管在椎间孔外受阻(图16)。

图16 依次置入1级~3级扩张管,扩张软组织通道,3级扩张管在椎间孔外受阻。
第一靶点成形:在导丝、1级导杆、1级扩张管与3级扩张管间,逆时针旋入1级环锯,进行1级扩孔环锯头端扺达第一靶点(图17)。

图17 第一靶点成形:前后位透视环锯头端抵达第一靶点。
第二靶点:
置入2级导杆使头端到达第一靶点(图18)。

图18 置入2级导杆A.前后位透视:头端到达第一靶点;B.侧位透视:侧位透头端抵达L5椎体后上缘。
拔出导丝,将导杆尾端压向腹侧,用手锤敲打导杆尾端,使导杆头端在L5椎体后缘潜行到达第二靶点(图19)。

图19 拔出导丝,将导杆尾端压向腹侧,用手锤敲打导杆尾端,使导杆头端在L5椎体后缘潜行到达第二靶点A.侧位透视头端抵达L5椎体后缘;B.前后位透视头端到达第二靶点。
第二靶点成形:在导丝、2级导杆及2扩张管外,逆时针旋入2级环锯,抵达关节突,进行2级扩孔环锯头端扺达第二靶点(图20)。

图20第二靶点成形,前后位透视:环锯头端抵达第二靶点。
第三靶点:固定导丝,退出2级环锯、2级扩张管和2级导杆,导丝固定不动,沿导丝:
①置入3级导杆使头端到达第二靶点(图21);

图21 置入3级导杆,前后位透视:头端到达第二靶点
②拔出导丝,将导杆尾端压向腹侧,用锤子敲打导杆尾端,使导杆头端在L5椎体后缘潜行到达第三靶点(图22);

图22 拔出导丝,将导杆尾端压向腹侧用锤子敲打导杆尾端,使导杆头端在L5椎体后缘潜行到达第三靶点
③第三靶点成形:在导丝、3级导杆及3扩张管外,逆时针旋入3级环锯,抵达关节突,进行2级扩孔,环锯头端扺达第三靶点(图23);

图23 第三靶点成形,前后位透视:环锯头端抵达第三靶点
④置入工作套管:在导丝、3级导杆及3扩张管外,置入工作套管,斜口工作套管的短边位于椎弓根内侧缘(图24)。

图24 置入工作套管A.前后位透视斜口工作套管的短边位于椎弓根内侧缘;B.侧位透视工作套管头端位于L5椎体后缘
镜下操作:
清理工作区:脊柱内镜置入,看到凝血块,小抓钳抓取,射频头止血、消融、探查,分离出工作区(图25)。

图25 清理工作区椎间孔镜置入A.看到血凝块;B.小抓钳抓取;C.射频头止血、消融、探查;D.分离出工作区
组织辨识转动工作套管,暴露突出物。
摘除突出髓核组织(图26)。

图26 摘除突出髓核组织
清理髓核组织碎片(图27)。

图27 清理髓核组织碎片
椎体后缘成形(图28)。

图28 L5椎体后缘
镜下完成标志:硬膜囊的波动及L5神经根减压游离,椎管内减压充分(图29)。

图29 镜下操作完成标志神经根漂浮试验阳性
注入甲泼尼龙琥珀酸钠40mg。
工作套管与脊柱内镜一起缓缓拔出,检查通路。
术后:
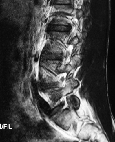
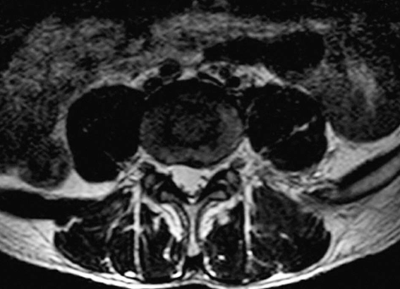
摘除的髓核组织(图30)。术后患者左下肢疼痛VAS评分由6~7分降至0~1分。左下肢直腿抬高试验90°(-),同右侧。术后一周复查磁共振(图31)及红外热成像(图32)。

图30 摘除的髓核组织

图31 术后1周复查MRI L4/5A.轴位;B.矢状位

图32 术后1周复查红外热成像
四、分析与体会
病例分析:
1.穿刺时,勺状针头位置受上关节突尖的干扰稍靠头端,要注意出口神经根的保护(图11);应用双针技术是合适的(图13)。
2.造影与染色(图14)笔尖针的位置太靠中线,位靶点边缘,致造影染色欠佳。可退勺状针5mm,笔尖针刺向突出物基底部。
3.第三靶点成形环锯头端不是同轴扺达第三靶点,导杆和扩张管退缩,是危险操作,应避免(图23)。
4.L5椎体后缘有损伤(图28),易导致术中出血。应使工作套管的头端向背侧多些。
体会:
1.对于脱垂型腰椎间盘突出症这类型的病例,在穿刺点的设计时要更向头端。应用TESSYS技术-3靶点法中的穿刺点定位,以脱垂髓核基底部(L5椎体的后上缘)为靶点,穿刺方向线和穿刺角度线的交点来定。
2.通常需要行椎间孔成形术。
3.向下游离的脱垂髓核,常常位于下一椎体椎弓根的内侧,在脊柱内镜下可能看不见。需镜下切除该椎弓根的上、内缘。通过:
(1)向腹侧压低工作套管,使头端更向背侧。
(2)使用电动磨钻或镜下环锯,切除该椎弓根的上、内缘。
(3)腹侧有黄韧带,一般不会损伤到神经根。
(4)使用蓝钳咬除部分黄韧带、暴露神经根。
4.向下远程游离的腰椎间盘突出症,髓核达下位椎体的下方时,可选择下一间隙的iLESSYS技术,如L4/5突出,由L5/S1间隙入路,也可二者(L4/5,L5/S1)结合完成。
摘自:脊柱内镜技术精要/康健,樊碧发主编.—北京:人民卫生出版社,2016ISBN 978-7-117-22984-5



京公网安备11010502051256号