病例分享:C2-C6颈椎管狭窄(OPLL)
2023-10-10 我要说
病例摘要
患者中年男性,2年前无明显诱因出现右手麻木,以手掌及环指、小指腹侧为著,情绪激动时麻木症状加重并伴有一过性血压升高,休息后可稍缓解,无头痛、头晕,无恶心、呕吐,无行走不稳,患者曾于当地行中医推拿治疗,症状无明显缓解。3个月前患者出现左手麻木,以手掌及小指腹侧为著,并出现右侧髋关节活动受限,表现为前屈时疼痛,静置时无痛感及麻木,右手麻木较前进一步加重。患者为进一步诊治,就诊于我院,以“颈椎管狭窄”收治入院。
病例资料
(一)病史
男性,51岁,主因右手麻木2年,加重伴左手麻木2个月。
(二)查体
患者神清语利,查体合作,双瞳孔等大等圆,对光反射灵敏,颈软,双肺呼吸音清,四肢肌力、肌张力正常,右侧髋关节活动受限。右侧手掌及环指、小指针刺减退,左侧手掌及小指针刺减退,生理反射正常存在,病理反射未引出。
(三)辅助检查
术前磁共振(MRI)示:C3-6颈段脊髓内可见散在条片状稍长T2信号影,以C5-6节段为著,C4-6段脊髓稍变细。C2-6后纵韧带不规则增厚,呈条状短T2信号影,相应段硬膜囊受压,局部压迫颈髓,相应硬膜囊前后径稍变窄。
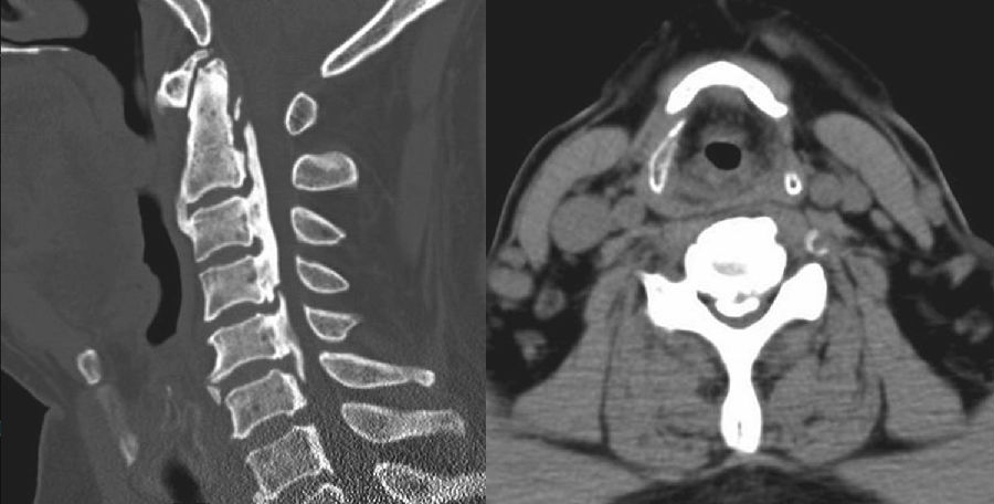
术前CT检查提示颈椎生理曲度变直,C1-7椎体边缘骨质变尖,寰枢间隙变窄(图1左)。C2-6段后纵韧带可见条形骨质密度影,C2-6段椎管有效前后径变窄,最窄处前后径约4mm(图1右)。寰枢关节周围韧带、C2-3段及C5-6段前纵韧带区可见条片状致密影。
(四)术前诊断
颈椎病、颈椎管狭窄(C2-6)、颈椎后纵韧带钙化(OPLL)。
术前讨论及临床决策
(一)手术指征
1. 患者右手麻木2年,加重伴左手麻木2个月,病情呈进行性加重。
2. 术前影像学检查提示颈椎管狭严重,脊髓前后方均存在压迫,且C3-6出现脊髓变性。
3. 患者双手麻木与C2-6椎管狭窄相关。
4.脊髓前方压迫主要由后纵韧带钙化造成,鉴于钙化节段较长(C2-6),单纯前路减压风险极大,因此考虑先行后路减压,缓解脊髓受压症状。
5. 后路减压去除C2-6椎板,鉴于脊柱后柱稳定性破坏,且患者颈椎退行性改变较严重,给予椎弓根钉棒系统内固定。
6. 术后6~12个月综合患者病情恢复及影像复查情况,必要时再行颈椎前路减压,根据前方压迫情况,可行椎体次全切除术。

图1 术前CT矢状位示颈椎生理曲度变直,后纵韧带钙化明显;
术前CT轴位示椎管前后径变小
(二)临床决策
拟行颈后正中入路C2-6椎管减压及C2-6固定融合术。
治疗过程
(一)手术过程
患者取俯卧位,手术入路选择颈后正中直切口,依次切开皮肤、皮下,分离两侧肌肉,显露C2-7棘突及两侧椎板、侧块,术中咬除C2-6棘突及两侧椎板,硬膜囊膨起明显,两侧椎间孔充分减压,解除神经根受压,彻底止血,硬膜外铺人工脊柱膜,在C2两侧置椎弓根螺钉,在C2-6两侧侧块分别置螺钉,塑形连接杆固定于两侧螺钉上,固定满意后上横梁,硬膜外置引流管,逐层缝合肌肉、皮肤。
术后给予激素、补液及支持对症治疗,右手麻木较前好转,右侧肢体出现无力,左侧肢体出现麻木,疼痛感不明显,经康复治疗后,右手环指及小指仍感无力,余肢体麻木及无力较前好转,仍对生活及工作有影响。复查颈椎磁共振(MRI)示:C2-6椎板减压及内固定术后状态(图2),C4-6脊髓稍变细,以 C5-6节段显著,C2-6后纵韧带钙化(图2);CT三维重建钉棒系统位置良好(图3);术后3个月复查磁共振(MRI),髓内异常信号较前缩小,颈椎生理曲度变直(图4);术后11个月复查磁共振(MRI)示C4-5、C4-6椎间盘突出,脊髓受压明显,颈椎生理曲度进一步变直(图5)。
术后11个月给予颈前右侧入路C5椎体次全切减压+钛笼植入钛板固定术。术中患者呈仰卧位,双肩部垫高,头后仰约30°,取右侧颈前横切口,逐层切开皮肤、皮下及颈阔肌,沿胸锁乳突肌前缘向下钝性分离,并将气管食管牵向左侧,拨开颈长肌及前纵韧带显露椎体前方,显露C4-5、C5-6椎间隙,在C4、C6椎体上置椎体牵开器螺钉,将C4、C6椎间隙撑开,咬骨钳咬除C6椎体,髓核钳分块咬除C4-5、C5-6椎间隙纤维环及髓核,至椎体后缘,椎体后缘骨质增生,椎间孔狭窄,压迫硬膜囊,予清除局部骨化后纵韧带、突出的髓核及增生的骨质,可见硬膜囊膨起,硬膜囊及神经根减压充分,用磨钻打磨周围骨缘,量取合适的钛笼,内置自体骨,将钛笼置于C4-6椎间隙内,松开椎体牵开器,位置满意后,椎体前方固定钛板,分别固定于C4及C6椎体上,固定并透视位置满意后逐层缝合颈阔肌、皮下及皮肤。

图2 术后1周磁共振(MRI)示C4-6脊髓稍变细,髓内可见变性信号
a. T1像;b. T2像

图3 术后1周CT;术后1周CT三维重建示钉棒系统位置良好

图4 术后3个月磁共振(MRI)示髓内异常信号较前缩小,脊髓受压明显减轻
a. 矢状位T1像;b.矢状位T2像

图5 术后11个月磁共振(MRI)示C4-5、C4-6椎间盘突出,脊髓受压明显
a. 矢状位T1像;b.矢状位T2像
(二)术后恢复情况
术后患者感右手环指及小指肌力较术前提高。复查磁共振(MRI)及CT示C4-6脊髓前方压迫缓解,脊髓形态良好(图6),钛笼位置满意(图7)。

图6 术后磁共振(MRI)示C4-6脊髓前方压迫缓解,脊髓形态良好
经验与体会

图7 术后CT示钛笼位置良好
a. 冠状位;b.轴位
本病例为典型的后纵韧带钙化(OPLL)引起的严重椎管狭窄。有关OPLL的手术治疗有多种方法可供选择。前路ACCF,后路单或双开门椎管扩大成形,后路去椎板减压侧块固定术。前路ACCF治疗颈椎后纵韧带钙化,从前方直接切除增生的钙化黄韧带,从而解除对脊髓的压迫。从理论上讲,ACCF是针对后纵韧带钙化的最佳手术方法。但是,当OPLL比较严重,特别是超过椎管横径的1/2时,脊髓受压严重,这时从前路减压要彻底切除增生的黄韧带非常困难,而且OPLL往往与前方的硬脊膜粘连,彻底切除时,很容易伤及已经受压严重的脊髓,即使在显微镜下减压,手术风险也很大。当OPLL超过椎管横径1/2时,从后路行椎管扩大成形术可有效扩大椎管,而且后方椎板与硬脊膜没有粘连,手术并发症少,从减压的角度讲,安全可行。但有一点需要注意,就是后纵韧带钙化时,颈椎已经失去生理运动功能,在这种情况下,如果单纯行椎管扩大成形术,虽然扩大了椎管,却减弱了脊柱的稳定性。这时OPLL会出现代偿性增生以增加对脊柱稳定性的维护,从而使脊髓的前方受压和向后移位加重。有文献证实,单或双开门椎管扩大成形后,OPLL会有加重趋势。以我们的经验来看,当OPLL严重到超过1/2,甚至2/3椎管横径时,选择前路风险很大,选择直接后路去椎板减压和固定融合手术,既可扩大椎管,又能增加脊柱的稳定性,从理论和实践的角度来看,都是既有效,又安全的选择。
该病例从术前CT看OPLL严重程度超过椎管横径2/3(图1右),我们首先选择了后路C2-6去椎板减压和侧块内固定术(图2),术后患者四肢肌力改善,神经功能症状得以改善。从术后磁共振(MRI)看(图4),尽管OPLL对脊髓的压迫来自前方,但后路去椎板减压和侧块内固定后,脊髓前方蛛网膜下腔有所改善且明显增宽。术后四肢运动功能改善良好,但患者仍存在C5-6神经根轴位受压和牵拉的疼痛症状,分析确定后,再行C4-6前路ACCF减压。我们对该严重OPLL病例,通过先后路减压+固定的方法,再行前路部分节段减压+固定的方法,既降低了严重OPLL减压手术的风险,又提高了治疗效果。
参考文献:
[1]Cui JL,Li X,Chan TY,et al. Quantitative assessment of column-specific degeneration in cervical spondylotic myelopathy based on diffusion tensor tractography. Eur Spine J,2015,24(1):41-47.
[2]Mohanty C,Massicotte EM,Fehlings MG,et al. The association of preoperative cervical spine alignment with spinal cord magnetic resonance imaging hyperintensity and myelopathy severity:analysis of a series of 124cases. Spine,2015,40(1):11-16.
[3]Stroman PW,Wheelerkingshott C,Bacon M,et al. The current state-of-the-art of spinal cord imaging:Methods.Neuroimage,2014,84(1):1070-1081.
[4]Ruangchainikom M,Daubs MD,Suzuki A,et al. Effect of cervical kyphotic deformity type on the motion characteristics and dynamic spinal cord compression. Spine,2014,39(12):932-938.
[5]高天乐,唐大刚,张艳亮,等.人工颈椎间盘置换术的适应证与禁忌证.中国矫形外科杂志,2014,22(13):1199-1202.
[6]范涛.脊髓脊柱外科典型病例诊治解析.人民卫生出版社.2018/1/1.ISBN:9787117254458.
[7]贾斌,栾冠楠,陈宇飞,等. K线在预测颈椎全椎板切除减压治疗多节段后纵韧带骨化症疗效中的应用.中国矫形外科杂志,2015,23(11):981-985.
声明:本文来源于专业期刊和书籍,由骨科在线编辑综合整理,如涉及版权问题请联系我们。



京公网安备11010502051256号