经验分享:髋关节外科脱位操作步骤
2023-09-22 文章来源:整理 作者:骨科在线 我要说
伴随医学技术的不断发展,髋关节外科脱位技术得到迅速发展,在各种髋关节手术中得到应用,髋关节外科脱位技术能够脱位髋关节,让髋臼、髋关节囊完全显露,方便医生全方位观察股骨头坏死情况,有效清理死骨并减压,并且,髋关节外科脱位技术在大粗隆下方截骨,对旋骨内动脉不会造成影响,具有创伤少的优势,可以降低髋臼、股骨头的医源性损伤。髋关节脱位技术能够充分暴露髋关节,包括髋臼和股骨侧的所有关节面与非关节面,因此在术中不会影响股骨头血流供应,可以促使手术顺利重建股骨头正常生理状态,有效清除关节内软骨游离体,有利于提升患者髋关节功能,促进髋关节功能恢复。
一、手术操作步骤
麻醉完善后,采用侧卧体位。手术切口可以是K-L入路的切口,也可以是Gibson入路的切口。两者在皮肤切口方面的区别是:前者以股骨大转子顶点为中心,切口远段沿股骨干轴线延伸大约8~10cm,近段向髂后上棘方向弧形延伸约8~10cm,两个方向的长度根据患者体形和是否需要对除了髋臼窝和股骨头以外的部位(如髋臼后柱或后壁等)做操作而定;后者基本是直线形切口,与前者不同的是Gibson入路并不劈开臀大肌,而是在臀大肌和臀中肌之间的间隙进入。
切开皮肤和皮下浅筋膜之后,在K-L入路中沿切口线劈开阔筋膜,如果需要增加对髋臼后柱、后壁的显露的话,可以切断或部分切断臀大肌在股骨远端后方的止点以减少牵拉臀大肌的张力。如果仅需观察和处理股骨头及髋臼窝,则不需要对后方的外旋肌群做分离和处理,将术侧髋关节内旋,显露并辨认清楚臀中肌后缘。不需要试图游离臀中肌和分离梨状肌的肌腱。在大转子稍远的股骨干处将股外侧肌从股骨干表面分离大约3~5cm的一段,并用Hoffmann拉钩撬起,始于臀中肌在大转子的止点最后缘向前少许(这可以保护在上孖肌水平进入关节囊内的旋股内侧动脉深支),止于股外侧肌在大转子上的止点以远少许,使用盐水冷却的摆锯做大转子截骨。截骨的平面是与人体的冠状面大致平行的一个平面,切下来的大转子骨片厚度不能超过1.5cm。完成截骨时,臀中肌绝大部分附着在截下来的大转子骨片上,骨片的远端是股外侧肌的附着部,形成上下均有肌肉附着的一个骨片。这样完成手术步骤后,重建大转子的完整性时臀中肌和股外侧肌的张力相互平衡,可以减少截骨处不愈合的风险。截骨的近端留下少许臀中肌的止点,在后续步骤中根据需要小心切断,而不是连同完整的臀中肌止点进行截骨;同时,截骨的厚度应在1.5cm以内,以上两点对保护旋股内侧动脉深支和大转子骨内的终末支均有重要意义(图1)。

图1 截骨周围结构
完成截骨后,在截骨形成的平面内向大转子前方插入一个Hoffmann拉钩,并向前轻柔撬开截下来的大转子骨片,配合松解股外侧肌在股骨干表面的附着直到臀中肌在股骨附着点中部平面附近水平,同时小心切断截骨时在近端遗留的尚附着在大转子大部上的少许肌腱。这时可以观察到梨状肌肌腱。如果向前进一步移开截下来的大转子骨片只需要切断很小一部分梨状肌肌腱(大部分还附着在截骨完成后的大转子大部上),那么截骨的位置和厚度就是正确的。
将截下来的大转子骨片充分向前方推开后,用无菌巾在侧卧位的患者前方做一个袋状的防护以便在脱位时将小腿放进其内而不会使其受到污染。然后将髋关节屈曲并轻度外旋,把股外侧肌和股中间肌从股骨近端的外侧和前侧拉起,臀中肌向前上方拉开,可以清楚地看到臀小肌和梨状肌,将臀小肌下缘从深面的关节囊和因外旋而松弛的梨状肌肌腱上方松解开,完全显露这个区域的关节囊,并有效保护了臀下动脉和旋股内侧动脉之间恒定的血管吻合。
此时应详细观察坐骨神经,如果坐骨神经在梨状肌水平是分成两束夹持梨状肌的话,需要将梨状肌从其距大转子止点约1.5cm处小心切断,以免在脱位时损伤坐骨神经。之后将髋关节进一步屈曲和外旋,充分显露髋关节前方、上方和后上方。如前所述,上支持带动脉可以独立满足股骨头的血供灌注;前支持带动脉的灌注作用较弱,且部分人群甚至是缺如状态,因此从前方切开关节囊对股骨头的血供影响甚微。此时,将髋关节囊前方遗留的肌肉锐性或钝性推开,做Z字形切开(关节囊的切开应使用手术刀而不是电刀,以防产热烧灼损伤血管)。首先沿股骨颈的长轴从基底部向髋臼边缘切开,然后沿转子间线向下方切开,注意保持切口在小转子的前方,以免损伤位于小转子上方和后方的旋股内侧动脉主要分支。翻开两处切开所形成的关节瓣,可以显露盂唇。最后,在沿股骨颈长轴的关节囊切开线与盂唇的交界处,向后上方沿盂唇边缘平行于盂唇切开关节囊,直到后上方梨状肌肌腱上缘平面,形成一个Z字形(图2)。

图2 髋关节囊Z字形切开
此时将髋关节进一步屈曲和外旋,圆韧带会撕裂或由术者锐性切断,将股骨头完全从髋臼窝向前方脱出。圆韧带对股骨头的血供并非十分重要,切断并不会影响股骨头的血液灌注。通过调整患肢外旋和屈伸,并放置3个拉钩,使整个髋臼窝可以直视观察。通过助手抬起患肢并施加轴向的推力可以将股骨头向髋臼后方推开,将膝关节部向下压(髋关节内收的方向)可以使股骨头离开髋臼后缘,以获得接近360°直视股骨头的观察范围,并进行相应的手术操作(图3)。

图3 股骨头脱位后进行后续操作
对髋臼窝和股骨头的手术操作完成以后,很容易就可以将股骨头复位进入髋臼窝。修复关节囊时不应结扎过紧,以防影响支持带血管的灌注。然后复位大转子的截骨骨瓣,使用2~3枚3.5mm皮质骨螺钉进行固定。由于骨瓣远、近端分别有股外侧肌和臀中肌附着,螺钉主要对抗前、后方的移位,因此术后截骨处的骨愈合很少出现问题。
二、病例分享
主诉:
患者男性,30岁。主因“左髋疼痛并活动障碍1周”入院。
入院情况:
患者1周前于车祸中受伤,受伤时患者位于副驾驶座位,所坐车辆与前车追尾。车辆发生撞击后,患者出现左髋部畸形、剧烈疼痛及活动障碍。外院影像学检查诊断为左髋关节脱位、左髋臼骨折、左股骨头骨折(图4~图6)。

图4伤后X线片示左髋关节脱位,股骨头骨折
图5 闭合复位左髋关节后,CT三维重建示左髋臼后壁骨折
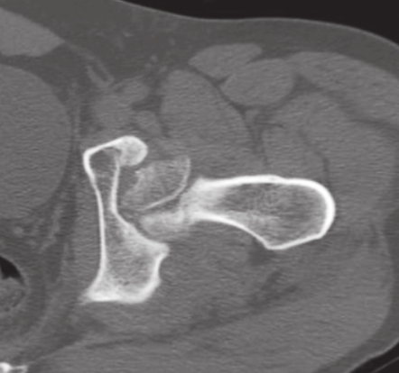
图6 CT断层示股骨头前内部分粉碎性骨折,并翻转移位
急诊诊断:
左髋关节脱位、左髋臼骨折、左股骨头骨折。
急诊处理:
经闭合复位髋关节等处理后,为求进一步诊治入院。
手术方案
患者取侧卧体位,通过外科脱位技术(图7a~d),显露股骨头骨折的骨折面。直视下复位固定股骨头骨折后(图7e),使用Sprint接骨板固定髋臼后缘小骨折块,并用1块重建接骨板进行加强固定(图7f~h)。

图7 髋关节外科脱位典型病例手术过程a.患者取侧卧位,电刀烧出截骨线;b.大转子截骨后翻开;c.屈曲并内旋髋关节,显露前方关节囊;d.切开关节囊后,加大髋关节前屈和内旋,完成外科脱位;e.完成股骨头粉碎骨折的直视下复位和固定(其中一些粉碎的薄片已弃去);使用Sprint接骨板和重建接骨板对髋臼后壁骨折进行固定,术后拍摄闭孔斜位(f)、骨盆正位(g)、髂骨斜位(h)X线片确认复位及固定结果。
术后复查X线片提示(图7f~h):股骨头骨折解剖复位,髋臼后壁解剖复位。
术后情况:
术后头孢唑啉预防感染2天,体温正常,各项感染指标无异常。术后第7天出院。分别于术后8周、6个月、12个月复查X线片(图8),术后6个月的X线片见股骨头及髋臼后壁骨折均已愈合。术后12个月随访时患者髋关节功能良好,无疼痛,MRI见股骨头骨折愈合良好,无坏死(图9)。

图8 术后12个月X线检查a.闭孔斜位;b.骨盆正位;c.髂骨斜位。
图9 术后MRI检查
经验与体会:
股骨头骨折合并髋臼后壁骨折的病例并不少见,由于必须从后入路处理髋臼后壁,Ganz外科脱位技术成为治疗这一特定类型损伤的绝佳适应证。脱位后可以对非常复杂的严重粉碎的股骨头骨折进行直视下复位操作,固定螺钉的进入方向相对髋关节后脱位技术而言更符合生物力学原则。而髋臼后壁部分的骨折在这一入路中也方便同时处理。
在对患者行髋关节手术的过程之中,应用髋关节外科脱位技术可以在对髋关节内部结构完全显露这一基础上,来让患者股骨头血液供应情况得到最大限度的保障,从而使得关节内髋臼骨折、关节游离体以及髋关节撞击症等患者的手术治疗效果得到有效的提升。通过髋关节脱位技术的应用,其能够很好的完成髋关节内骨折的开放复位固定操作,并能够对患者股骨头的坏死病灶进行清除以及重建处理,从而起到良好的治疗效果。此外在髋关节脱位之后依旧可能导致患者出现股骨头缺血性坏死等严重并发症的发生,并会对患者关节囊以及外股骨头中包含的营养血管支起到一定的损害情况。而髋关节脱位技术则能够通过后外放入路的模式,能够对患者的的外旋肌群得到最大限度的保留,并能够最大限度的保留股骨头术后血液供应的完整,从而有效避免因为创伤过大而导致的一系列术后并发症。
引自:
[1]邴长建.髋关节手术中应用髋关节外科脱位技术的临床效果观察[J].中国实用医药,2022,17(18):86-89.DOI:10.14163/j.cnki.11-5547/r.2022.18.023.
[2] 骨盆髋臼周围手术作者:樊仕才,罗殿中,侯志勇出版社:人民卫生出版社出版时间:2021-05-01ISBN:9787117315364
[3]田召彦,巩振城,孙伟等.髋关节外科脱位技术在髋关节手术中的应用[J].临床医药文献电子杂志,2017,4(96):18867.DOI:10.16281/j.cnki.jocml.2017.96.043.



京公网安备11010502051256号