收藏 | 强直性脊柱炎的影像学诊断技巧
2023-08-25 作者:骨科在线 我要说
强直性脊柱炎(ankylosingspondylitis,AS)是一种主要累及中轴关节的慢性自身免疫性炎症性疾病,骶髂关节是最常见的受累部位,其次是脊柱,多发于青少年群体。 发病早期临床表现主要为间歇性疼痛,如果未能 及时开展诊断及治疗,随着病情进展,将出现持续性疼痛,严重影响患者生活质量。一旦强直性脊柱炎患者不再感到疼痛,脊柱将自上向下地发生强直,导致畸形驼背,此时将无法逆转病情, 显著增加治疗难度。目前,临床尚无确切的方 法治疗强直性脊柱炎,延缓病情进展、最大程度降低致残率为治疗的关键所在,因此,早期明确 诊断具有非常重要的作用。影像学方法是临 床上对于骶髂关节病变开展诊断工作的主要手段,X线、CT、MRI等均是常用的检查手段,都有一定的诊断效果。本文就并X线、CT和MRI诊断AS进行解读,分析其影像学特点,供临床参考。
一、 强直性脊柱炎临床特征及病理学基础
1、临床特征:
强直性脊柱炎是一种全身性的慢性炎症性 疾病,属于风湿病范畴,四肢大关节及椎间盘纤 维化、关节僵硬、椎间盘及周围结缔组织骨化 为主要特征。目前,尚不明确强直性脊柱炎的发 病原因,多认为与关节病变有关,且存在家族趋 向,10~40岁为该疾病主要的发病年龄。有研究 指出,强直性脊柱炎多发于男性,且男女发病率 的比例为5:1左右,女性患该疾病后,病情相对较 轻、病程进展相对较缓慢。强直性脊柱炎发病 隐匿,骶髂关节为发病后首先累及的关节,以腰 骶部疼痛、晨起时腰椎僵硬、较难准确定位疼痛 位置等为常见表现,部分患者伴有臀部疼痛、大 腿后侧隐痛等症状,活动后上述症状可缓解,但 静止或休息状态、晨起时症状反而较重。随着病 情进展,疼痛会出现在骶髂关节处及棘突部位, 且有明显压痛,开展类风湿因子检测后,结果显 示为阴性。因此,强直性脊柱炎是一种血清阴性 脊柱关节病。
2、病理学基础:
在病理学方面,有研究指出,强直性脊柱炎 所导致的骶髂关节病变中,非正常软骨组织变 性、滑膜炎及软骨下骨板病理改变为主要的两 个因素。滑膜非特异性炎症为强直性脊柱炎发 病后的改变,而动关节的弥漫增生性滑膜炎则 是软骨及软骨下骨板的改变,骶髂关节是发病 后最早累及的关节,多数患者为双侧发病,通常 开始部位为骶髂关节下2/3,疏松结缔组织炎性 细胞浸润、升高嗜酸性粒细胞比例为主要表现; 软骨破坏、变性纤维化、基质降低等为软骨的变 化表现,其中最常见的是变性纤维化;血管翳侵 入、骨质破坏、形成死骨等为软骨下骨板的变化 表现。
二、影像学检查
1、X线表现:
受累部位主要是脊柱和骶髂关节,其他部位依次是髋、肩、膝、踝、肋椎及肋横突关节和耻骨联合。
骶髂关节:
X线上一般采用骶髂关节俯卧正位片,辅加斜位显示最佳。病变一般自下2/3髂侧关节面开始,双侧对称受累。AS既累及骶髂关节的滑膜部分又累及韧带,早期关节邻近骨质疏松,骨性关节面粗糙不整可呈锯齿状,常以髂骨侧侵蚀为明显,关节间隙可呈假性增宽。随病程进展,病变中期表现关节软骨破坏,关节间隙宽窄不一,关节面不规则,呈毛刷或锯齿状及囊变,继而出现反应性骨质硬化,关节不规则狭窄及纤维性或部分骨性强直(图1)。病变晚期关节间隙变窄并有骨小梁通过,最后发生骨性强直,骨密度逐渐恢复正常或保持疏松。

图1 强直性脊柱炎骶髂关节炎男,25岁。
A. 骨盆平片,骶髂关节骨性关节面粗糙不整呈锯齿状,以髂骨侧侵蚀为明显,关节间隙可呈假性增宽;
B. 骶髂关节CT横轴位显示更加清晰,关节面受侵蚀,局部囊变,以髂骨侧明显;
C. D. MR冠状位T1WI及T2WI,双侧骶髂关节病变呈长T1长T2信号。
脊柱:
受累在骶髂关节之后,由下脊椎开始,逐渐向上发展。椎体前角表面骨质吸收,导致正常椎体前缘凹陷消失,椎体变成方形呈所谓的“方椎”,椎间小关节面模糊、硬化和增生。骨质可有明显疏松。3%~28%的患者有脊椎间隙变窄和邻间盘椎体骨质破坏、周围多伴有骨质硬化。椎间纤维环、椎间小关节囊、前纵韧带、后纵韧带、黄韧带、棘上韧带和棘间韧带可发生不同程度骨化。椎间纤维环外层骨化,使椎体彼此相连,正位像脊柱呈竹节状。棘间韧带、棘上韧带和两侧椎间小关节囊骨化,形成三条致密纵带,颇具特征(图2)。晚期,脊柱变直,均匀后突或合并侧弯畸形。少数颈椎受累出现寰枢关节半脱位并在半脱位基础上发生融合,合并蛛网膜囊肿者可有腰骶部椎管扩大。

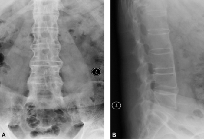
图2 腰椎强直性脊柱炎男,52岁。A、B.腰椎正侧位片显示骶髂关节骨性融合,腰椎体成方椎,椎间小关节面模糊、硬化和增生。
2、CT表现:
临床怀疑而X线平片不能确诊者,可以行CT检查。
骶髂关节:
CT能清晰显示骶髂关节间隙,对于测定关节间隙有无增宽、狭窄、强直或部分强直有独到之处。CT检查可完全避免骶髂关节和脊椎的前后重叠,清楚地显示X线平片可疑的早期病变、脊柱骨折等。尤其对骶髂关节炎的诊断最敏感,能准确判定关节间隙的宽窄、骨皮质的中断、软骨下侵蚀和囊变等。在早期骶髂关节改变,CT对诊断骶髂关节炎早期表现的重要征象是关节面的侵蚀,破坏周围的多形性软骨下骨硬化和关节内的缺损均能清除显示(图1)。
脊柱:
早期椎间小关节面毛糙不整,继而出现小的关节面下骨质侵蚀并伴有硬化,晚期主要发生肥大增生,关节囊及黄韧带肥厚骨化。
3、MRI表现:
MRI检查对AS早期诊断较X线平片和CT显示更为准确,能显示关节滑膜增厚和关节积液。关节积液呈长T1长T2信号,增强扫描滑膜强化;关节软骨水肿,当软骨炎性水肿,关节面下周围骨髓呈长T1长T2信号,此为早期改变(图1)。当异常纤维组织取代了正常髓核,髓核在T2WI上信号降低,而邻近椎体边缘破坏区内的信号强度增加,椎间隙变狭窄。与结核和化脓性骨髓炎不同,本病脊椎周围软组织形态和信号强度通常无变化。
关节周围骨髓内脂肪蓄积,当病变进一步发展,在骶髂关节面两侧均可出现脂肪蓄积,此时T1WI和T2WI可显示片状高信号区,而于脂肪抑制即显示为低信号;病变中后期,病变可呈不同程度的骨性强直,关节间隙可从变窄,到关节间隙消失,增生的骨小梁T2WI信号减低。对于强直性脊柱炎患者外伤成像可较X线提供更多的信息(图3)。

图3 颈椎强直性脊柱炎男,38岁。
A. 颈椎侧位X线片显示颈椎椎体方形椎。外伤后C6椎体骨折,上颈椎后移;
B. 颈椎矢状位MRI T2WI显示C6椎体骨折,局部呈片状长T2信号,C5~6水平颈髓损伤,韧带骨化。
知识点(影像学特点 )
整体上看,CT影像的清晰度、直观性优于X 线,二者影像学特点如下:
1、X线影像学特点:关节间隙变窄出现在双侧髋关节,关节面下骨质囊变出现在右侧髋臼 关节,且有骨赘存在于右侧股骨头基底部;骨质 疏松现象出现在双侧髋关节。
2、CT影像学特点:关节间隙变窄、关节 面硬化在双侧髋关节均可见;骨侵蚀现象明显出现在两侧髂骨侧关节面,且左侧侵蚀处有皮质中 断现象出现在关节面,明显骨硬化现象在其周边 可见。
三、特殊检查
1、核素显像:
缺乏敏感性,即使是骶髂关节和脊柱病变处于进展期的患者,核素吸收也可能正常,同时因其敏感性较低,亦不能用于解剖结构重叠过多的外周附丽病。因此不推荐用核素显像来评价AS的中轴骨受累情况。
2、实验室检查:
白细胞计数正常或升高,淋巴细胞比例稍增加,少数患者有轻度贫血(正细胞低色素性),血沉可增快,但与疾病活动的相关性不大,而C反应蛋白则较有意义。血清白蛋白减少,α1和γ球蛋白增加,血清免疫球蛋白IgG、IgA和IgM可增加,血清补体C3和C4常增加。约50%患者碱性磷酸酶升高,血清肌酸磷酸激酶也常升高。血清类风湿因子阴性。虽然90%~95%以上AS患者HLA-B27阳性,但一般不依靠HLA-B27来诊断AS,HLA-B27不作常规检查。
鉴别诊断知识点
1、骶髂关节结核多为单侧受累,软骨下骨质破坏明显,一般无硬化边缘。CT检查可发现死骨和关节周围脓肿。
2、脊柱结核以椎间隙明显变窄或消失、广泛软组织肿胀为特点,不出现广泛的韧带骨化。CT扫描于骨质破坏区内常见死骨或钙化影。
3、化脓性脊柱炎多有明显的高热、剧痛史。病变进展迅速,短期内破坏区周围出现大范围骨质硬化。软组织肿胀明显,可有脓肿形成,均有别于强直性脊柱炎。
4、脊椎退行性变有时可形成骨桥样改变,与强直性脊柱炎类似。但前者骨桥系在椎体边角横向骨赘的基础上形成,而非纵行的柱旁韧带和纤维环外层的骨化。且双侧多不完全对称,也无骶髂关节炎性改变。
5、类风湿性关节炎现已确认AS不是类风湿性关节炎的一种特殊类型,两者有许多不同点可资鉴别。类风湿性关节炎多见于女性,通常先侵犯手足小关节,且呈双侧对称性,骶髂关节一般不受累,若侵犯脊柱,往往仅颈椎受累,多无椎旁韧带钙化,可有类风湿皮下结节,血清RF常阳性,HLA-B27抗原常阴性。
引自:
[1] 郑顺科,张和平,林炜盛.X线及CT诊断对强直性脊柱炎的诊断效果和影像学特点[J].智慧健康,2022,8(26):18-21+40.DOI:10.19335/j.cnki.2096-1219.2022.26.005.
[2] 赵晓飞.X线、CT及MRI检查诊断早期强直性脊柱炎骶髂关节病变的价值研究[J].影像研究与医学应用,2022,6(18):176-178.
[3] 书名:脊椎疾病影像诊断学(第2版).作者:李联忠,冯卫华,王国华,高波,王立忠.出版社:人民卫生出版社.出版时间:2015/12/1.ISBN:9787117213035.



京公网安备11010502051256号