韦峰:脊柱肿瘤治疗过程中的陷阱与通关秘籍
2021-06-10 我要说
来源:北京大学第三医院骨科 韦峰
编者按:
很高兴借第二届北医三院骨科论坛这个机会和大家聊聊脊柱肿瘤的治疗。一则因为脊柱肿瘤可谈的话题太多,二则想和大家分享的东西也太多。一时间不知道如何安置这些内容,思来想去就和大家从一个病例聊起吧。
一个令人后怕的颈椎肿瘤病例
去年夏天一个27岁的男病人来看门诊。他因为轻微的颈痛在检查时发现C3-4椎体肿瘤已经有半年多了。当地医院的医生考虑是“神经鞘瘤”,加之病人的症状不重,就建议病人观察。近期,病人感觉上肢有麻木的感觉,便来到北医三院。

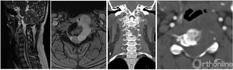
图1,颈椎MRI和CT
病人的核磁和CT显示了一个以C3-4椎间孔为中心的哑铃型肿瘤,并且伴有C3和C4椎体的骨质破坏(图1)。这些片子给我的第一印象也是神经源性肿瘤。伴有椎体破坏的神经鞘瘤并不少见,比如下面这个病例就是一个经过手术证实的累及椎体的哑铃形神经鞘瘤(图2)。

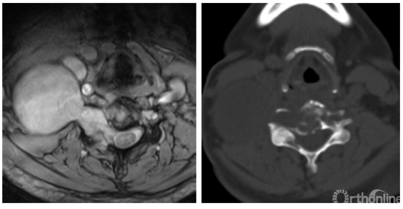
图2,一个伴有骨质破坏的哑铃形神经鞘瘤
患者的肿瘤突入椎管造成轻度的脊髓压迫,是有手术指征的。神经鞘瘤是良性肿瘤,通常生长速度很慢,如果手术切除,可以做后前联合入路分块肿瘤切除。患者很着急,希望能尽早切除肿瘤消除脊髓压迫的隐患。我也同意手术切除肿瘤,但要求术前必须做CT引导下穿刺活检。理由是,凡是涉及脊柱的肿瘤切除,术前一定要明确肿瘤的病理类型,即便考虑考虑是神经鞘瘤。病人勉强同意了。
2周后病人拿着病理报告来找我。报告上写着“送检组织两条,其中大部分为横纹肌组织,肌组织内可见个别神经纤维。本次穿刺组织中未见明确病变,建议重新取材或术后标本确诊。”病人看见没有肿瘤很高兴,催促马上手术。可我的解读是这次穿刺没有穿到肿瘤组织,没有明确的病理诊断,我不同意手术,努力说服病人再次穿刺活检。
第二次穿刺后的病理结果非常出乎意料,报告的是 “C3-4上皮样肉瘤”。上皮样肉瘤是一种主要发生于肢体软组织的间叶性肿瘤。累及脊柱极为罕见。整块切除是主要的治疗手段,5年局部复发率35%,40-50%的病人肺转移或淋巴结转移,5年和10年生存率分别为60-80%和42-62%。这还主要是四肢肿瘤治疗的数据,发生中轴骨的上皮样肉瘤因为整块切除困难而预后更差。
根据术前的影像学显示,肿瘤累及C3-4椎体、在左侧椎间孔形成软组织肿块包绕左侧椎动脉、C3和C4神经根,并且向椎管内和左侧颈长肌蔓延。肿瘤的恶性程度要求必须将肿瘤连同受累的所有结构作为一整块地切除。切除的范围不充分,切除过程中肿瘤的包膜有破损,都容易造成肿瘤的复发。但牺牲左侧的C3和C4神经根势必造成术后左侧膈肌麻痹;切除左侧椎动脉则有脑梗的风险。在充分评估肿瘤彻底切除的必要性、手术风险,以及和病人充分的沟通后,我们拟定了如下整块切除的手术计划。
首先从前方入路,切除C2-3和C4-5椎间盘及后纵韧带,切除C3和C4右侧横突孔,游离右侧的椎动脉,切断左侧椎旁肿瘤近端和远端的颈长肌,游离椎旁软组织的肿瘤。


随后,行后正中入路,做C1侧块,C2、C5、C6椎弓根螺钉固定。分块切除C3和C4没有被肿瘤累及的附件结构,将肿瘤在椎管内外的部分充分游离,,在硬膜外切断左侧C3和C4神经根。
最后再从前方原手术切口进入。切断左侧椎动脉、将C3、C4椎体及椎旁的肿瘤作为一整块地取出。C2-5椎体间放置3D打印人工椎体后用钛板固定。


图6,整块切除的C3-C4椎体及肿瘤及标本的X片
手术按计划历时8小时顺利完成,C3-C4椎体及椎旁的肿瘤获得整块切除,过程中肿瘤包膜没有破损。术后病人神志清晰,四肢活动良好。但出现双侧膈肌麻痹,左侧膈肌麻痹是由于术中切断了左侧C3和C4神经根,右侧膈肌麻痹则可能是手术过程中的神经牵拉损伤。
由于没有腹式呼吸,病人无法脱离呼吸机。为此我专门写信给美国的Ziya Gokaslan医生,他们在2005年发表的C2-3脊索瘤整块切除病例中报道过这种并发症,那个病人经历了数周的呼吸机维持才脱机。他在信中安慰我说,上皮样肉瘤只有通过整块切除才能减少复发,改善预后。膈肌麻痹可以安装双侧的根神经起搏器,不过,他认为右侧的膈神经因为没有切除,因此功能可以期待逐渐恢复。我咨询了ICU和心胸外科的医生,他们都没有使用过膈神经起搏器。
在病人以及ICU和康复科医生的共同努力下,病人终于在术后第22天脱离呼吸机,转入康复科进行了一个月的呼吸康复后顺利出院。之后病人进行了颈椎局部的放疗和术后的化疗。现在已经术后整整一年了,肿瘤没有复发,病人完全正常的生活。

双侧膈肌麻痹是一个非常少见的并发症。对于一个年仅27岁的青年,如果今后只能靠呼吸机生活,真是一个很难接受的现实。可能有人会问,非得牺牲C3和C4神经根和椎动脉么?就做经瘤的全椎切除不行吗?病人住在ICU的期间,我也不断问这个问题。但后来发生的事情,让我坚信,只能做么做。
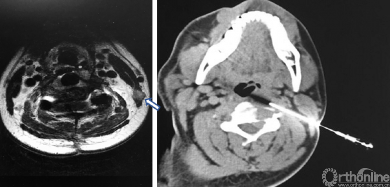
病人在康复科做呼吸功能康复的时候,偶然摸到脖子的侧方皮下有个包块。给病人做的颈部核磁显示在左侧胸锁乳突肌后缘有一个小球形的肿瘤。对照术前经皮穿刺的CT,我们判定这个肿瘤是穿刺造成的针道种植。
随即请成形科做了整块切除,术后病理证实就是上皮样肉瘤。一小团穿刺过程中遗留在软组织内的肿瘤细胞能在短短的2个月内长大足以证明这个肿瘤的恶性程度,如果没有穿刺活检,术前没有明确病理性质,如果按照神经鞘瘤的切除方式做经瘤切除,那后果可想而知。这个小插曲,让我们和病人都不再为冒这么大的风险实施如此高风险的手术而后悔。

小结
事实就是这样,没有哪个医生能根据影像学对脊柱肿瘤做出百分之百准确地诊断,而在没有病理诊断的情况下贸然手术是十分危险的,因此术前病理学诊断是十分必要的。穿刺活检必须以取到有效的病理组织和明确的病理诊断为基础,阴性穿刺的情况是时有发生的,必须结合影像学和临床表现综合考量。如果病理结果直接地影响着切除方式和肿瘤学预后,该坚持再次穿刺活检时一定要坚持。
在脊柱肿瘤的医生圈子里有句话,“肿瘤复发是最严重的并发症”。当担心为彻底切除肿瘤而牺牲神经根、血管、器官造成的并发症时,可以将这些并发症与肿瘤复发、转移造成的后果比较。如果肿瘤复发、转移造成的后果更严重,那么未尝不可以“丢车保帅”。在和病人充分的沟通,达到共识后;在多学科共同治疗的努力下,尽可能把伤害降低到最小,最终让病人收益。
作者简介

韦峰
北京大学第三医院骨科,主任医师、副教授、硕士生导师,北医三院骨科脊柱专业组组长。
擅长脊柱肿瘤,包括脊柱原发肿瘤根治性切除,脊柱转移瘤的综合治疗。
担任中华医学会骨科学分会骨肿瘤学组委员;中国抗癌协会肉瘤专业委员会委员;中国抗癌学会骨肿瘤和骨转移瘤专业委员会委员;中国修复重建外科专业委员会骨肿瘤专业组副组长;北京医学会骨科学分会骨肿瘤学组委员;中国医师学会骨科医师分会脊柱肿瘤学组委员;中国医药教育协会肢体肿瘤分会委员;中国医药教育协会骨与软组织肿瘤专业委员会委员;中国康复医学会骨与关节康复专业委员会骨肿瘤学组委员;北京医学会骨科学分会脊柱学组委员;AOSpine Knowledge Forum Tumor会员;AOSpine中国区讲师。



京公网安备11010502051256号