学海再扬帆|多年深耕铸经典课程,精雕细琢传单髁之技

2021-06-05 文章来源:骨科在线   我要说

随着骨关节炎阶梯治疗理念的提出与推广越来越多的医师开始接触学习并开展单髁置换术。为了提高患者术后满意度,降低术后并发症,单髁置换术的规范化手术操作与标准化手术流程的推广势在必得,尤其是适应证选择、手术原理及技巧应广大医师要求,骨科在线主办,同济大学附属杨浦医院承办,同济大学附属杨浦医院关节外科涂意辉教授为授课专家及其医疗团队以单髁置换术相关讲座和实操为主要议程的“膝关节微创单髁置换术手术技巧实战班暨第十一期牛津单髁置换术最新进展及手术技术学习班”202165日在上海举办。


学习班合影

涂意辉教授团队十几年如一日,做过的单髁置换术从1例变成了10例,100例,1000例,3000例,这超过3000台的单髁手术经验,打磨出了这套经典课程,以实战为主,手术演示辅以讲解答疑和假骨实操,使技术研讨贯穿手术全程,不断强化知识点和基本技术技能。

截止17:30会议直播结束时,本期学习班共演示单髁手术12台,骨科在线进行了全场直播,线上观看人数近14000人次。随后至当晚23:29时,涂意辉教授团队又完成了11台手术,在14个小时内累计完成23台单髁手术,再次创下新纪录。

开幕式


郑鹏翔院长致辞

开幕式上,同济大学附属杨浦医院郑鹏翔院长代表医院对参会的骨科同道表示欢迎,回顾了杨浦医院骨关节外科的发展历史,并肯定了在涂意辉教授的带领下取得的成绩。他强调要继续秉持医生的使命感,“要救人于危难之中,济人于水火之时,积极的去观察、去思考、去学习、去总结、去交流、去分享,希望通过此次学习班能够传递出一切为了临床,以问题为导向的理念,帮助更多的患者解决实际问题”。


涂意辉教授致辞

涂意辉教授表示,本次学习班内容丰富,受疫情影响,学习班采取线下与线上结合的形式,将理论授课、手术演示等内容通过骨科在线平台向无法线下参会的医生同道直播,希望通过此平台,分享同济大学附属杨浦医院骨关节科在单髁置换术方面的临床经验,推广单髁置换技术,能够覆盖到更多有志于从事单髁事业的医生专家,使更多患者受益,通过交流学习共同推进单髁事业在我国的发展。

理论知识,倾囊相授


涂意辉教授讲解单髁经典手术适应证

简单的开幕式后,学术授课环节正式拉开序幕。首先涂意辉教授详细介绍了牛津单髁置换手术适应证选择和手术技巧。正确的适应证选择是一台单髁手术获得良好效果的重要前提,如果适应证选择不当,就有可能在术后出现各种严重并发症,给医生与患者都带来无尽困扰。涂意辉教授通过分析近年来国内、国际UKA的手术量,回顾UKA相关文献,总结杨浦医院的临床研究和实践经验,指出了UKA适应证选择的五大要点:(1)相对于全膝关节置换术(TKA)UKA更微创,费用低,康复快,且有相当的假体生存率,在指征符合情况下更优选。(2)髌股关节炎、年龄、肥胖为非UKA手术禁忌;前交叉韧带(ACL)功能不全、严重畸形、非骨对骨接触为非UKA绝对禁忌。可综合考虑患者全身情况、功能要求及手术预期来谨慎选择UKA(3)对侧间室软骨破坏、感染性、炎性关节炎、胫骨高位截骨术(HTO)术后为UKA手术禁忌。(4)低龄患者和高龄患者推荐UKA。对于低龄患者,UKA可更好保留骨量,有利于以后翻修;对于高龄患者,UKA手术风险更低。(5)因高龄或全身情况差而不适合TKA的患者,可考虑UKA

手术演示,全面提升


薛华明教授讲解手术病例

本次学习班手术演示涵盖了单髁置换的各个热点问题,包括经典适应证单髁手术、严重内翻畸形病例手术、高龄患者内侧髁置换手术、非骨对骨单髁假体手术、合并ACL损伤(ACLD)的单髁置换等多个方面。



会议直播手术现场

经典内侧单髁置换术(骨水泥型)


术前


术后检查

牛津单髁置换手术最经典的适应证是前内侧膝骨关节炎(AMOA),并且其他结构在功能上应保持完整,尤其强调韧带功能正常。在准备胫骨平台时,应保持7°后倾,截骨位置选在硬化骨下方,磨损最低点下方2mm处,近端紧贴,远端距皮缘18-20mm。试模间隙理想厚度6-7mm(包括胫骨假体3mm+垫片厚度3-4mm)。

在准备股骨侧时,理想状态为试模厚度刚好替换截骨厚度(约3mm),有5个关键点:(1)要保持韧带张力正常,避免过度松弛或过紧。(2)股骨假体位置保持良好,特别注意后髁截骨保持水平,去除骨赘,避免误判屈曲间隙。(3)股骨远端碾磨应保证内侧副韧带在屈膝110°和20°达到张力平衡。(4)要特别注意防撞击,保护内侧副韧带。(5)应采用2步法清除骨水泥。

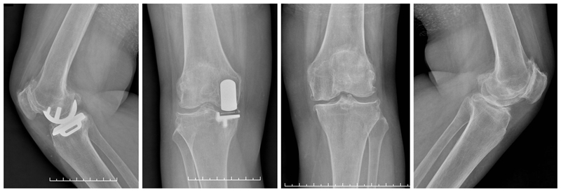
内侧单髁置换术(非骨水泥型)


术前


术后检查

膝关节单髁置换术后的翻修率的一个主要原因是无菌性假体松动。临床上常常用术后X线平片上是否出现透亮带来判定假体是否松动。事实上部分骨水泥型单髁假体,术后x线片常常可见生理性透亮带,容易误诊为假体松动,从而导致不必要的术后翻修,生物型单髁置换假体的推广减少了单髁翻修率,延长了假体的使用寿命。

现阶段生物型单髁假体也逐步被越来越多医生与患者选择。对于生物型假体,需要注意以下几点:(1)垂直截骨开槽避免用常规骨水泥型假体工具,以免开槽过宽导致假体置入松动。(2)开槽过程中需要特别谨慎小心,敲击力度适宜,以防胫骨劈裂骨折。(3)年龄大,骨质疏松明显以及股骨髁坏死病例用生物型假体应更加慎重。

高龄患者内侧单髁置换术


术前


术后检查

对于80岁以上的高龄膝关节骨关节炎患者,准确手术评估、恰当围术期处理、选择微创UKA,不仅有效,而且安全可行。与TKA相比,高龄患者采用UKA治疗不仅有效,还具有并发症少、输血率低、住院时间短、恢复快等特点。但是,高龄膝关节骨关节炎患者通常合并较多内科疾病,围术期科学管理尤为重要。应注意以下几点:术前高血压患者血压应控制在160/90 mm Hg以内;糖尿病患者血糖应控制在10.0 mmol/L以内,尿糖(+++);冠状动脉粥样性硬化病患者适当给予扩张冠脉及营养心肌治疗,超声心动图示左心室射血分数超过 50%以上;心律失常患者完善24 h动态心律检测,必要时请心内科协助诊治;慢性肺部疾病患者肺功能最大通气量超过 60%以上。另外,术前需关注贫血及低蛋白血症情况,必要时给予输血或补充白蛋白治疗。熟练操作、严格微创、减少手术时间及术中出血是手术成功关键。

合并ACLD的单髁置换术


术前


术后检查

ACL损伤是否适合单髁置换,争议较大。需要鉴别原发韧带损伤继发OA还是原发OA继发ACL损伤。前者一般年龄轻,运动量大,适合一期或二期UKA联合ACL重建,后者一般年龄偏大,运动量少,需要术前详细评估膝关节稳定性。UKA仍是治疗内外不稳定的一种选择,而前后不稳定应探索其他治疗方案。髁间窝骨赘作为膝关节二级静态稳定结构。手术中引起撞击或磨损的骨赘要完全去除,其它骨赘建议保留。必须保留所有残留的ACL。适度减少胫骨后倾,一般应小于5°。

非骨对骨内侧OA单髁置换术(PTCL


术前


术后检查

一般认为应力位片非骨对骨接触,可以借助MRI或术中关节镜探查明确原因,对于残留软骨<25%可考虑单髁置换。总体而言,非骨对骨单髁置换手术疗效低于骨对骨单髁置换术。

严重内翻畸形单髁置换术


术前


术后检查

严重内翻畸形需要明确畸形原因,对于骨缺损明显,膝关节僵直畸形,合并内侧副韧带挛缩,畸形>20°病例不适合。对于在外翻应力位可以矫正的关节内的内翻畸形,只要前交叉韧带完整,仍然可以谨慎选择UKA。术前仔细评估骨质磨损深度,骨缺损,内侧副韧带张力及膝关节稳定性。备好全膝关节假体。术中注意避免截骨过深,导致间隙过大,常规厚度假体不能满足需要。骨质缺损较多一般推荐使用固定垫片假体。注意保护内侧副韧带,避免截骨损伤。

活动度小于90度内侧单髁置换术(ROM < 90°)


术前


术后检查

经典的单髁手术一般膝关节需要至少屈曲至110°,术前低于90°一般不适合单髁置换。需要明确术前屈曲受限的具体原因,对于屈曲受限因后方骨赘增生阻挡的病例术中可以改善屈曲度。部分病例可能术后仍然不能恢复正常的屈曲度,功能一般不受影响。

交流讨论,学以致用

本次学习班让与会医生们各抒己见,除了即时观摩手术外,可随时提出疑问,与术者和手术讲者面对面沟通,充分互动。同时涂意辉教授亲自为学员们进行了近距离的假骨演示,将理论内容在实践中深化,让学员们亲自感受关节置换的步骤和技术要点。



现场掠影

在历时一天的学习课程中,丰富的理论讲解和细致的手术演示得到了参会医生的高度评价,学员们纷纷表示受益匪浅,并表示要学以致其道,在单髁之路上不断前行,让前路更科学,更光明,在学科发展的浪潮中,抓住机遇,无惧挑战。

请您点击下图 观看直播回放 http://api.orthonline.com.cn/video/8027

分享到: