珠江医院关节骨病科林荔军教授团队完成国内首例胫骨远端骨肉瘤切除+3D打印胫骨远端假体术
2020-03-11 文章来源:南方医科大学珠江医院关节骨病外科 林荔军 我要说
近期,珠江医院关节骨病科林荔军教授团队完成了国内首例胫骨远端骨肉瘤切除+3D打印胫骨远端假体术。经过广东省医学情报所查新发现当前国内外均无采用3D打印假体治疗胫骨远端骨肉瘤病例的报道。本例手术的完成,标志着珠江医院关节骨病科在治疗复杂骨肉瘤病例和采用数字医学技术及金属3D打印技术结合运用方面取得了突破性进展。

患者为家住广东惠东县中年男性患者,在2019年夏天无意中发现自己右小腿出现一肿块,起初并无在意,之后肿块开始逐渐变大,伴现出疼痛,影响患者的肢体活动,甚至还影响到了他的休息。

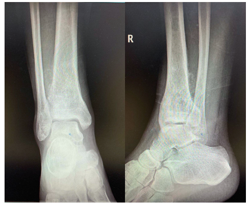
术前X线照片

手术切口设计
几经诊治后,患者最终来到了珠江医院,关节骨科主任医师林荔军根据自己多年的诊治经验判断,考虑患者胫骨远端肿块可能是骨恶性肿瘤,在完善各项术前检查后,林荔军主任和他的团队在C臂引导下对肿块进行了取样活检,术后病理报告为:“成软骨型骨肉瘤(低中级别)”,结果也证实了他的猜想。骨肉瘤是骨肿瘤里面恶性程度极高的一种,骨肉瘤病人早期容易发生肺部转移,死亡率极高。对于骨肉瘤,尽早的诊断和彻底的手术切除就变得十分关键。而发生在胫骨远端的骨肉瘤,更为罕见。如何彻底地切除肿瘤,达到根治的目的同时,还要考虑保留患者功能的踝关节功能及行走功能需求,这是摆在医生及患者面前的极大挑战。
为同时解决胫骨远端骨肉瘤病灶切除及一期完成下肢保肢及踝关节功能重建这两个问题,林荔军主任独具匠心的提出采用瘤段切除+3D打印胫骨远端假体进行功能重建的处理方案。根据肿瘤侵犯范围设计切除范围置入根据患者CT数据的个体化3D打印胫骨远端假体,采用关节接触面的骨长入设计及关节远端螺钉钉道术前预计,为假体远端的骨长入提供近期及远期的稳定性。该方案国内外均无相关报道,为此林荔军主任与华钛三维吴鑫华院士团队成立了联合攻关组,历经10余次修改、有限元分析、假体打印、虚拟手术及力学测试等,最终确定手术方案及所需的关节假体。

病灶模拟及手术设计
1月20日,在麻醉科的协助之下,与祁伟仲博士,骨科赖少勇医生一起经历了两个半小时的努力后,林荔军主任和他的团队成功地将肿瘤切除,并为江某换上了这条3D打印个性化定制的“新腿”。现患者恢复顺利,已可在拄拐辅助下行走。

术中见肿瘤广泛侵犯肢体

术中完整切除带瘤患肢

术中透视

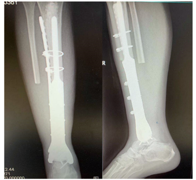
术后复查照片

术后二个月康复照片
3D打印是指利用病人的影像学数据在计算机上进行三维重建,之后根据重建出来的骨头来个性化地设计假体,利用3D打印设计出来的假体相比于批量生产的假体具有匹配性好的优点,并且假体上打印出的微孔结构能帮助骨细胞长到假体内部,假体和人体的融合程度更高。
专家简介

林荔军博士,南方医科大学珠江医院关节骨病外科副主任, 主任医师。
从事关节外科、运动医学及骨科创伤与骨病治疗多年。曾前往澳大利亚墨尔本EPWORTH及美国UNMC进修学习,可独立完成人工髋、膝关节置换及翻修手术,关节周围肿瘤切除人工肿瘤关节置换保肢治疗及关节周围复杂性骨折关节镜辅助下治疗等手术。可熟练完成关节镜下膝关节半月板损伤治疗、膝关节前后交叉韧带重建,肩关节脱位关节镜下微创修复重建、肩袖损伤重建及跟痛症微创治疗等手术。参加与承担省部级科研课题多项,发表SCI及核心期刊文章二十余篇,并获得广东省科技进步奖一次。
目前是广东省五四青年奖章提名奖获得者;广东省卫生系统青年岗位能手;2014年评为南方医科大学优秀教师;2015年获全国中青年骨科医师手术标准化大赛关节组第一名;2014年获全国高等医科院校青年医师教学基本功大赛二等奖。多次获得珠江杯、南方之星杯临床教学比赛一等奖。
广东省青联委员;广东省医学会、广东省关节外科学会青年委员会副主任委员;中国医师协会骨科医师分会常委;广东省骨科学会委员、骨肿瘤学组委员;广东省健康管理学会骨科学分会委员;广东省医学会骨肿瘤分会委员。《中华临床医学杂志》(电子版)特约编辑;《中华关节外科杂志》(电子版)审稿专家。



京公网安备11010502051256号