手术视频详解:颈后路单开门椎管扩大成形术
2019-10-09 文章来源:北医三院骨科 我要说
骨科在线版权所有,如需转载请注明来自本网站.
2019年6月14-15日,北医三院骨科论坛在京隆重召开,200余位国内知名骨科专家和近900名骨科同道及护理人员齐聚会场,一起畅谈学术新进展、交流手术新理念,展示了北医三院骨科过去60年走过的光辉历程。
大会第一天,北医三院周非非副教授在“厚德仁“术”—前沿/经典手术视频详解”专题中,汇报了一例“保留一侧肌肉韧带复合体的颈后路单开门椎管扩大成形术”的经典病例,详细讲解了该术式的设计理念、操作步骤和注意事项,并就门轴断裂、椎板间融合、关门现象和C5神经根麻痹等重要问题与现场嘉宾进行了深入探讨。

病案简介
患者为男性,67岁
•走路踩棉感7年, 双上肢疼痛、麻木6个月
•轻度颈痛(VAS 3分)
•双手手掌针刺觉减退
•四肢肌力正常
•肱二头肌腱反射活跃
•Hoffman sign +
•踝阵挛 +
•mJOA: 12.5
影像学检查

X线片

椎管测量

CT

MRI
诊疗方案
诊断:脊髓型颈椎病;颈椎间盘突出 (C3-C6);发育性颈椎管狭窄。
治疗:Anterior—C3-6ACDF;Posterior—Laminoplasty、Lami +fusion。
点击下方图片
即可观看手术视频

http://api.orthonline.com.cn/video/5579
视频精彩放送

手术体位:俯卧、屈颈、上身抬高、20-30°、臀部支撑
棘突截骨

显露

棘突打孔

对侧椎旁肌剥离

门轴部位

咬骨钳制备门轴

磨钻制备门轴

超声骨刀开门

椎板打孔

穿钛缆

固定钛缆

重建颈半棘肌

椎旁肌点对点缝合
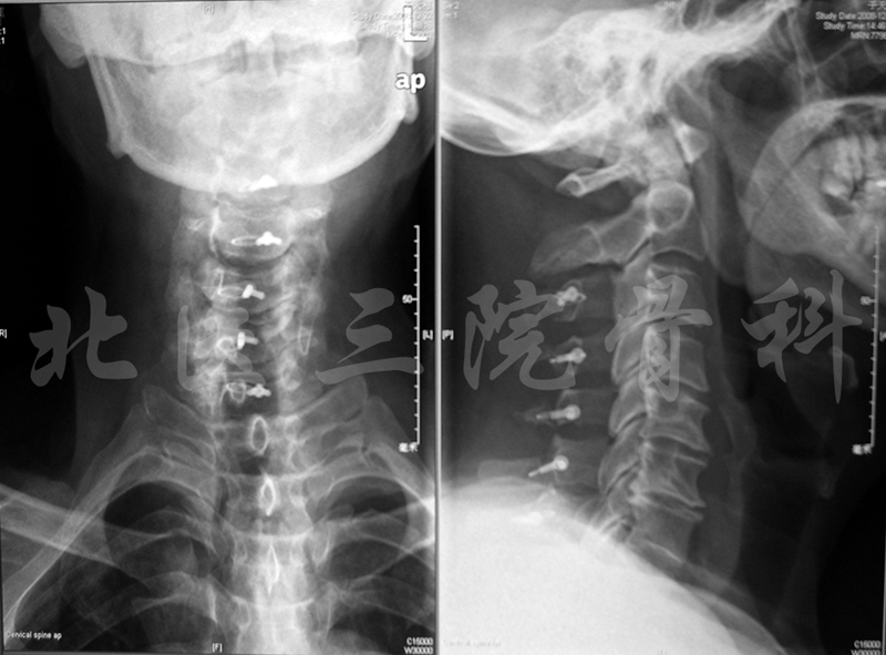
术后随访

术后X线

随访情况,Pre-op:VAS-neck: 3、mJOA: 12.5


随访时影像学检查
Thank you for your kindattention!

专家介绍

周非非
北医三院骨科主任助理,副教授,副主任医师。
担任国际AOSpine讲师,颈椎研究协会(CSRS)北美会员(Corresponding member)、亚太分会会员(CSRS-AP Active member),中国康复医学会颈椎病专业委员会常委、青年委员会主任委员,中国康复医学会脊柱脊髓专业委员会青年委员会副主任委员,北京医学会骨科学分会青年委员会脊柱学组副组长,中华医学会骨科学分会创新与转化学组委员。
专业方向为颈椎退行性疾患、畸形等方面的基础及临床研究。主持及参与国家自然科学基金项目研究4项,主持AOSpine亚太多中心临床研究项目1项(总PI),北医三院院内重点课题1项、优秀归国科研基金1项,中华医学会教育教学研究课题1项,北京大学医学部教学研究课题1项。
作为第一作者发表SCI论著5篇,中文核心期刊论著13篇,实用新型专利一项。
2014-2016年作为访问学者在美国Emory University Spine Center、哈佛大学麻省总医院进修学习。



京公网安备11010502051256号