南方医院脊柱骨科完成国内首例单一前路经口腔枢椎肿瘤切除+3D打印人工椎体置换术
2019-09-20 文章来源: 南方医院脊柱骨科 我要说
近日,南方医院脊柱骨科蒋晖副主任团队完成了国内首例单一前路经口腔枢椎肿瘤切除+3D打印人工椎体置换术。此例手术的完成,标志着南方医院脊柱骨科在上颈椎疑难手术和数字骨科技术应用方面已经获得突破性进展。
患者是一名由汕头辗转来我院求医的43岁女性,因为体检无意中发现枢椎的骨质大部分都已经被肿瘤破坏了。枢椎对于人体脊柱的稳定性极其重要,上承头颅之重,还担负着颈部旋转活动的重任。而患者枢椎椎体左侧2/3和侧块关节均已被肿瘤侵蚀,轻微外伤即有可能导致椎体骨折,进而压迫后方的延髓,立刻引起四肢瘫痪,甚至危及生命。

术前CT显示枢椎骨质破坏

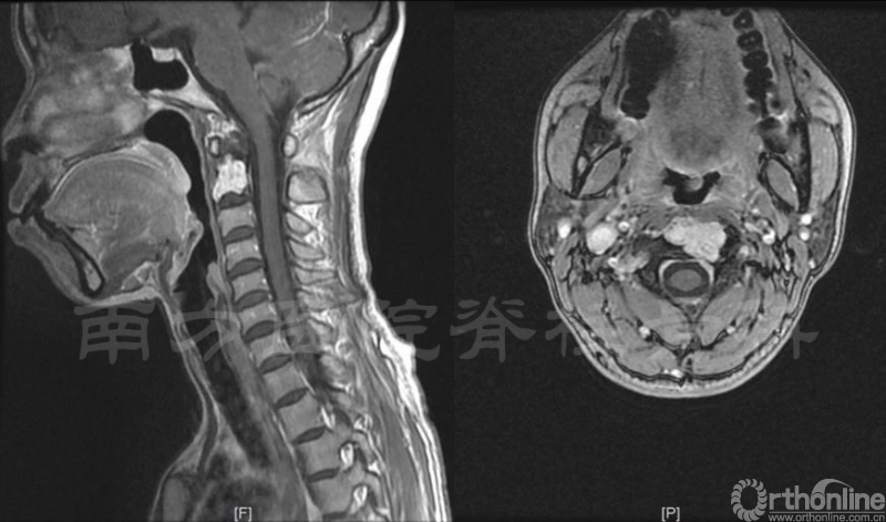
术前MRI示肿瘤侵犯枢椎大部分椎体
制定精准的手术方案必须首先明确肿瘤性质,蒋晖副主任在C型臂引导下为患者做了经皮穿刺活检术,术后病理结果证实肿瘤为“血管粘液软骨瘤”,这是一种罕见的良性肿瘤,也就是说完整切除肿瘤的话,患者还有很大机会能够痊愈。但是枢椎肿瘤的切除非常困难,常规手术方法是劈开下颌骨,创伤极大,术中出血多,术后恢复慢,常伴有吞咽、构音困难,患者难以接受这种巨创手术。
另外肿瘤切除后,枢椎椎体缺损一大块,如何重建脊柱稳定性也是非常棘手的问题。常规方法是用钛网,也就是一个金属笼子填充自体骨,放置于切除后的椎体之间。但是上颈椎形体结构特殊,而钛网形态单一,且与上下椎体很难有效接触,容易出现下沉、松动等问题,导致手术失败。
钛网与上下椎体也无法牢固的固定,因此国内外报道过的此类手术,均需要行颈椎前后联合手术入路,也就是前方切除肿瘤后,再在颈后部开刀,打入椎弓根螺钉来固定椎体,以防假体松动。对病人而言,大大增加了手术的痛苦和费用。

设计肿瘤切除范围及3D打印假体

3D打印的假体与患者上颈椎实体尺寸模型匹配

鼻内镜辅助下经口手术

经口腔入路

经口腔完成肿瘤切除后3D打印枢椎假体固定

术后X线显示假体及螺钉位置良好
借助于脊柱骨科的“广东省脊柱外科虚拟现实与器械工程技术研究中心”这一技术平台,蒋晖副主任带领的团队独具匠心地提出在鼻内镜辅助下单一前路经口腔切除枢椎肿瘤,并根据切除肿瘤侵犯的范围设计置入3D打印人工椎体,并在人工椎体上设计好颈1-3螺钉的钉道及导航模板,人工椎体内预留植骨通道,从而实现以微侵入的方式通过单一切口切除肿瘤、重建脊柱并达到脊柱稳定性的目标。经过与3D打印公司的反复沟通,历经10余次修改,最终获得了所需要的人工椎体。
8月22日,在耳鼻喉科、麻醉科协助下,与程勇泉博士、季伟博士一起历时10个小时,完成了这台挑战性极高的手术。术后在重症医学科和脊柱骨科护理团队的通力配合下,患者恢复顺利,目前已回归正常生活。

术后10天患者健康出院
南方医院脊柱骨科积极响应学校争创“双一流”、医院争创“国家区域医疗中心”的发展战略,努力实践,不断创新诊疗技术,助力疑难高危病例的治疗,以精准、微创、智能化为导向,为实现的院校的目标添砖加瓦。
专家简介

蒋晖
南方医科大学南方医院脊柱骨科副主任、副教授、副主任医师。
专科特长:长期从事脊柱畸形研究与临床工作,在脊柱侧弯矫正、脊柱肿瘤等领域经验丰富。
现任国际AOSpine脊柱协会会员、中国医师协会骨与关节发育畸形治疗与预防委员会委员、广东省医学会脊柱外科学分会青年委员会副主任委员、广东省康复医学会脊柱脊髓专业委员会青委会副主任委员、广东省医学会脊柱外科学分会秘书、《中华临床医师杂志》特邀编辑。



京公网安备11010502051256号