胫骨平台后外侧骨折常用手术入路
2019-05-01 文章来源:中华骨伤论坛 作者:贾晓康 我要说
胫骨平台是膝关节的重要负荷结构,一旦发生骨折,使内、外平台受力不均,将产生骨关节炎改变。由于胫骨平台内外侧分别有内、外侧副韧带,平台中央有胫骨粗隆,其上有交叉韧带附着,当胫骨平台骨折时常发生韧带及半月板的损伤。临床医生应当充分熟悉腘窝区解剖结构,选择合适的手术方式,精细手术操作,给患者带来最大的受益。


一、胫骨平台后外侧解剖




二、后外侧切口介绍
(一)不截骨入路:
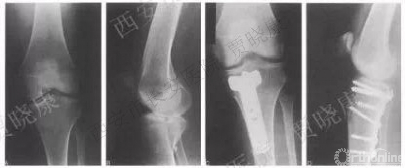
1.后正中入路

1995年

显露彻底,可同时处理后叉止点骨折,半月板及后内侧骨折。

原文:回顾性分析7例经单侧后路切开复位和内固定治疗胫骨平台后移位骨折的患者。随访1~10年,所有患者均有良好疗效,治疗方法无并发症。
2. Carlson后外侧入路

2005年

该方法:为后侧2个弧形切口、便于显露后内、后外。适用于41B2.3x或w、41B3.2x或w、41B1可41B2.1x或u。
原文:8例患者有后双髁胫骨平台骨折。2名患者有抑郁后外侧胫骨平台骨折中的缺陷并没有直接暴露骨折部位。1人死于医疗问题导致5例直接骨折暴露、复位、固定。
3. Frosch入路

2010年


原文:采用这种方法,治疗7名患者中,有6名患者实现了关节面的复位和稳定固定。
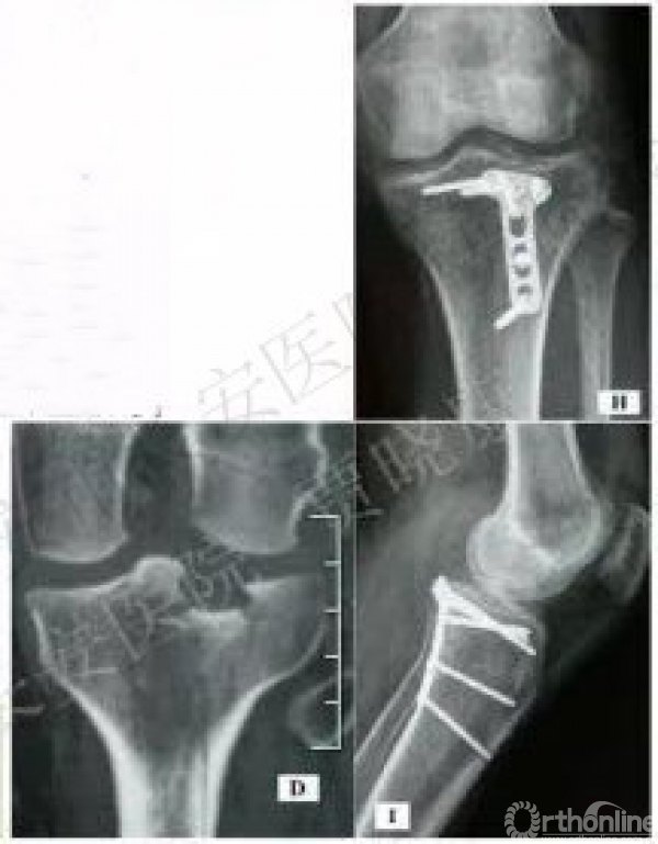
4.后外侧入路

2009年俞光荣

该方法:直接暴露。适用于41B2.1x或u、41B3.1x或u.

原文:8例中年患者后外侧冠状动脉骨折的胫骨外侧平台。8例患者均行直接骨折暴露、可视化复位、后外侧入路钢板内固定。
5.腓骨头上入路1

2012年陈红卫

无示意图及术中照片
原文:16例胫骨平台后外侧骨折行改良的前外侧入路手术治疗。
腓骨头上入路2

2012年储旭东

该方法:直接暴露外侧并后外部分。适用于41B2.1x或u并t,41B3.1x或u并t。

原文:冰冻成人膝关节10个。12例胫骨平台后外侧骨折行后外侧踝部暴露、复位固定。OA为9.43-14.92mm,平均12.97±1.83mm,膝关节在0度时外侧副韧带紧张,OB为4.87±0.33mm;屈膝时OB随外侧副韧带松弛而增大,屈膝60度时最为松弛,向后侧牵拉外侧副韧带同时稍内旋胫骨可完整显露后外侧踝。
腓骨头上入路3

2015年

该方法:直接暴露外侧并后外部分。适用于41B2.1t或x、41B3.1t或x。

原文:7例胫骨平台骨折经腓骨前外侧入路治疗。侧卧位,膝关节屈曲60°.LCL后退,将钢板向后放置。
原文:解剖5例新鲜和10个膝关节标本:腓骨头顶端至髁突表面的平均距离为12.2±1.6mm。PL平台与FCL之间的横向距离6.7±1.1mm.膝关节屈曲至60°,FCL处于最放松位置,距离增加到21.1±3.0mm。
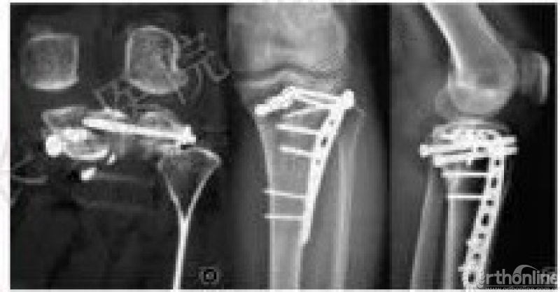
6. 后内L形入路

2010年罗从风


该方法:显露后柱。
适用于:41B2.3x或w、41B3.2x或w、41B1.2可:41B2.1x或u
原文:后外侧入路支撑钢板固定治疗11例胫骨平台后侧劈裂骨折患者。结论:后外侧入路支撑钢板固定是治疗胫骨平台后侧劈裂骨折的一种有效方法,但要熟悉腘窝区解剖结构,正确掌握手术适应证。
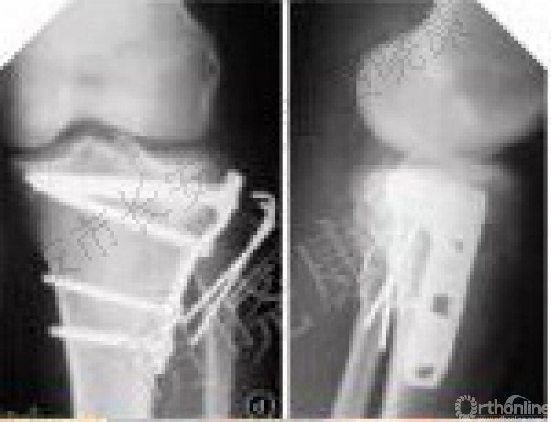
7. 改良的后L形入路

2008年王秋根


适用于41B2.1x或u,41B3.1x或u。
原文:改良后外侧入路有助于扩大此类骨折的最佳手术选择,直视下将后外侧剪切骨折的修复固定。
(二)截骨入路
1. 腓骨头截骨

2010年

2008年禹宝庆

适用于41B2.1x或u并t,41B3.1x或u并t。
这种方法单独或结合后内侧入路治疗胫骨平台骨折8例。
2. 腓骨颈截骨入路1

2012年庄岩

适用于41B2.1x或u并t,41B3.1x或u并t。


原文:17例胫骨平台后外侧骨折患者。膝关节外侧经腓骨头的纵形切口,近端起自腓骨头上方10cm,向远端垂直延伸10-15cm。
腓骨颈截骨入路2

2016年

适用于41B2.1x或u并t,41B3.1x或u并t。

原文:15例患者采用腓骨颈截骨术,6例患者需要Gerdy结节截骨。所有骨折和截骨均愈合。解剖复位16例。
3. 腓骨头二腹肌截骨

2015年纽约特种外科医院



与腓骨头截骨术相似。
原文:采用标准的前外侧入路,但皮肤和筋膜切口向后移,在Gerdy结节和腓骨头之间分开。
4.股骨外髁截骨入路

2014年

采用垂直前外侧切口。

三、小结
1.各种入路方式均由各自的适应证,各有优劣之处,应结合具体分型、具体应用。
2.只有熟悉腘窝区解剖结构及生物力学原理,方能熟练使用。



京公网安备11010502051256号