肱骨远端骨折的手术原则和细节
2019-03-05 文章来源:解放军总医院 作者:彭烨 我要说
在正式讲解肱骨远端骨折实用的技巧和原则之前,先给大家回顾一下肱骨远端骨折的固定技术理念。
肱骨远端骨折的固定若没有熟练掌握,极易产生一些并发症。最常出现的并发症:僵硬、骨不连、感染、尺神经、内固定相关。


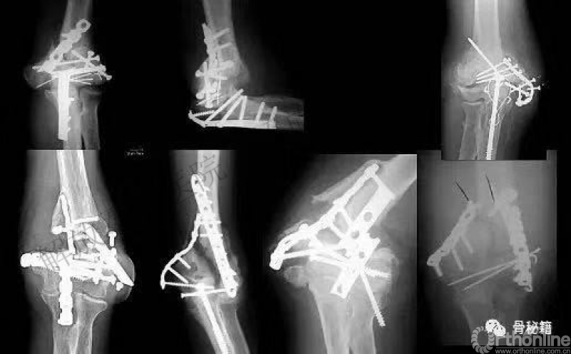
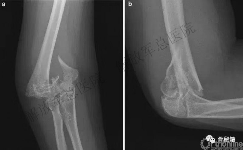
看看这些失败的case,肱骨远端不简单!
然而
AO固定技术流程,会让骨折简单起来!
1.复位时,先把滑车固定好,可应用空心螺钉。

2.然后用克氏针将骨折块经过钢板来进行固定,注意钢板一定要把远端包裹一点。

3.先用普通螺钉固定肱骨近端的孔,完成临时固定,不用拧太紧。

4.然后进行远端的单侧加压固定。

5.应用大巾钳和加压螺钉完成髁间的加压固定。

具体办法:用大巾钳完成两侧柱的加压后应用螺钉完成固定。

6.同样的方法完成对侧的固定。

7.最后完成其他的螺钉锁定,形成一个完整的肱骨远端力学结构。

远端螺钉尽量打满,完成髁间的链接,近端3个以上螺钉。

髁间一定要有链接的长螺钉(对角线螺钉)。

以上就是AO技术的基本流程
髁间加压技术对骨折的愈合十分重要!
言归正传,让我们来深究一下肱骨远端骨折的手术原则和细节。


一、详细的术前评估
X线、CT、神经检查、等等。
做好充足的准备,器械、关节置换、不同的钢板。

二、仔细软组织管理

(1)使用从皮肤到筋膜平面的全厚皮瓣;
(2)尽可能保留肱三头肌;
(3)手术后保持上肢伸展并悬挂于头部12小时,以促进水肿的消退。

(a)将敷料贴在皮肤切口上;
(b)柔软的棉质衬垫位于肘部伸展的位置;
(c)用单层半胶粘绷带覆盖;
(d - e)将管状绷带缠绕在手臂上;
(f)手臂悬挂在患者头部12小时。
三、充分的的骨折显露
手术入路(略)
四、适当的固定技术原则


1.最大限度地固定远端碎片。
2.确保远端节段的所有固定有助于提高髁间水平的稳定性。
3.不建议使用三分之一管型板,因为它们太弱并易于断裂,尤其是在粉碎干骺端。


4.钢板长度也很重要:钢板应在近端以不同水平,以避免在肱骨干骨中形成应力集中。

5.解剖锁定钢板通过卓越的生物力学特性提供更好的临床疗效。

6.良好的固定需要两个板,平行or垂直?
在肱骨远端骨折中,一块钢板通常不足以保证良好的稳定性,而在其他骨折(例如,胫骨近端和股骨远端)中,LCP的引入消除了对双柱固定的需要。应谨慎使用单侧钢板,仅在单柱损伤的情况下可以应用。
7.钢板如何搭配?
迄今为止,通常使用前两种钢板的固定。
AO推荐在治疗中应用垂直钢板。然而,这种方法受到了广泛的批评 - 主要是因为通过后外侧板难以获得足够的螺钉数量和前后方向的长度的螺钉固定。
与垂直钢板相比,平行板配置似乎提供了更好的生物力学性能。实在不行的时候再用三钢板技术

五、固定的八个细节
1.每个螺钉都应该经过钢板固定。
2.每个螺钉固定骨折块的螺钉,在他的对侧应该也有一个钢板的把持。
3.在远端一定要打满螺钉。
4.每个螺钉要尽可能的长。
5.每个螺钉需要尽量的对关节面的骨块进行固定。
6.螺钉应通过交叉锁定在一起,从而形成角稳定结构并将内外侧柱连接在一起。
7.钢板需要在髁间完成加压。
8.所使用的钢板必须足够坚固并且足够坚硬以抵抗在髁上水平处的断裂或弯曲。
六、实在固定不了的时候,再进行肘关节置换术
肘关节又分为半肘和全肘



七、术后早期康复
除了非常罕见的病例外,所有患者在手术后24小时开始被动和主动运动,需要保留在弹性绷带中,同时限制过度的运动。在手术后三周,在移除缝线时移除弹性绷带。患者被告知不能负重,直到发生骨愈合。




京公网安备11010502051256号