Maisonneuve骨折
2019-03-04 文章来源:山东足踝 作者:徐文鹏 我要说
瑞麟导读:Maisonneuve骨折是踝关节骨折中一种特殊的类型,分型中属于LH旋前外旋III度及旋前外旋IV度、Weber分型中的C型骨折。
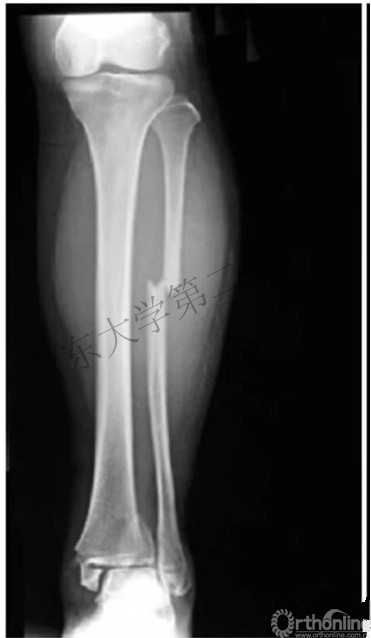
因其存在腓骨高位的骨折,比较容易漏诊,在查看患者时要特别注意小腿近端的疼痛及压痛,X片检查时尽量拍摄胫腓骨全长片。
治疗原则按照LH分型中旋前外旋III度及旋前外旋IV度的治疗原则进行。对于腓骨近端骨折、下胫腓联合、三角韧带的处理,手术者应根据患者的要求及疾病自身特点及个人的临床经验进行综合考虑。
一、什么是Maisonneuve骨折
Maisonneuve骨折(MFF)是一种特殊类型的踝关节骨折,指由外旋暴力导致的腓骨近端骨折,常合并多种结构损伤。由法国医生Maisonneuve(Dupuytren的学生)于1840年首先报道。

发生率低,或者说诊断率较低。
二、Maisonneuve骨折有哪些主要特点?
1. 骨间膜损伤及腓骨高位骨折
2. 踝关节内侧结构损伤(内踝骨折或三角韧带损伤)
3. 下胫腓前韧带损伤
4. 可合并下胫腓后韧带损伤或后踝骨折
1、2和3为旋前外旋Ⅲ度,1、2、3和4为旋前外旋Ⅳ度。
三、Maisonneuve骨折属于哪种分型?
1. Dennis-Weber分型中的C3型骨折

C1:简单腓骨干骨折;
C2:粉碎的腓骨干骨折;
C3:腓骨近端骨折。
2. Laugue-Hansen分型中的旋前外旋型Ⅲ度以上


四、Maisonneuve骨折的受伤机制(旋前外旋型骨折)

内侧结构损伤→下胫腓联合损伤→骨间韧带损伤→腓骨高位骨折→后踝损伤(有或无)
五、Maisonneuve骨折的诊断

1. 临床漏诊率高达14.28-44.40%
2. 对于踝关节损伤的患者应注意对腓骨近端的查体,并行胫腓骨全长X线片。
3. 小腿挤压试验和外旋应力试验。
4. CT可以发现较小的下胫腓联合的分离;MRI可以发现三角韧带、骨间膜和下胫腓韧带的损伤情况。
六、Maisonneuve骨折的分期


每个病例的表现
七、Maisonneuve骨折的治疗
(一)非手术治疗:长腿石膏固定6-12周,没有内踝骨折或内侧间隙正常。
如存在下胫腓联合分离,保守治疗效果不好,易导致踝关节不稳,造成踝关节疼痛。
(二)L-H分型Ⅲ度以上,建议手术治疗。

1.腓骨骨折的治疗
(1)对于远端2/3的腓骨骨折会引起腓骨短缩、外旋或外展畸形,对于此类骨折必须首先复位腓骨,恢复长度,纠正旋转。
(2)对于近端1/3的腓骨骨折无需固定。

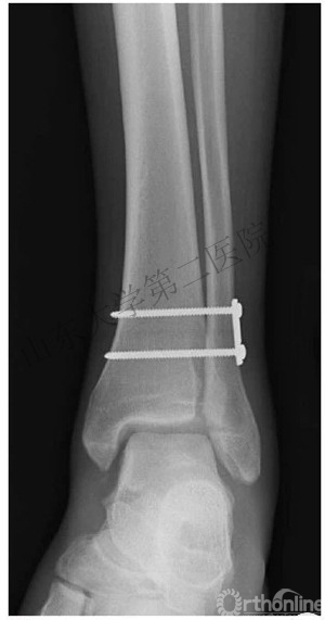
2.下胫腓联合的治疗
(1)对于部分骨间膜损伤或单纯下胫腓前韧带损伤的患者可以保守治疗。但很难确定。
(2)下胫腓联合以两枚下胫腓螺钉固定。

※下胫腓螺钉位置:
*胫距关节面近端2-4cm,并且平行于关节面。
*水平面上从后向前有30°夹角。
※关于下胫腓螺钉的系列问题:
*2枚螺钉or1枚?
有高位腓骨骨折时,打2枚螺钉;其他的打1枚螺钉。
*4层皮质or3层皮质?
4层皮质稳定性更好,容易断钉。
*3.5mm螺钉还是4.5mm?
根据腓骨的大小确定。
*取出时间?
8-12周
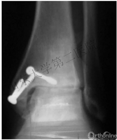
3. 内侧结构损伤的治疗

(1)对于内踝骨折而三角韧带损伤的只需复位固定内踝骨折即可。
(2)三角韧带是否需要修复?仍存在争议。
八、总结
1.Maisonneuve骨折是容易漏诊的一种踝关节骨折
2.Maisonneuve骨折需手术治疗
3.没有证据表明对于腓骨近端1/3的骨折需要切开复位内固定。
4.下胫腓联合需要用两枚下胫腓螺钉固定,除非可以确定下胫腓联合是否稳定。
5.在固定下胫腓联合的时候,需要恢复腓骨长度和旋转,将足放于中立位。
6.三角韧带损伤是否修复存在争议。
7.内踝骨折建议行复位内固定。
8.如存在后踝骨折,需行内固定。
个人简介

徐文鹏,山东大学第二医院足踝外科主治医师,中华医学会骨科学分会足踝外科学组青年委员,中国医师协会骨科医师分会足踝外科工作委员会青年委员,中国医促会骨科分会足踝外科学组青年委员,山东省医师协会骨科医师分会足踝外科工作委员会秘书,山东省医师协会手足外科分会青年委员会委员。擅长足踝部运动损伤的诊断和治疗。



京公网安备11010502051256号