臀部出现异常、增大可能是因为它?
2018-05-18 文章来源:济南军区总医院骨病科 徐明 郑凯 于秀淳 我要说
软组织肉瘤是指发生在间叶组织的恶性肿瘤,其发病率约为2.4-5/10万,占成人恶性肿瘤约1%。其中,多形性未分化肉瘤(undifferentiated pleomorphic sarcoma,UPS)最多见,占25%-30%。
软组织肉瘤的治疗通常采用以手术为主的综合治疗模式,治疗也强调多学科协作。由多学科医生共同制定治疗计划,手术治疗是最主要的治疗手段。
本文根据一例臀部多形性未分化肉瘤病例,详细论述多形性未分化肉瘤保肢治疗的思路,以期对各位同仁的临床工作有所帮助。
病例介绍
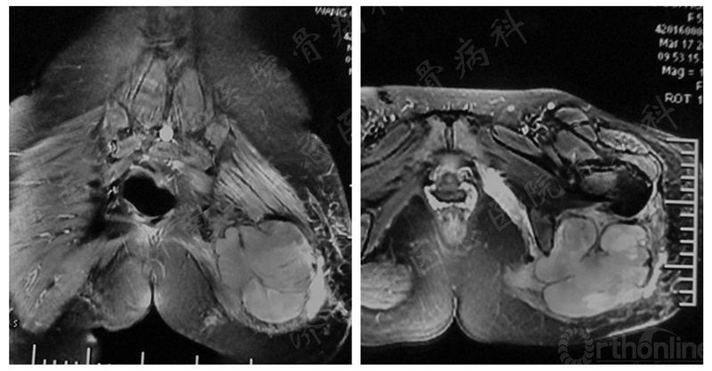
患者女性,53岁。患者于2016-1-14查骨盆MR,结果显示左侧髋关节后方,外旋肌群内T1低信号软组织肿块影;左侧髋关节后方,外旋肌群内T2高信号软组织肿块影。


术前MRI
术前穿刺活检提示多形性未分化肉瘤(恶性软组织肿瘤),故行手术治疗。术中发现肿瘤与坐骨神经关系紧密,保留了坐骨神经,经瘤手术。术后病理提示多形性未分化肉瘤(恶性软组织肿瘤),故术后进行1疗程化疗,3次放疗。

术后2月肿瘤复发
术后2个月,2016-3-17MRI检查示肿瘤复发,为寻求更好治疗,于2016-3-24入济南军区总医院骨病科。经多学科医生会诊后欲再行手术治疗,合并术前同步放化疗。2016-5-16放化疗后肿瘤边界变清晰,故行手术切除术。

术前同步放化疗前后对比

放化疗后肿瘤边界变清晰

放化疗前后效果对比

肿瘤扩大解除

术后病理活检结果
术后出现创面积液、感染,多次清创VSD吸引后效果不佳,故行大腿前侧皮瓣覆盖的半骨盆离断术,术后患者恢复良好。

术后创面感染

清创VSD吸引

大腿前侧皮瓣覆盖的半骨盆离断术
总 结
软组织肉瘤的保肢适应证为保肢手术可获得满意的外科边界,重要血管神经束未受累,软组织覆盖完好,预计保留肢体功能优于义肢;远处转移不是保肢的禁忌证。而截肢适应证为患者要求截肢,重要血管神经束受累,缺乏保肢后骨或软组织重建条件,预计义肢功能优于保肢。



京公网安备11010502051256号