支撑钢板与螺钉固定治疗旋后-内收型II度踝关节骨折的比较研究
2018-04-02 文章来源:西安交通大学医学院附属红会医院足踝外科(西安 710054) 作者:赵宏谋 我要说
【摘 要】 目的 通过回顾性病例对照研究,探讨旋后-内收型II度踝关节骨折中采用支撑钢板与螺钉固定内踝骨折的疗效差异,为临床选择内固定方式提供参考。 方法 回顾分析2009年3月—2013年6月收治并符合纳入标准的53例旋后-内收型II度踝关节骨折患者临床资料,根据内踝骨折固定方法进行分组,其中支撑钢板固定组30例、螺钉固定组23例。两组患者性别、年龄、骨折侧别、致伤原因、受伤至手术时间等一般资料比较,差异均无统计学意义(P>0.05),具有可比性。术后观察两组相关并发症发生情况,记录患者完全负重时间;采用美国矫形足踝协会(AOFAS)踝与后足评分标准进行临床疗效评估;疼痛视觉模拟评分(VAS)评估患者负重及行走时疼痛情况。复查踝关节正侧位X线片,评估骨折复位及愈合情况。记录手术失败例数。 结果 术后两组切口相关并发症发生率、感染发生率比较,差异均无统计学意义(P>0.05)。两组患者均获随访,支撑钢板固定组随访时间46~91,平均64.5个月;螺钉固定组为44~86个月,平均59.5个月。支撑钢板固定组患者术后完全负重时间较螺钉固定组显著缩短(t=2.05,P=0.04)。X线片复查示,除螺钉固定组有2例畸形愈合,1例不愈合,两组其余患者均获解剖复位及骨性愈合,两组骨折愈合时间比较差异无统计学意义(t=1.06,P=0.30)。两组创伤性关节炎发生率及手术失败率,末次随访时AOFAS评分及其优良率、VAS评分,比较差异无统计学意义(P<0.05)。 结论 旋后-内收型II度踝关节骨折的内踝骨折由于骨折线与胫骨轴线的夹角较小,单纯螺钉固定强度不足;支撑钢板固定可以提供较大的力学强度,患者可早期负重锻炼,临床疗效肯定。
【关键词】 踝关节骨折;旋后-内收型;内踝骨折;内固定
踝关节骨折临床常见,其中旋后-内收型踝关节骨折较少,约占全部踝关节骨折的4%~5%[1-3]。此类骨折如涉及内踝(II度骨折),多为垂直暴力致伤,其骨折线与胫骨轴线夹角较小,而且根据致伤暴力大小和后足位置,部分内踝骨折可能出现内侧皮质粉碎,胫骨远端内侧出现塌陷游离骨块或内侧关节面压缩塌陷。因为骨折特征的多样化和不稳定性,旋后-内收型II度踝关节骨折治疗技术要求较高,对于内固定材料的选择也存在争议。生物力学研究表明,对于此类内踝骨折,单纯螺钉或支撑钢板固定强度相当[4]。也有学者认为,旋后-内收型II度踝关节骨折损伤特征与Pilon骨折相似,骨折块剪切应力较大,应使用支撑钢板固定[5]。目前,针对支撑钢板与单纯螺钉固定此类骨折的临床报道较少。为此,我们进行了回顾性病例对照研究,比较旋后-内收型II度踝关节骨折中采用支撑钢板与螺钉固定内踝骨折的疗效差异,为临床选择内固定方式提供参考。报告如下。
1 临床资料
1.1 患者选择标准
纳入标准:①旋后-内收型II度踝关节骨折、闭合骨折;②新鲜骨折,受伤至手术时间≤2周;③患者年龄≥18岁;④内踝骨折采用切开复位内固定治疗,固定材料为支撑钢板或螺钉;⑤随访时间≥2年。排除标准:①合并距骨骨折,可能影响术后踝关节功能者;②伤前存在基础疾病,伤侧肢体不能正常负重行走者。2009年3月—2013年6月,共53例患者符合选择标准纳入研究。根据内踝骨折固定方法不同将患者分为两组,其中支撑钢板固定组30例,螺钉固定组23例。
1.2 一般资料
支撑钢板固定组:男16例,女14例;年龄19~70,平均36.8岁。左踝8例,右踝22例。致伤原因:高处坠落伤13例,摔伤6例,扭伤4例,交通事故伤7例。受伤至手术时间(6.4±1.7)d。外踝横型骨折19例,腓骨远端撕脱骨折9例,外侧副韧带断裂2例。合并第5跖骨基底骨折3例,Lisfranc损伤1例,桡骨远端骨折2例,股骨干骨折1例。
螺钉固定组:男12例,女11例;年龄18~78,平均40.7岁。左踝12例,右踝11例。致伤原因:高处坠落伤11例,摔伤4例,扭伤3例,交通事故伤5例。受伤至手术时间(5.6±1.5)d。外踝横型骨折13例,腓骨远端撕脱骨折8例,外侧副韧带断裂2例。合并第5跖骨基底骨折3例,Lisfranc损伤1例,桡骨远端骨折1例。
两组患者性别、年龄、骨折侧别、致伤原因、受伤至手术时间等一般资料比较,差异均无统计学意义(P>0.05),具有可比性。
1.3 手术方法
两组手术均由同一组医师完成;除内固定材料外,骨折复位内固定方法均一致。全麻或持续硬膜外麻醉下,患者取仰卧位,大腿上止血带后手术。对于外踝横型骨折,外踝骨折均采取切开复位内固定术,其中31例采用腓骨远端外侧解剖钢板固定(支撑钢板固定组19例,螺钉固定组12例),1例采用螺钉内固定(螺钉固定组);对于腓骨远端撕脱骨折,7例采用切开复位张力带内固定(支撑钢板固定组4例,螺钉固定组3例),2例采用切开复位螺钉内固定(支撑钢板固定组1例,螺钉固定组1例),8例采用保守治疗(支撑钢板固定组4例,螺钉固定组4例),即术后踝关节中立位石膏固定4~6周,之后在护踝保护下逐渐负重及功能锻炼;对于外侧副韧带断裂,术中不作处理,均行保守治疗,方法与腓骨远端撕脱骨折保守治疗方法相同。
内踝手术采用前内侧弧形切口,避免损伤大隐静脉,切开前内侧关节囊,冲洗清除关节腔血肿,清理关节内骨碎片及嵌入的软组织。探查胫骨远端内侧穹窿有无压缩塌陷及游离骨块,在直视下撬拨复位压缩的内侧穹窿关节面,复位塌陷的游离骨块。最后复位内踝骨折块,对于内踝骨折近端粉碎患者,注意关节面解剖对位,避免内踝上移或内翻。用1.5 mm克氏针临时固定,通过踝关节正侧位及踝穴位透视,明确骨折解剖复位后,分别行螺钉或支撑钢板固定。
1.4 术后处理
两组术后处理方法一致。术后抬高患肢,第2天开始行踝关节及足部功能锻炼,4周后开始逐渐负重功能锻炼,8~12周后根据骨折愈合情况开始完全负重功能锻炼。
1.5 疗效评价指标
术后观察两组切口愈合以及感染等相关并发症发生情况,记录患者完全负重时间。采用美国矫形足踝协会(AOFAS)踝与后足评分标准进行临床疗效评估[6];疼痛视觉模拟评分(VAS)评估患者负重及行走时疼痛情况。复查踝关节正侧位X线片,评估骨折复位及愈合情况。以因骨折不愈合、畸形愈合、内固定断裂等需再次翻修手术作为手术失败评价标准。
1.6 统计学方法
采用STATA11.0统计软件进行分析。计量资料以均数±标准差表示,组间比较采用独立样本t检验;计量资料采用χ2检验或Fisher确切概率法检验;检验水准α=0.05。
2 结果
术后支撑钢板固定组4例、螺钉固定组1例发生切口局部皮缘坏死及延迟愈合,门诊给予局部清创、换药、预防性抗生素使用等,均获愈合;其余患者切口均Ⅰ期愈合。支撑钢板固定组切口相关并发症发生率为13.3%(4/30),螺钉固定组为4.3%(1/23),两组比较差异无统计学意义(P=0.37)。支撑钢板固定组2例、螺钉固定组1例)出现浅表感染,给予局部清创、换药、抗生素使用等对症处理后感染控制,伤口愈合;两组均无深部感染及骨髓炎发生。支撑钢板固定组感染并发症发生率为6.7%(2/30),螺钉固定组为4.3%(1/23),两组比较差异无统计学意义(P=1.00)。
两组患者均获随访,支撑钢板固定组随访时间46~91,平均64.5个月;螺钉固定组随访时间44~86,平均59.5个月。支撑钢板固定组患者术后完全负重时间为(11.5±1.6)周,较螺钉固定组的(12.6±2.3)周显著缩短,比较差异有统计学意义(t=2.05,P=0.04)。X线片复查示,支撑钢板组均获解剖复位,均达愈合;螺钉固定组有20例获解剖复位,2例畸形愈合,1例不愈合,支撑钢板组骨折愈合时间为(11.5±1.6)周,螺钉固定组为(12.0±1.7)周,比较差异无统计学意义(t=1.06,P=0.30)。见图1、2。支撑钢板固定组3例(10%)、螺钉固定组4例(17.4%)发生创伤性关节炎,均采取保守治疗;两组比较差异无统计学意义(P=0.45)。
末次随访时,支撑钢板固定组AOFAS评分为(83.5±9.3)分,其中优8例、良17例、可5例,优良率为83.3%;螺钉固定组AOFAS评分为(76.7±21.2)分,其中优5例、良13例、可2例,差3例,优良率为78.3%。两组AOFAS评分及其优良率比较,差异均无统计学意义(t=1.57,P=0.12;χ2=0.22,P=0.64)。支撑钢板固定组VAS评分为(1.7±1.3)分,螺钉固定组为(2.6±2.1)分,组间比较差异无统计学意义(t=1.92,P=0.06)。随访期间,支撑钢板固定组无手术失败;螺钉固定组3例需行翻修手术,其中1例骨折不愈合合并内固定断裂,2例骨折畸形愈合,手术失败率为13%;但组间比较差异无统计学意义(P=0.08)。
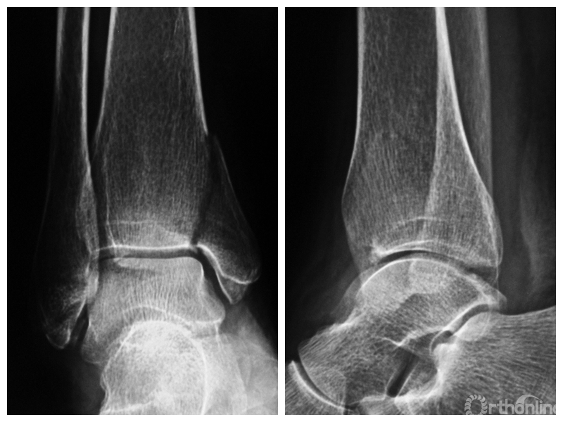
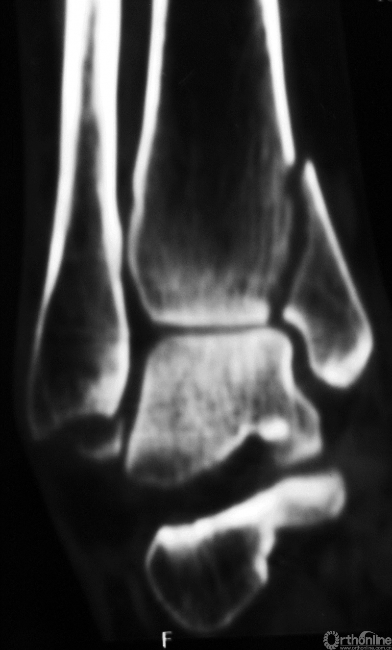
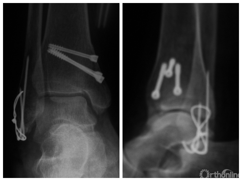
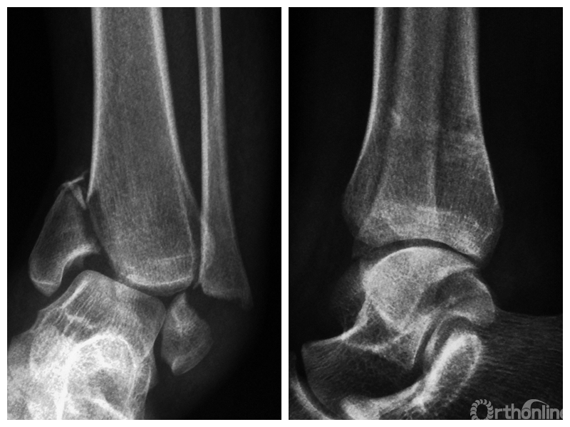
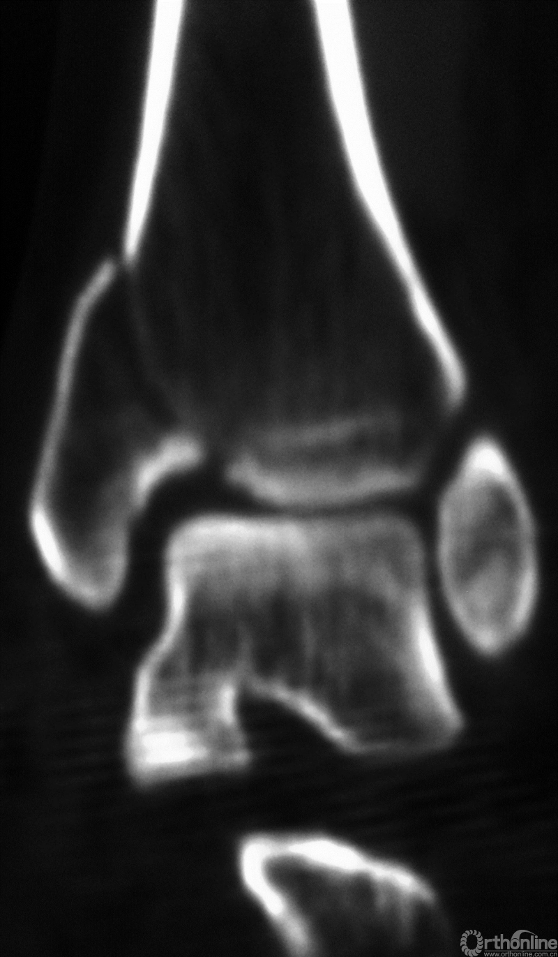
图1 支撑钢板固定组患者,女,63岁,右侧旋后-内收型II度踝关节骨折 a. 术前正侧位X线片;b. 术前CT;c. 术后2周正侧位X线片;d. 术后2年正侧位X线片

图1a 术前正侧位X线片

图1b 术前CT

图1c 术后2周正侧位X线片

图1d 术后2年正侧位X线片
图2 螺钉固定组患者,女,37岁,左侧旋后-内收型II度踝关节骨折 a. 术前正侧位X线片;b. 术前CT;c. 术后2周正侧位X线片;d. 术后1年正侧位X线片

图2a 术前正侧位X线片

图2b 术前CT

图2c 术后2周正侧位X线片

图2d 术后1年正侧位X线片
3 讨论
3.1 旋后-内收型II度内踝骨折的复位要求
在复位旋后-内收型II度内踝骨折时,有3点需要注意:①如在内踝骨折块与胫骨远端关节面之间存在Die-pouch骨折块,首先应掀开内踝骨折块,直视下复位游离骨折块,否则术后将出现关节面缺损,平整性破坏,可能早期出现创伤性关节炎改变。②内踝骨折块近端粉碎时,近端解剖标志破坏,应通过胫骨远端关节面前侧的解剖结构及内踝骨折前侧及后侧的骨折线形态,判断正确的内踝骨折位置,并通过术中透视确定内踝骨折的解剖复位,尤其是关节面的解剖对位和内踝的正确高度与内外翻角度。③如果存在胫骨远端内侧关节面压缩,应在术中通过撬拨复位方法,恢复胫骨远端关节面的正常解剖形态,避免形成内翻畸形,必要时可对复位后的骨缺损部位进行植骨填充[7]。对于下肢负重关节的骨折处理,力线纠正的重要性甚至超过关节面的解剖复位。因为下肢负重力线异常会导致整个下肢的关节受力改变,甚至影响到髋膝关节、骨盆、脊柱及对侧肢体的受力[8-10]。本课题组[11]前期生物力学研究发现,在胫骨远端关节面出现内翻畸形时,胫距关节的接触面积会显著减小,且受力中心会发生移位。但是,对于踝关节骨折,尤其是涉及胫骨远端穹窿关节面的骨折,解剖复位关节面的平整度同样非常重要,1 mm的台阶便可能导致关节面的接触面积发生改变[12]。
3.2 内固定选择 【此部分是讨论重点】
对于旋后-内收型II度内踝骨折内固定方式,整体可分为两大类,即单纯螺钉固定和支撑钢板固定。根据我们的检索结果,目前尚无针对此两种固定方式治疗旋后-内收II度内踝骨折的比较性临床研究报道。Toolan等[4]在早期通过生物力学研究,比较了5种固定方法固定垂直型内踝骨折的力学强度,并指出抗滑钢板与拉力螺钉比较并无固定强度优势。然而,本课题组[13]通过生物力学研究指出,对于垂直劈裂类型的骨折,支撑钢板较单纯螺钉固定可提供更强的力学支撑,避免骨折块再次移位。Wegner等[14]通过生物力学研究指出,对于垂直内踝骨折,抗滑钢板的力学强度要显著优于螺钉单皮质或双皮质固定。旋后-内收型II度内踝骨折在损伤机制及骨折形态特征方面均与Pilon骨折类似,回顾的序列研究指出,支撑钢板对于踝关节垂直剪切型骨折可以提供良好的稳定性和功能愈后[13,15]。另外,陈宇等[5]将外踝钩钢板作为支撑钢板用于旋后-内收型II度内踝骨折,并取得满意的临床疗效。Jones等[16]通过生物力学研究指出,钩钢板与抗滑钢板对垂直型内踝骨折的固定强度相当,然而,如果通过抗滑钢板远端垂直骨折线增加一枚螺钉固定,则抗剪切力的力学强度会显著提高。俞光荣等[9]认为,对于此类内踝骨折,如果存在骨折粉碎,或骨折线与胫骨远端关节面接近垂直,则建议支撑钢板固定;如果为简单骨折,且骨折线具有一定的倾斜度,单纯螺钉固定也可以获得良好的力学稳定的和功能愈合。
本研究结果显示,支撑钢板固定旋后-内收型II度内踝骨折可以提供更好的力学稳定性,患者可早期负重锻炼。Tan等[17]通过生物力学研究指出,对于不稳定性踝关节骨折,通过切开复位内固定术可以恢复较好的稳定性,早期负重并不会出现内固定失败和骨折移位。但是,对于垂直暴力导致的踝关节骨折,无论是内踝还是后踝,其损伤机制更接近Pilon骨折,骨折线与胫骨轴线之间的夹角较小,骨折块与胫骨之间的剪切力也相对较大,单纯螺钉固定的强度要低于支撑钢板固定[13,18]。在本组的23例螺钉固定的患者中,有3例内固定失败,其中1例骨折不愈合及内固定断裂,2例为骨折块向近端移位,出现内翻畸形愈合。尽管在统计学上失败率与支撑钢板固定组之间未获得显著性差异(P=0.08),但是,固定失败则直接给患者带来灾难性后果,因此,对于旋后-内收型II度内踝骨折,尽量在条件允许时,尽量选择支撑钢板固定,以降低固定失败的风险。
研究指出,涉及内踝的踝关节骨折,术后创伤性关节炎的发生率显著增高(RR=2.5,95%CI:1.5~4.4)[19]。因此,对于旋后-内收型II度踝关节骨折,解剖复位及纠正力线则显得尤为重要;另外,可靠的固定也是获得良好愈后的关键。本组患者有7例(13.2%)出现创伤性关节炎的影像学表现,其中4例无明显临床症状,3例目前采取保守治疗。
综上所述,旋后-内收型2度内踝骨折的由于骨折线与胫骨轴线的夹角较小,单纯螺钉固定强度不足,可能出现内固定失败,而支撑钢板固定此类骨折,可以提供较大的力学强度,患者可早期负重锻炼,临床疗效肯定。
参考文献略



京公网安备11010502051256号