干货!骨肉瘤的诊断和治疗
2018-04-02 文章来源:北京积水潭医院 牛晓辉 徐海荣 黄真 我要说
概述
骨肉瘤(osteosarcoma)是指成骨间叶细胞产生的原发恶性骨或软组织肿瘤。其特征为增殖的肿瘤细胞直接形成骨或骨样组织。骨肉瘤是最常见的骨原发恶性肿瘤,但就肿瘤的整体而言,骨肉瘤仍是不太常见的肿瘤。在人类的恶性肿瘤中,占人类恶性肿瘤的0.2%,占原发骨肿瘤的11.7%1-5。
骨肉瘤好发于青少年,大约75%的患者发病年龄在15-25岁,中位发病年龄为20岁,小于6岁或者大于60岁发病相对罕见。本病男性多于女性,比例约为1.4:1,这种差异在20岁前尤其明显。大约80%-90%的骨肉瘤发生在长管状骨,最常见发病部位是股骨远端和胫骨近端,其次是肱骨近端,这三个部位大约占到所有肢体骨肉瘤的85%6-9。
骨肉瘤的病程短而进展快,可以出现局部跳跃灶。有时,肿瘤甚至可在数日内明显增大膨出。这种迅猛的生长在大多病例中系因肿瘤出血所致。然而,也有缓慢生长的骨肉瘤,有时症状隐匿可达1年以上,这些缓慢的骨肉瘤多以硬化成骨为主。骨肉瘤最常经血行转移至肺,继发性的和终末期的骨肉瘤可转移至骨,而在发生骨转移时,往往已经发生肺部转移。肿瘤除多向肺或骨转移外,转移到内脏的很少。局部区域性淋巴结转移非常罕见。90%的病例为ⅡB期肿瘤,另有5%为ⅡA期肿瘤,5%为Ⅲ期肿瘤。
骨肉瘤的诊断
肿瘤的诊断与治疗是一个多学科的问题,需要多学科协作,骨肉瘤也不例外。目前骨肉瘤的诊断是临床、影像、病理三者相结合,其后续治疗也涉及多个学科,因此多学科协作在骨肉瘤诊治中起重要作用10-15。一般来说,依靠病史、症状、体征、实验室和影像学等临床资料可以得到初步诊断。发生在青少年时期典型部位同时又具有骨肉瘤典型表现的病例,诊断不难。
但并非所有骨肉瘤都有典型表现,如发生在骨干时,放射学表现更像尤文肉瘤;单纯表现为溶骨性的骨肉瘤,则可能被考虑为其他任何溶骨性恶性肿瘤或瘤样病变;以成骨为主的转移癌其放射学表现也类似于骨肉瘤。因此骨肉瘤的诊断原则是临床、影像和病理三结合来确定。
1. 临床表现
在起病初期无典型症状。仅有围绕膝关节的疼痛,呈中等程度并间歇发作,活动后加剧。由于病人多处于青少年时期,健康状况一般良好,且经常参加体育活动,疼痛常被归咎于创伤,或被解释为风湿性病变,并行抗风湿治疗。在本病初期很少考虑到有进行放射性检查的必要。
在数周内,疼痛可渐加剧,并持续发作.局部可在早期出现肿胀。肿胀常可迅速地,也可相对缓慢地加重。由于肿瘤本身血供丰富,致局部皮温增高。局部触痛明显。在病变进展更快时,肿瘤附近的关节功能障碍,并呈现软组织浸润发红、水肿及明显的浅表静脉网状怒张现象。少数病例在其疼痛部位出现骨质溶解,当其进展迅猛时,可并发病理骨折,但较少见。少数情况下,当累及骨骺时,关节腔内可有渗出。局部淋巴结并不增大和增多,但在肿瘤进展显著时,这种病例中常可发生淋巴结炎,偶有淋巴结转移所致。
在诊断时,病人的一般情况通常良好。当病人开始出现体重下降和贫血现象时,一般早已出现肺转移或已开始转移。从首发症状到治疗的时间,一般少于6个月。少数病人可达1年以上。
2. 影像学表现
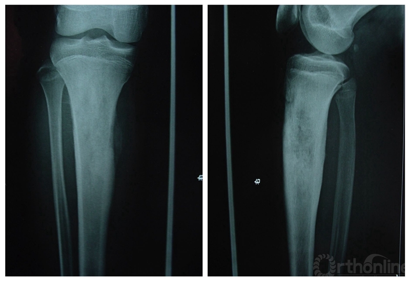
X线表现为侵袭性,破坏性和渗透性病损,能产生骨或骨样组织。侵袭和破坏区的特征为X线透亮,分界不清楚,很快会破坏皮质骨,进入软组织,但较少会跨越骨骺板和骨骺,进入关节腔(图1)。在皮质骨穿透区,可见反应骨的Codman三角,而病损边缘一般无反应骨。病变的其他部位不完全矿化,有不定形的非应力定向的瘤性骨。当新生骨与长骨纵轴呈直角时,呈“日光放射线”状,以前曾被认定是骨肉瘤的独特表现。后发现在其他一些恶性肿瘤也可有此表现,因此,“日光放射线”并不是骨肉瘤的特有表现。

图1.典型的骨肉瘤X线表现
CT扫描可提供更丰富的影像信息。CT用于明确髓内和软组织肿块范围较X线平片敏感,在髓腔内CT值的增高一般提示已有肿瘤的浸润,并能及早发现髓腔内跳跃灶(图2)。CT对骨肉瘤的瘤骨显示优于X线平片和MRI检查,这是由于瘤骨周边部分的骨化弱于中央部分,CT扫描可敏感地分辨较弱成骨的周边部分,MRI常不易区分信号相近的弱成骨区和未成骨区。肺部CT扫描是确认有无肺转移灶的最好方法。

图2. 典型的骨肉瘤CT表现
磁共振(MRI)检查能够很好的显示肿瘤的髓内范围、跳跃灶、软组织肿块范围及是否侵及骨骺或关节,在T1加权像为低信号,在T2加权像的信号较T1时强,但比脂肪、液体信号弱。
放射性核素骨扫描可显示病变的骨代谢的强弱,肿瘤性成骨有很强的摄取核素能力,表现为病范围内的核素浓集,如有其它骨转移灶及跳跃病灶存在,能很清楚地显示。此外,化疗前后全身骨扫描检查的对比分析,可以清楚显示病变在化疗前后的发展和变化。
血管造影能显示出病变内血供的情况及软组织部分边缘的反应性新生血管区,可显示反应区内早期的动脉扩张。血管造影虽不能显示其特异性组织发生,但可以表明其高血运状态。
3. 实验室检查
除血沉可能增快、血清碱性磷酸酶(AKP)和乳酸脱氢酶(LDH)升高以外,其他实验室检查一般正常。大多数病例可以观察到AKP的升高,且与肿瘤细胞的成骨活动有关,但是肿瘤组织中AKP水平和血浆中AKP水平没有确切的数量关系。较AKP的诊断价值更为重要的是该指标对于预后的意义,如果手术完整的切除了肿瘤,AKP可以下降至正常水平;如果术后该指标没有下降到正常水平,或仍处于较高水平则多提示存在肿瘤转移或肿瘤有残留。
4. 病理学表现
显微镜下骨肉瘤往往含有多形性的基质成分,含有明显异型性的瘤细胞,瘤细胞大小不一,可出现单核或多核瘤巨细胞,核深染,染色质呈粗颗粒状或凝快状,部分细胞可见粗大核仁,并常见核分裂现象。肿瘤性骨质,多为骨样组织或不规则的网状骨质,不形成板层骨,当骨样组织(类骨)形成的早期,瘤细胞周围出现同质性淡红染物质,呈飘带状或网状结构,有时与透明变性的胶原纤维难以区别,但根据其特殊结构,其周围无明显纤维化,而其内见异型性瘤细胞等有助于鉴别。有的病例明显见到新生骨肿瘤组织,大量长入残存的正常骨小梁(可见板层结构)之间,这是肿瘤侵入骨质的明显表现。
5. 分期
目前临床上使用最为广泛的分期系统是Enneking提出的外科分期系统16,此分期系统与肿瘤的预后有很好的相关性,后被美国骨骼肌肉系统肿瘤协会(Musculoskeletal Tumor Society,MSTS) 及国际保肢协会采纳,又称MSTS外科分期。此系统根据肿瘤的组织学级别 (G,低度恶性:Ⅰ期;高度恶性:Ⅱ期)和局部累及范围 (T,A:间室内;B:间室外) 对局限性恶性骨肿瘤进行分期,肿瘤的间室状态取决于肿瘤是否突破骨皮质,出现远隔转移(M)的患者为Ⅲ期。
骨肉瘤的治疗
目前对于骨肉瘤的治疗是以手术治疗和化疗为主的综合治疗。20世纪80年代以前,主要采用以截肢为主的单纯手术治疗,患者5年生存率约10-20%,采用手术与化疗相结合的方案治疗的患者5年生存率达到60-70%,有一些骨肉瘤治疗中心报道5生存率可达到80%以上。
1. 化疗
骨肉瘤患者化疗已从辅助化疗(即放疗后或手术切除原发肿瘤后给予化疗)发展为新辅助化疗(即术前化疗-手术-术后化疗)。活检后即进行化疗会对可能存在的微小转移进行第一时间杀灭,并可以使原发病灶范围缩小,有助于肿瘤的局部控制。新辅助化疗还可以根据术前化疗过程中原发病灶的反映情况和肿瘤坏死率衡量化疗效果,及时调整术后化疗的方案。
根据目前研究结果,新辅助化疗并不能在辅助化疗的基础上进一步提高生存率,但随着新辅助化疗的开展,手术保肢率和肢体功能均有所提高,而患者的总生存率却没有降低。因此从骨科学方面,新辅助化疗可以有效降低保肢手术复发的风险;从肿瘤学方面,新辅助化疗可以提供肿瘤坏死率信息,进而期望提高术后化疗有效率。
目前认为有效且最常用的化疗药物包括顺铂(Cisplatinum,CDP),甲氨蝶呤(Methotrexate,MTX),异环磷酰胺(Ifosfamide,IFO),阿霉素(Adriamycin,ADM)。肿瘤具有耐药性,单一用药会促进耐药细胞的生长,为对抗这种耐药性,通常采用几种药物联合应用。
不同中心采用不同的化疗方案进行联合化疗,其有效的化疗方案通常是由上述几种药组成,一般疗程在6-12个月。具体哪种方案更具有优越性还没有定论。化疗中提高甲氨蝶呤剂量强度可以提高患者5年无瘤生存率,但大剂量甲氨蝶呤有潜在的毒副作用,要求在拟定化疗方案的时候一定要谨慎的制定个体化的方案。增加其他药物的剂量强度不能改善预后。
化疗效果的评估包括临床表现,如患者疼痛缓解、肿瘤体积缩小、水肿消退、邻近关节活动度增加等。影像学评价包括平片、CT、MRI等,其中MRI对于评价肿瘤化疗后反应及确定肿瘤的安全外科边界有更大帮助。肿瘤坏死率是一种组织学的化疗效果评估方式,它根据肿瘤标本进行肿瘤坏死细胞计数,目前最具有代表性的是1991年Huvos提出的分级系统。但目前一般认为,在临床研究中肿瘤坏死率增加可以提示患者从化疗中受益,但坏死率本身不能作为患者预后的指标。
2. 手术治疗
手术是治疗骨肉瘤的主要手段。手术治疗的目的是安全切除肿瘤并且尽可能的保留功能。对于骨肉瘤患者,局部复发必定增加转移的危险性,所以治疗方案的选择必须首先考虑局部复发的危险性。为达到手术范围的安全,手术边界应达到Enneking定义的广泛切除,包括肿瘤组织的全部切除(应包括穿刺活检道)以及其周围的一定范围的未被侵及的正常组织,切除边界不足会导致局部复发率增高。
20世纪80后新辅助化疗使骨肉瘤患者保肢治疗成为可能,许多单中心的研究显示,进行了广泛的切除和新辅助化疗,保肢和截肢的长期生存率没有显著差别。因此,除非医师不能进行广泛切除,或是肿瘤部位特殊,或是患者有不稳定的病理骨折,绝大多数的骨肉瘤患者都有进行保肢手术的适应症。
目前,约80%-90% 的肢体骨肉瘤患者可以行保肢手术。正确选择适于保肢的患者非常重要。首先所选取的手术方式不能有损于彻底去除肿瘤这一目标,其次术保肢手术后肢体功能应优于义肢。先进的影像学诊断及外科技术的进步也为保肢治疗提供了客观条件。术前需要根据X线平片、CT、MRI和ECT等影像学材料术前进行评估,设计肿瘤切除所需要的外科边界,即所要切除的正常软组织范围及截骨长度。
肿瘤切除后大块骨缺损的功能重建方式多种多样,其中包括:各种常规类型及特制人工假体置换术、自体骨移植术、关节融合术,同种异体骨及关节移植术、可延性人工假体植入术、人工关节-异体骨复合物植入术、临时假体(尼龙或骨水泥)植入固定术、受侵骨灭活再植术、膝关节附近肿瘤的旋转成形术及肩部肿瘤的Tikhoff-linberg手术。
保肢手术的短期并发症主要是软组织的问题,而长期并发症主要是骨骼系统重建的失败。保肢手术的近期并发症比截肢要高,并发症根据部位和重建方法的不同而不同。常见的有皮瓣坏死、急性动脉血栓形成或者动脉裂伤、静脉血栓形成或者肺栓塞、神经损伤或切除,有些并发症可能需要再次手术处理或者导致截肢。
保肢手术也会有远期并发症,这包括假体的压力性疼痛,肢体的幻觉以及儿童的骨过度生长等。保肢手术的长期并发症跟手术部位以及重建方法有关(比如异体骨关节重建、异体骨干重建、使用异体或是自体骨进行关节融合、单独使用假体、异体骨与假体的复合物)。随着肿瘤切除后关节重建的增多,很有可能部分重建的关节需要进行翻修或是截肢。
3. 转移和复发骨肉瘤
转移和复发是骨肉瘤治疗失败的主要原因。对于转移性骨肉瘤的治疗与原发骨肉瘤相似,但还要求尽量手术切除所有的转移灶。肺是最常见的转移部位,肺转移的治疗通常需要开胸探查肺部。肺CT常会低估肺内转移灶的数量,并且在发现一侧的肺内转移的同时可能会忽略对侧肺内的转移灶。因此推荐进行双侧的开胸探查和肺触诊。有30%的转移性骨肉瘤患者接受较为全面的手术治疗可以长期存活。
转移性骨肉瘤的预后一般很差。手术应尽可能的切除所有转移灶,否则会对患者造成致命的影响,二次手术完全切除病灶的患者中有超过三分之一能存活超过5年。二线化疗药物对于复发性骨肉瘤的治疗作用相比手术来说并不明确,目前尚没有被广泛接受的标准治疗方案。
4. 随访
目前常用的随访方案一般是:术后前两年内,每3月复查一次;术后两年到五年,每6个月复查一次;术后五年后,每12个月复查一次。随访内容包括病史、体格检查、原发部位X线片、原发部位B超、胸部CT、全身骨扫描等。对于肺转移患者,在治疗期间每月行肺CT检查,对于缓解期患者每2月行肺CT检查。其他检查还包括治疗可能导致心、肾、听力、关节损害和其他晚期副作用如继发的恶性肿瘤等的检查。



京公网安备11010502051256号