“糖果包裹”钢丝布线捆扎技术
2017-08-29 作者:翻译分享:洛阳正骨 范克杰 我要说

韩国济州国立大学Dr.Gyeong Min Kim等人在《Wiring technique for lesser trochanter fixation in proximal IM nailing of unstable intertrochanteric fractures:A modified candy-package wiring technique》一文中介绍了一种新的外科手术技术,即采用改良的“糖果包裹”钢丝捆扎布线技术固定小转子骨折块,并在此基础上,确定在不稳定转子间骨折患者中获得的临床和放射治疗结果。
作者采用回顾性研究方法,选取所在机构自2014年1月至2015年6月之间接受股骨近端髓内钉及微创“糖果包裹”钢丝捆扎技术的不稳定转子间骨折患者,共纳入符合标准的22名患者,该组患者平均年龄为75.8岁(范围53-88岁),平均随访期为15.1个月(范围12-24月)。每位患者随访至少12个月,并对其临床和放射结果进行分析。
病例纳入标准:(1)合并小转子骨折的不稳定转子间骨折;(2)采用股骨近端髓内钉手术和钢丝捆扎技术;(3)小转子完全骨折,伴有5mm以上的移位,且折块足够大,以适合该项钢丝捆扎技术。
排除标准:有同侧髋关节或股骨近端手术史的患者、病理性骨折、小转子周围既往有钢丝捆扎手术史的患者。
手法方法:病人采用仰卧位,C臂机透视下,借助骨科牵引床辅助复位,在股骨大转子部取一长约5-6cm纵形切口,分离小转子周围软组织,以便于实施钢丝捆扎术,先手法整复骨折,对位、对线满意后,在霍夫曼拉钩维持复位下,用特制送线器在股骨小转子近端及远端各穿入一根钢丝,并借助持针器把远近端两根钢丝类似“糖果包裹”样缠绕在一起,并顺势复位小转子骨折块,满意后,实施股骨近端髓内钉植入技术,并把两股钢丝缠绕于股骨颈抗旋螺钉的上端。

Fig.1.candy-package wiring technique.Reduction of the fragment achieved using ring placed between the lesser trochanter fragment and the psoas muscle.

Fig.2.The Jensen modification of Evans classification.(A)type1-two part.Undisplaced,(B)type2-two part.displaced,(C)type3-three part.loss of posterolateral support,(D)type4-three part.loss of medial support and,(E)type5-four part.

Fig.3.Minimally invasive applicationg of cerclage wires(Cerclage Passer.Synthes,Oberdorf,Switzerland).(A)Dividable forcep-clamped(B)Dividable forcep-opened.

Fig.5.Make a anterior knot of candy-package ring.(A)Place two wires using a passer.(B)Twist two wires anteriorly.Then pull the wires inferioely.

Fig.6.Make a posterior knot of candy-package ring.Thereafter,reduction of lesser trochanter fragment using candy-package ring.(A)AP and(B)translateral image of C-arm intensifier.

Fig.7.Complete a candy-package wiring after IM nail fixation of fracture site.(A)IM nail fixaction and(B)fastening of candy-package ring under C-arm intensifier.

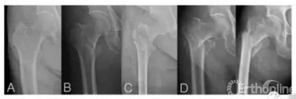
结果:骨折愈合所需的平均时间为16.6周(范围:8-25周),经随访,该组病例骨折均达骨折愈合标准。WOMAC评分在最后一次随访中平均为45.4(范围:21-75),与伤前的状态(平均36.5,范围:19-59)没有显著差异(p=0.087)。与创伤前的行走能力相比,有4例病例中(18.2%)疗效差,有18例(81.8%)得到恢复。2例病人出现术后钢丝断裂,1例病人出现髋关节异位骨化,术后影像学资料显示复位良好,没有螺钉切割、断裂及螺钉的松动退出并发症发生。
结论:采用股骨近端髓内钉及改良“糖果包裹”钢丝捆扎技术治疗不稳定转子间骨折合并小转子骨折,经过改进后的“糖果包裹”钢丝布线技术,提高了骨折部位的固定力量,通过这一技术,不但完美复位了小转子骨折的移位,也提高了该部位骨折的愈合率。

candy package 技术示意图



京公网安备11010502051256号