经典病例丨骨肿瘤疑难病例讨论(一)
2017-07-20 作者:徐海荣(骨科在线骨肿瘤专业副主编) 牛晓辉 我要说
病例一
病史
男性,17岁,入院前1天前摔伤左上臂,即出现疼痛、活动受限。
入院查体
左上臂上段略肿胀,压痛明显,可及异常活动,未触及肿块,局部皮色及皮温正常,未见破溃及静脉曲张,左肩关节因疼痛活动受限。
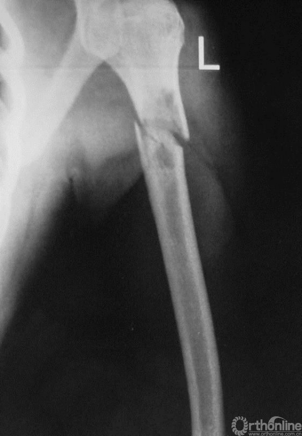
影像学检查

图13-1 病例一伤后X线平片正位

图13-2 病例一伤后CT轴位骨窗
病例二
病史
男性,22岁,入院前1天摔伤右上臂,即出现疼痛、肿胀、活动受限。
入院查体
右上臂上段略肿胀,压痛明显,可及异常活动,未触及肿块,局部皮色及皮温正常,未见破溃及静脉曲张。右肩关节因疼痛活动受限。
影像学检查

图13-3 病例二伤后X线平片正位

图13-4 病例二伤后CT轴位骨窗
讨论点(第一阶段)
一、诊断如何确定
二、进一步的诊疗策略
讨论精要(第一阶段)
一、诊断
1.上述两病例,相同点:发病年龄均为青年,部位均位于肱骨干上端,均有外伤病史,影像学提示均为溶骨性病变合并病理性骨折。
2.不同点:对比分析两病例影像学表现可见:
病例一:X线平片见病变内基质不均匀呈虫噬样破坏,边界不清楚,皮质骨受侵破坏。提示疾病具有一定的侵袭性表现。
病例二:X线平片见病变有膨胀性表现,病变内基质均匀,可见皮质骨折片,边界较清楚,除骨折导致的皮质骨连续性中断,未见皮质骨溶骨性破坏。提示疾病没有侵袭性表现。
二、诊疗策略
1.仅凭目前临床及影像学检查,不能作出明确诊断,应行局部组织学检查来辅助确定诊断,应待病理诊断明确后再确定具体治疗方案。
2.术前进行病理活检是非常重要的,可以减少对病人的错误治疗。同时穿刺活检又是创伤很小的诊断手段,对最终的手术的切除范围影响很小。不做活检直接手术,会出现不适宜甚至是错误的治疗。
第一次诊疗情况
病例一
于当地医院未行病理学检查,直接手术行“病灶刮除、钢板内固定术”。

图13-5 病例一术后X线平片正侧位
术后病理报告示“倾向于侵袭性骨母细胞瘤”。
患者术后4个月发现原手术切口出现包块。
病例二
于我院行穿刺活检,病理结果为:大片出血、坏死的胶原、脂肪及死骨,另见少量囊壁样纤维组织,炎性渗出及萎缩的横纹肌,未见恶性成分,诊断为骨囊肿。
手术行病灶刮除、异体骨及人工骨植骨、钢板内固定术。

图13-6 病例二术后X线平片正侧位
术后病理示骨囊肿。

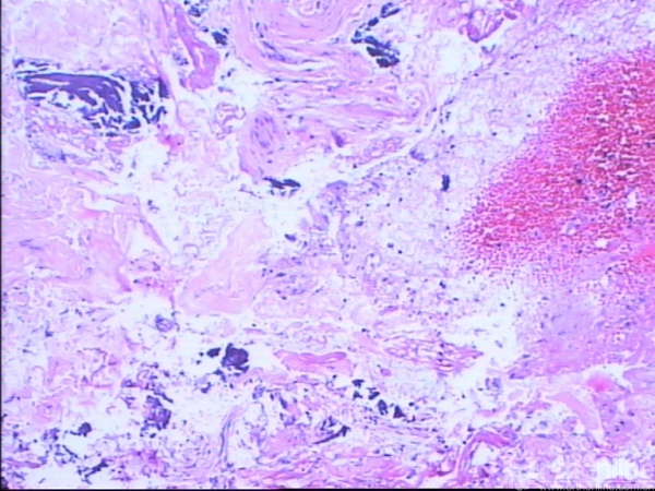
图13-7 病例二术后大体病理镜下表现
讨论点(第二阶段)
一、诊断如何确定
二、进一步的治疗策略
讨论精要(第二阶段)
一、诊断
1.病例一:外院术后病理报告示“侵袭性骨母细胞瘤”,且患者术后4个月肿瘤复发,肿瘤性质未明确,应考虑恶性肿瘤的可能性。
2.病例二:我院术后病理与穿刺活检病理符合,诊断骨囊肿成立。
二、治疗策略
1.病例一:应明确组织学诊断,可考虑进行组织学病理的会诊,若仍不明确则应再次进行组织学检查。
2.没有明确诊断前的外科治疗是不可取的。
3.病例一:仍然应该进行细致的影像学检查如局部加强CT、MRI及全身骨扫描来判断肿瘤侵及范围以及患者全身情况。
第二次诊疗情况
病例一
体格检查(入院时)
左上臂可见手术疤痕,其下可触及肿物,质硬,边界不清,无活动度,有压痛,局部皮温稍高。左肩关节及肘关节活动不受限。
影像学检查(入院时)

图13-8 病例一入院时X线平片正侧位(第一次术后6个月)

图13-9 病例一入院时CT轴位骨窗、软组织增强窗(第一次术后6个月)

图13-10 病例一入院时99mTc全身骨扫描(第一次术后6个月)
会诊病理
明显异型性及间变的肿瘤组织,诊断考虑为骨肉瘤。
手术
术前未行化疗,手术行“左肱骨上段瘤段截除、异体骨置换、钢板内固定术”。肱骨上端肿瘤切除后骨缺损的重建有多种方法,肱骨上段骨缺损重建因肩关节结构的特殊性,依肿瘤学的要求行肿瘤外科学的广泛切除,导致肩袖软组织缺损,术后肩关节稳定性差,常常出现肱骨头向前上方脱位。肱骨异体骨大段移植,可以将自体软组织、残留的关节囊组织缝合至异体骨,术后制动软组织粘连于异体骨,有利于肩关节稳定和部分肩外展功能的恢复。

图13-11 病例一第二次术后X线平片正位
术后病理
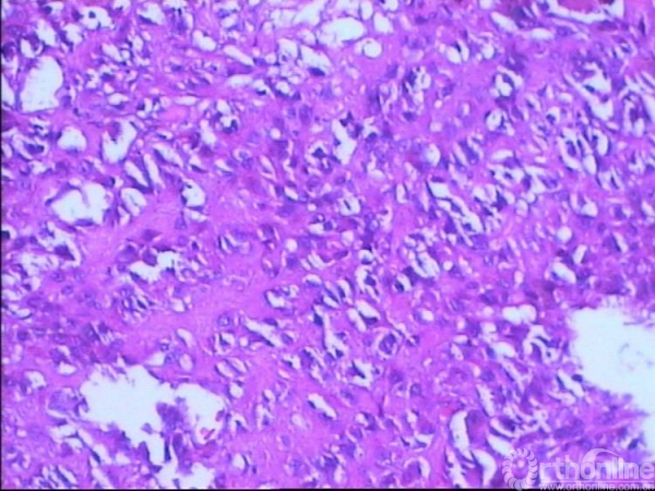
高度间变的多角形细胞间骨样组织,片状坏死,符合普通型骨肉瘤。

图13-12 病例一第二次手术术后大体标本冠状剖面表现

图13-13 病例一第二次手术术后大体病理镜下表现
术后治疗方案
诊断骨肉瘤明确,术后应用大剂量甲氨蝶呤、阿霉素、顺铂及异环磷酰胺化疗。密切随访局部B超、X片、胸部CT及全身骨扫描。

图13-14 病例一第二次术后4个月X线平片正侧位(第一次术后10个月)
病例二
诊断骨囊肿明确,定期门诊复查。

图13-15 病例二术后17个月X线平片正侧位
★共识
1.发生病理性骨折首先应该明确病变性质,患者可采取临时石膏固定,不应该在诊断不明的情况下直接行切开复位内固定手术治疗。
2.先明确诊断,后确定治疗方案,是骨与软组织肿瘤诊治的基本原则。恶性肿瘤在诊断不明的情况下进行手术,破坏了肿瘤原有的边界,手术不能达到正确的广泛切除的外科边界,最终的结果会导致肿瘤复发及转移的风险增加。
3.骨与软组织肿瘤的正确诊断,必须遵循临床、影像学和病理三结合的原则。
4.活检术是获取病理诊断的主要方法,不但能够早期明确诊断,同时也能为治疗方案提供可靠的依据, 术前组织学的检查结论是术前治疗(包括化疗)方案及手术方案的重要依据。随着恶性骨肿瘤的保肢治疗及新辅助化疗的普及,活检已成为骨与软组织肿瘤诊断与治疗的重要组成部分。经皮芯针穿刺活检对于诊断骨骼肌肉系统肿瘤是非常有效且安全的,已经广泛地应用于包括骨与肌肉肿瘤在内的多种肿瘤的临床诊断中。一般认为,穿刺活检因其软组织损伤范围小,而切开活检软组织损伤范围大,因此临床中通常首先采取穿刺活检的方法。
★误区
1.不区分或不会区分病理性骨折和创伤性骨折。
2.怀疑病理性骨折,不进行组织学检查,而盲目进行外科治疗。



京公网安备11010502051256号