MIS-TLIF在治疗胸腰椎退行性病变中的应用
2017-01-23 作者:南方医科大学第三附属医院 吕海 我要说
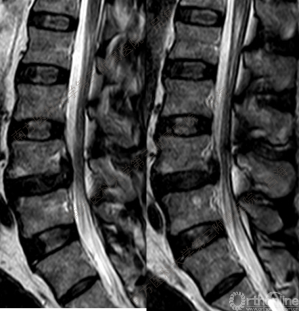
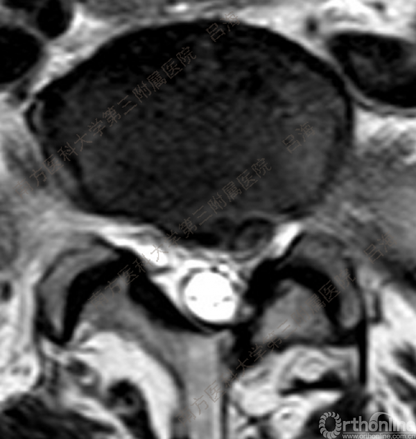
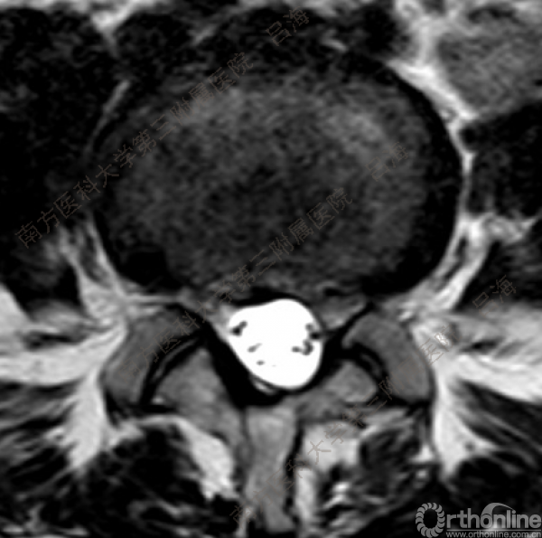
随着社会老龄化进程加快,胸腰椎退行性病变的治疗已经成为脊柱学术界的一个热点话题。MIS-TLIF手术可以治疗多种不同的胸腰椎退行性疾病,南方医科大学第三附属医院吕海教授结合病例为我们一一展示了该术式在治疗不同胸腰椎疾病时的具体手术过程。















































































2017-01-23 作者:南方医科大学第三附属医院 吕海 我要说
随着社会老龄化进程加快,胸腰椎退行性病变的治疗已经成为脊柱学术界的一个热点话题。MIS-TLIF手术可以治疗多种不同的胸腰椎退行性疾病,南方医科大学第三附属医院吕海教授结合病例为我们一一展示了该术式在治疗不同胸腰椎疾病时的具体手术过程。















































































骨科在线 北京经纬在线网络科技有限公司
京ICP备15001394号-2
京公网安备11010502051256号
地址:北京市朝阳区朝阳门北大街乙12号1号楼8层08公寓H
联系电话:010-85615836
Email:orth@orthonline.com.cn