3D打印"关节"精准辅助复杂全膝关节置换,让她的生活“复位”
2016-07-20 文章来源:天津医科大学总医院 我要说
日前,天津医大总医院骨外科完成首例3D打印技术辅助下复杂人工全膝关节置换手术。这标志着天津医大总医院骨关节外科团队填补医院相关领域技术空白,并且引领国内关节置换领域的先进水平。
她,
终末期类风湿性关节炎;
罹患类风湿性关节炎多年;
没有正规治疗病情迅速发展;
全身多关节受累;
关节畸形、丧失功能和生活能力;
病情仍在急剧恶化......
患者辗转山东,河北,天津多处医院求医未果。2015年,天津医大总医院风湿免疫科接诊后,经过有效治疗,短期内病情相对平稳后,患者重燃了生活的希望,转而求助于天津医大总医院骨外科,希望能够通过手术帮助其改善主要关节的畸形、疼痛和功能障碍问题。
天津医大总医院骨关节外科团队收治该患者后,发现其左膝关节破坏程度非常罕见--严重外翻畸形,关节极度不稳定,骨缺损和骨质疏松也非常严重,同时患者常年服用激素,手术风险和治疗难度非常巨大,关节外科专业团队精心准备,术前积极组织风湿免疫科、放射科、麻醉科等多科室会诊(MDT)论证评估手术风险。

个体化、精细化术前准备

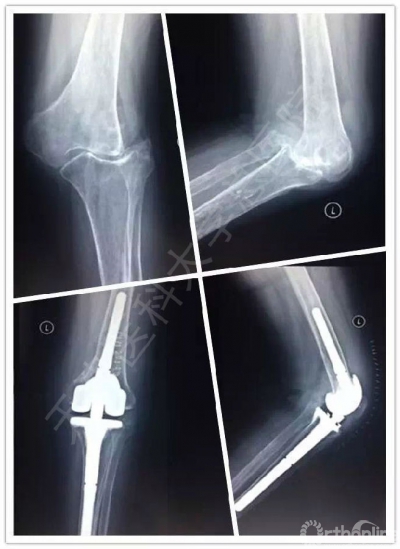
术前、术后关节X线对比
据骨外科李晖主任医师介绍:针对患者的严重关节畸形,天津医大总医院骨外科联合天津市骨研所应用患者CT数据利用3D打印技术,在术前1:1精确构建了患者膝关节的实体模型,并依此几经推敲制定患者的最适手术方案,在手术前应用Workshop模拟演练手术全程以完备细节。

由于患者自身病情的特殊性和手术的复杂性,手术需要准备的相关外加手术器械多达数百件,还有部分特殊器械需要从千里之外临时调运,医院消毒供应中心临时加派人手,连夜加班赶在手术开台前完成了器械洗消,保证了手术顺利实施。

术前Workshop演示手术,完备细节
李女士手术顺利,术后病情逐步平稳,伤口愈合良好,肢体外观及功能彻底改善。出院时李女士乐观的表示,本次手术不仅治愈了肢体上的顽疾,也建立了她今后回归快乐生活的信心。

术前、术后关节侧位对比,术后关节屈曲畸形完全纠正,屈伸活动良好

左图:术前关节正位图,严重外翻畸形且屈伸活动受限
右图:术后关节正位图,关节畸形完全纠正且屈伸活动恢复正常

天津医大总医院骨关节外科团队:冯世庆(科主任)、郑永发、杨风顺、侯波、刘涛、李晖等专家



京公网安备11010502051256号