肘前侧神经血管间隙入路治疗尺骨冠状突骨折
2016-06-20 文章来源:《中国修复重建外科杂志》 作者:承德医学院附属医院骨外二科 河北医科大学第三医院创伤急救中心 杨小华 陈伟等 我要说
导语:
尺骨冠状突是维持肘关节稳定的重要结构,冠状突骨折常合并肘关节脱位、韧带损伤,若处理不当,会造成肘关节严重功能障碍 。手术复位并固定骨折、修复损伤韧带是临床常用治疗方法,为肘关节功能恢复提供了必要条件。目前,尺骨冠状突骨折手术入路包括内侧及外侧入路 。其中,外侧入路显露尺骨冠状突困难,剥离范围大,仅适用于合并桡骨头切除患者,若无需切除桡骨头,不宜选择外侧入路。内侧入路常需游离尺神经,易产生神经症状,剥离范围广泛,有时甚至需行内上髁截骨,暴露及操作困难,前、后位垂直骨折线固定困难。
为解决以上问题,作者采用了肘前侧神经血管间隙入路对尺骨冠状突骨折行切开复位内固定术。
治疗经过
患者于臂丛神经阻滞麻醉下取平卧位,从上臂远端内侧肘横纹近端 2 cm 开始,沿肘横纹向外侧至前臂近端外侧肘横纹远端 4 cm 处作 S 形切口,采用肘前侧神经血管间隙入路对 8 例尺骨冠状突骨折行切开复位内固定术(见图 )。直视下解剖复位骨折,采用空心钉固定 4 例,微型钛板固定 3 例,锚钉缝合固定 1 例。其中 1 例合并关节不稳定,另作切口行侧副韧带修复,同时行铰链式外固定架固定。
手术注意事项:
虽然术中神经、血管等重要结构清楚暴露,但术中也应注意轻柔操作;
术者应熟悉肘关节其他入路,有需要时可选择联合入路;
切口不应横跨肘横纹,以免瘢痕挛缩影响肘关节活动。


图 1肘前侧神经血管间隙入路示意图
a .肘关节前侧作 S 形切口
b.切开皮下组织显露肱二头肌(黑箭头)及腱膜(红箭头)、前臂外侧皮
神经(蓝箭头)
c.横行切开肱二头肌腱膜,可见肱二头肌(黑箭头)、部分旋前圆肌(红箭头)、肱动脉(蓝箭头)及正中神经(紫箭头)
d.从血管神经间隙进入,肱动脉(蓝箭头)及肱二头肌牵向外侧,正中神经(紫箭头)及旋前圆肌牵向内侧,暴露并纵行劈开肱肌后牵开
e.显露尺骨冠状突骨折块(黑箭头)






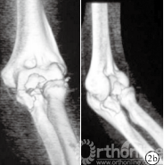
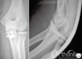
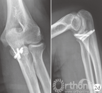
图 2 患者,男,23 岁,左侧尺骨冠状突骨折(Ⅱ型)
a.术前肘关节正侧位 X 线片
b.术前肘关节 CT 三维重建
c.术后2天肘关节正侧位 X 线片
d.术后1年肘关节正侧位 X 线片
e.术后 1 年前臂旋转功能
f.术后1年肘关节屈伸功能
结果
本组应用肘前侧神经血管间隙入路手术治疗尺骨冠状突骨折,术后切口均Ⅰ期愈合,虽然暴露了肘前重要神经血管结构,但无 1 例发生血管、神经损伤以及深部感染等并发症。患者均获随访,随访时间6-48个月,平均22个月。X 线片复查示患者骨折均愈合,愈合时间 8-15 周,平均12.6周。
应用肘前侧神经血管间隙入路治疗尺骨冠状突骨折有其独特优点,包括解剖层次简单,暴露清楚,有效避免神经、血管损伤,易于掌握应用,术中无需过多剥离组织,避免损伤肘关节正常解剖结构,降低了异位骨化形成风险,并且手术视野广泛清楚,可直视下复位、操作简便,能对骨折块垂直加压,固定坚强可靠,能够早期进行功能锻炼,易于康复。但手术切口较长是其不足之处。
该入路适应证广泛,不仅适用于单纯尺骨冠状突骨折,还可很好显露肱骨冠状窝、肱骨滑车,尤其适用于肱骨远端内侧冠状剪切骨折,以及联合其他入路治疗恐怖三联征、关节挛缩前侧关节囊的松解。
全文刊登于《中国修复重建外科杂志》2016年5月第30卷第5期
原文链接http://www.cnki.net/kcms/detail/51.1372.R.20160504.1117.006.html



京公网安备11010502051256号