文献+病例全面解读:股骨转子下骨折,髓内、髓外如何抉择?
2016-04-26 文章来源:郑龙坡 上海市第十人民医院 我要说
股骨转子下骨折

定义:
自股骨小转子至股骨干中段与近端交界处即骨髓腔最狭窄处之间部位的骨折;
发生率约占髋部骨折的10%—34%。
疑惑一

疑惑二

如何抉择?

影响骨折复位及固定稳定性因素
三个主要因素:
骨折粉碎程;度骨折部位;骨折的类型

生物力学特点
轴向负荷;内侧承受压力;外侧承受张力;压力大于张力

一髓外固定系统之间的选择



前瞻性临床研究:
应用DHS髓外桥接治疗Winquist1、2型粗隆下骨折效果满意,3型需要较长的外侧支撑钢板,Zickle钉、Russell-Taylor重建钉以及长的Gamma钉不建议用于存在胸腹联合伤患者以免增加并发症。
Chang Gung Med J. 2002Dec;25(12):803-10.
Bridge-plating osteosynthesisof 20 comminuted subtrochantericfractures with dynamic hip screw.
LeePC, Yu SW, Hsieh PH, Su JY, Chen YJ.


A 角钢板抗扭转能力最强,
B 普通锁定钢板轴向应力最差,
C 带斜行支撑钉的循环加载抗变形能力最强
J Orthop Trauma. Volume 23, Number 9, October2009:
A Biomechanical Comparison of Locked Plate Fixation With PercutaneousInsertion Capability Versus the Angled Blade Plate ina Subtrochanteric Fracture Gap Model.
Brett D. Crist, MD, Afshin Khalafi, MD, Scott J. Hazelwood, PhD, and MarkA. Lee, MD.

Biomed EngOnline. 2012 Apr 30;11:23. doi:10.1186/1475-925X-11-23.
Prospects of implant with locking platein fixation of subtrochanteric fracture:experimental demonstration of its potential benefits on synthetic femur modelwith supportive hierarchical nonlinear hyperelastic finite elementanalysis.
LatifiMH, GanthelK, RukmanikanthanS, MansorA, KamarulT, Bilgen M.


A 锁定钢板(LP)承受的应力比角钢板(ABP)和动力加压钢板(DHS)更均匀。
B LP较ABP和DHS具有更好的抗疲劳性。
Maximum (left column) and minimum (right column) principal stress distributions in femoral heads which were implanted with ABP, DCSP and LP as viewed from the coronal midline.
Thevon Misesstress distributions in ABP, DCSP and LP. Arrows point to the spatiallocation of the highest amount of von-Misesstres.
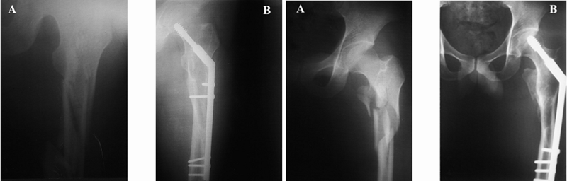
肖XX,男,35岁

术后

术后1年

二髓内系统的选择
单纯的髓内钉固定往往存在缺陷,而根据个体化原则采取髓内髓外固定方式的结合才是科学的选择。

Arch Orthop Trauma Surg (2014) 134:1227–1235.DOI10.1007/s00402-014-2023-7.
Percutaneous cerclage wiring followed by intramedullary nailing for subtrochanteric femoral fractures: a technical notewith clinical results.
Joon‑WooKim · Ki‑Chul Park · Jong‑KeonOh · Chang‑WugOh · Yong‑Cheol Yoon · Hyo‑Won Chang.

Int Orthop. 2011Aug;35(8):1237-43. doi:10.1007/s00264-010-1204-4. Epub2011 Jan 22.
The benefit of wire cerclagestabilisationof the medial hinge in intramedullary nailing for the treatment of subtrochantericfemoralfractures: a biomechanical study.
Müller T, ToppT, KühneCA, GebhartG, RuchholtzS, ZettlR.


生物力学研究表明:髓内钉+适当的环扎带能够降低复位后的骨折再次移位、骨不连和内固定失败的几率。
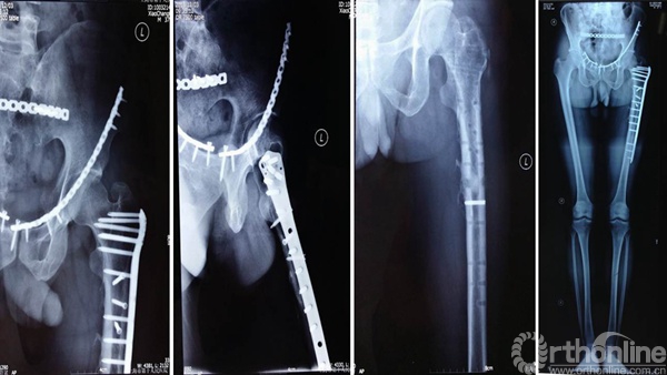
邓XX,男,56岁

术后8周

三髓内、髓外系统之间的选择

1991年-1999年对58例患者进行非随机前瞻性研究:
• 43例用Gamma钉,15例用DHS
• Seinsheimer IIC、 IIIA、V型骨折最常见,预后无统计学差别
• IIIA型选择Gamma钉会好一些
Int Orthop. 2007Feb;31(1):65-70. Epub 2006Apr 22.
Treatment of subtrochanteric fractures.A comparison of the Gamma nail and the dynamic hip screw: short-term outcome in58 patients.
SaarenpääI, HeikkinenT, JalovaaraP.



J Med Life. 2011 Nov 14;4(4):324-9. Epub2011 Nov 24.
Intramedullary osteosynthesisversus plate osteosynthesisin subtrochanteric fractures.
BurneiC, PopescuG, BarbuD, Capraru F.





结论:
1.进针点错误导致髋内翻和固定失败;
2.辅助捆绑带或阻挡钉能增加骨折稳定性促进愈合;
3.骨折近端头颈的不稳导致髓内钉固定的失败;
4.正确的进针点和足够的髓内钉长度,即使不能达到解剖复位,也能收到满意的愈合结果;
5.内侧粉碎和钢板远端螺钉数量不足是失败原因之一;
6.长阶段劈裂骨折非解剖复位反而增加骨痂量收到满意效果。

倒打LISS组骨愈合和患者承重时间延长,PFNA创伤小、出血少、功能锻炼佳,主张用髓内系统。
EurJ Orthop Surg Traumatol (2015) 25:889–894.DOI10.1007/s00590-015-1629-y.
Nailing or plating for subtrochanteric femoral fractures: a non-randomizedcomparative study.
AhmetImerci•Um utCanbek• Vas fi Karatosun•LeventKarapınar•MuratYes¸il.

股骨侧方钢板螺钉重建有很高的失败率,主张髓内固定IMN+适当的阻挡钉技术,可以增加髓内钉的稳定性,防止切割。
J Orthop Trauma Volume 29, Number 4 Supplement,April 2015.
Reducing Subtrochanteric Femur Fractures: Tips and Tricks,Do’sand Don’ts.
Richard S. Yoon, MD, Derek J. Donegan,MD, and Frank A. Liporace, MD.

进针点和力线很难把握,即使应用很巧妙的复位技术获得了术后很好的力线,避免了髋内翻,但如此大块的骨块劈裂游离不处理,会存在退钉和骨不连或者髓内钉断裂的风险。
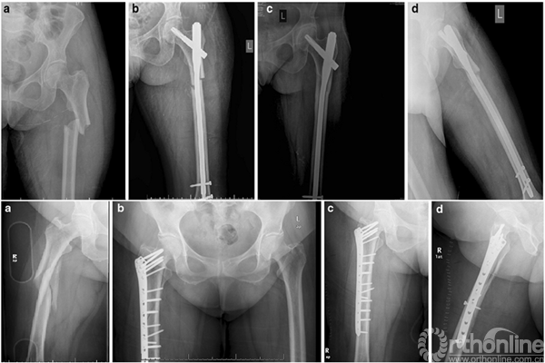
钱XX,女,43岁

术后



AO治疗的原则与BO理论:

内固定选择的总结:

专家简介:

郑龙坡,副主任医师、副教授,同济大学附属第十人民医院创伤骨科副主任。任中国医药教育协会骨科专业委员会第一届委员,中国医疗保健国际交流促进会骨科分会创伤骨科学组第二届委员,国际矫形与创伤外科学会(SICOT)中国部创伤骨科学会、肩肘外科学会第一届委员,上海市医学会骨科专科分会第九届委员会创伤学组委员,上海医师协会骨科医师分会第一届委员会创伤工作组委员等。《中国矫形外科杂志》第五届编委会通讯编委、《第二军医大学学报》审稿专家、《中国临床医学杂志》审稿专家。
擅长复杂骨盆、髋臼及四肢骨折的微创治疗;复杂人工髋、膝、肩、肘等人工关节置换;骨盆及四肢肿瘤的切除与功能重建,国内最先开展了射频消融治疗骨肿瘤的基础研究及临床应用。



京公网安备11010502051256号