四肢关节MRI解剖图片
2016-04-14 文章来源:影像园 我要说
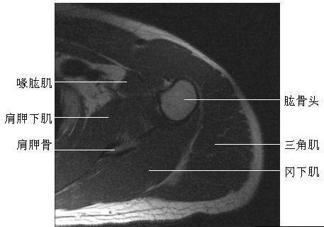
肩关节横断面(一)

肩关节横断面(二)

肩关节横断面(三)

肩关节横断面(四)

肩关节横断面(五)

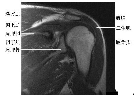
肩关节冠状面(一)

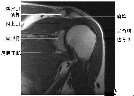
肩关节冠状面(二)

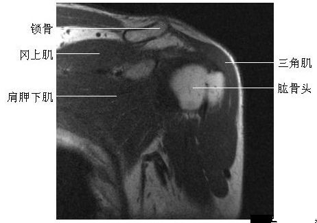
肩关节冠状面(三)

肩关节冠状面(四)

肩关节冠状面(五)

肩关节冠状面(六)

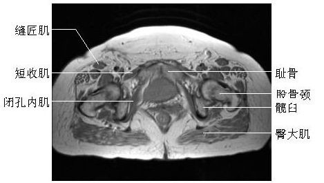
髋关节横断面(一)

髋关节横断面(二)

髋关节横断面(三)

髋关节横断面(四)

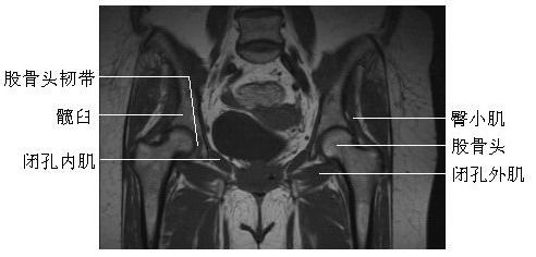
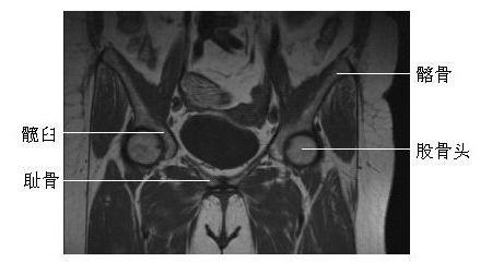
髋关节冠状面(一)

髋关节冠状面(二)

髋关节冠状面(三)

膝关节矢状面(一)

膝关节矢状面(二)

膝关节矢状面(三)

膝关节矢状面(四)

膝关节矢状面(五)

膝关节冠状面(一)

膝关节冠状面(一)

膝关节冠状面(二)

膝关节冠状面(三)

膝关节冠状面(四)

膝关节冠状面(五)




京公网安备11010502051256号