带旋髂深血管髂骨瓣合并颗粒骨植骨治疗股骨颈骨囊肿一例
2016-03-03 文章来源:湖北医药学院附属人民医院骨关节外科 曹洪 邹海兵 张磊 刘波 我要说
骨囊肿是常见的骨组织良性瘤样病变之一,好发于股骨及肱骨上端,股骨颈骨囊肿的发病率相对较低。青壮年的股骨颈骨囊肿病变区骨质缺损较多,皮质边缘菲薄,治疗上存在特殊性。我科采用带旋髂深血管髂骨瓣合并颗粒骨植骨治疗股骨颈骨囊肿1例,现报告如下。
临床资料
患者,男,43岁,因“右髋部间断疼痛2年加重2周”入院,诉2年前无明显诱因出现右髋部间歇性疼痛,劳累后加重,休息后减轻,平时不伴活动障碍,无跛行,无关节畸形,未行特殊处理及治疗。近2周觉疼痛加重,来院就诊,门诊以“右股骨颈骨囊肿”收住我科。
入院专科体检:右髋部未见明显肿胀,局部压痛,未及明显轴向叩击痛,髋关节活动无明显受限,“4”字试验(-),患肢末梢血循环和运动感觉良好。门诊摄骨盆X线片,行髋关节CT及MRI检查。入院后完善相关检查,无明显手术禁忌,于入院后第3天行手术治疗。
腰硬联合麻醉满意后,患者取仰卧位,臀部垫高,常规消毒铺巾。以股骨头为中心,从髂棘至股骨上段前方取一约30cm长的反“S”形Smith⁃Petersen切口(图1a),切开皮肤皮下,从缝匠肌、股直肌的外侧进入,“T”形打开关节囊,见股骨颈增粗(图1b)。沿髂腹股沟切开腹股沟韧带,找出旋髂深血管,仔细分离血管达髂骨,注意保留股外侧皮神经及髂前上棘2cm的骨质,切取5.0cm×1.5cm的髂骨瓣(图1c),并挖取颗粒松质骨,取骨瓣术中顺利,见骨瓣出血良好,带蒂骨瓣血循环良好,游离备用。沿股骨颈前上方开窗约3.0 cm×1.5cm,见股骨颈及股骨头松质骨囊性变严重,并可见囊壁,连续性尚存在(图1d)。囊内有少量血性液体,呈多房样改变,有少量肉芽组织(图1e)。术中将肿瘤彻底刮除,刮勺、磨钻处理囊壁,10%氯化钠及95%酒精灭活肿瘤创面15 min,行髂骨颗粒松质骨空腔打压植骨。经股直肌下方,将带旋髂深血管髂骨瓣仔细嵌入开窗处,骨瓣插入嵌紧,活动髋关节未见骨块松动及脱出,“C”型臂X线机透视见骨块嵌入良好。大量生理盐水反复冲洗切口,彻底止血,清点器械辅料无误后,放置硅胶引流管2根,逐层缝合切口。
术后常规应用抗生素预防感染,低分子肝素预防静脉血栓、抗凝。患肢皮牵引制动4周,在不负重状态下行髋关节功能锻炼3个月后开始下地不负重行走,术后半年待植骨处骨密度明显好转后,再逐渐负重行走。
术后病理检查结果:符合骨囊肿表现(图2)。术后供区未出现疼痛或不适感,无皮缘坏死情况发生。患者髋关节疼痛于术后4周基本消失,3个月后复查X线片示植骨密度明显改善,术后半年复查X线片示股骨颈骨质愈合。患者手术前后影像学资料详见图3。

手术方法a:手术切口设计;b:打开关节囊后可见股骨颈增粗,骨皮质连续性存在;c:术中切取的髂骨瓣;d:股骨颈前上方开窗所见;e:术中刮除的囊壁

病理检查结果镜下所见(HE染色,×40)主要为成纤维细胞及多核巨细胞,符合骨囊肿病理改变

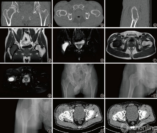
影像学资料a~c:术前额状位、冠状位、矢状位CT片示右侧股骨颈椭圆形溶骨性破坏区,骨皮质变薄,连续性尚存在;
d~g:术前MRI额状位、冠状位的T1、T2像示右侧股骨近段囊状长T1长T2信号影,范围约43 mm×29 mm×66 mm,边界欠清,其内尚均匀,边缘见稍低信号环,波及股骨头、股骨颈及转子间,周围软组织信号均匀,未见异常;
h:术前骨盆X线片见右侧股骨颈囊性病变;
i:术后复查右股骨近端正位X线片,可见植骨块及颗粒松质骨填充良好;
j:术后半年复查X线片见骨质基本愈合;
k:术后3d复查CT可见植骨块及填塞颗粒松质骨;
l:术后3个月复查CT见出现骨性愈合
随访1年,无囊肿复发。
讨论
骨囊肿也称单纯性骨囊肿、孤立性骨囊肿或单房性骨囊肿,是常见的骨组织良性瘤样病变之一,其特征是骨内的囊性病损,病变骨出现边界清晰的圆形或椭圆形溶骨性破坏区,骨皮质变薄,可伴有边缘硬化。该病好发于长管状骨的干骺端,以股骨及肱骨上端最为常见,股骨颈骨囊肿的发病率相对较低,约2/3患者无临床症状,常在发生病理性骨折时就诊发现。青壮年的股骨颈骨囊肿病变区骨质缺损较多,皮质边缘菲薄,治疗上存在特殊性。为防止复发,彻底清除病灶时极易引起术中、术后的并发骨折及髋关节内翻畸形,因此需要坚强的支撑;若早期行人工关节置换术,又有远期翻修的可能;同时,还需要增加股骨颈及股骨头的血液供应,防止股骨头缺血性坏死,以尽快恢复髋关节功能。
目前,关于股骨颈骨囊肿预防性应用内固定的指征还未达成共识,通常认为肿瘤较小者可以采用囊内刮除加植骨治疗;对瘤体较大而病变未累及关节面者,可应用内固定,预防术后并发股骨颈骨折。张振伟等报道了外侧入路病灶清除联合植骨和锁定钢板内固定治疗股骨颈骨囊肿7例,1例术中发生股骨颈骨折,1例发生切口感染,总体效果满意。
利用带旋髂深血管髂骨瓣合并颗粒骨植骨治疗股骨颈骨囊肿,局部开窗减压,行病灶清除后,通过植入带血管蒂的髂骨瓣以及辅助的颗粒松质骨,使股骨颈及股骨头得到良好的血液供应,促进股骨颈部植骨愈合及股骨头缺血骨质的修复,可预防股骨头缺血性坏死的发生。同时,髂骨瓣在股直肌下方转位后,将骨瓣的内侧皮质与股骨颈内下方骨皮质贴合,能提供坚强的支撑骨柱,有助于恢复髋关节的生物力学功能。
术中应注意轻柔操作,避免并发股骨颈骨折;使带血管蒂髂骨瓣的髂嵴内侧皮质与股骨颈内下方骨皮质贴合,以提供坚强的支撑;髂骨瓣在股直肌下方转位时,应防止血管蒂扭转、受压;同时,还应依据骨折愈合情况适时指导患者下地负重锻炼,避免术后并发股骨颈骨折及植骨块脱出。
综上所述,利用带旋髂深血管髂骨瓣合并颗粒骨植骨治疗股骨颈骨囊肿,具有较好的近期疗效。由于该疾病的发病率较低,还需要大样本的随访及进一步研究。
参考文献(略)
选自《骨科》



京公网安备11010502051256号