个性化3D打印导航模板在骨科手术的应用研究
2015-01-14 文章来源:成都军区昆明总医院附属骨科医院 陆 声 我要说
近年来,随着计算机技术及医学三维可视化研究的发展,有关人体结构的三维可视化研究及计算机辅助骨科技术也逐渐成为国际医学界研究的热点,在临床应用当中表现了出极大的现实意义。我们自2006年以来,利用计算机技术结合3-D打印技术在骨科手术的临床应用、基础研究方面做了大量的工作,也取得了一些成果。在国内外发表了多篇文章,并于2010年荣获Mimics创新奖,尤其是在个性化导航模板的设计制作及其辅助骨科手术方面进行了系统的探索研究,包括在脊柱、关节、矫形、创伤等方面的应用。研究表明,个性化导航模板辅助骨科手术即可以实现个体化的治疗方案的设计,又可以达到理想的治疗效果,相比传统的技术手段,表现出了很大的优越性,现就以上诸方面的研究进行一个相应的介绍。

一、 个性化导航模板在脊柱外科手术中的应用
脊柱的椎弓根螺钉内固定虽然是一种具有明显生物力学优势的内固定技术, 但由于脊柱的解剖变异的存在,采用统一的植钉标准显然是不恰当的,每例手术均应根据每个椎弓根实际X线和CT测量结果来置钉,才能提高手术成功率,降低风险。对每一个不同的椎弓根施以相应的不同的置钉方式越来越成为临床十分关注的课题。为此,我们将逆向工程原理与快速成型技术相结合, 设计了一种个性化的数字化导航模板辅助术中实际植钉,并取得了一些积极的成果。现就颈、胸、腰椎等不同节段椎体的导航模板的设计及其应用做一介绍。
个性化脊柱导航模板的设计方法基本一致,在众多的方法中,这里我们介绍其中一种利用投影的手段来确定植钉最佳植钉通道。我们基于脊柱CT连续断层数据,通过序列预处理的过程,生成STL格式的三维模型,再通过UG imageware12.0软件确定椎弓根螺钉的最佳进钉通道。首先获得椎弓根的正投影,其内侧壁投影为椎弓根的进钉最小参考通道(图1)。连接两个正投影的中点即可以得到椎弓根螺钉的最佳进钉通道。利用Magics9.5软件测量工具还可以获得实际植钉所需要的椎弓根螺钉的参数,为实际植钉提供可靠的参照。

图1. 利用逆向工程软件确定椎弓根螺钉植入通道
(a) 椎弓根的正投影 (b) 椎弓根螺钉最佳位置的正投影
(c) 椎弓根螺钉通道 (d) 导航模板理想的导航管的方位。
通过Geomagic studio12参考最佳进钉点所在的位置,提取椎体后部解剖形态,设计与椎板后部解剖形态一致的反向模板(图2),与椎弓根植钉通道拟合为一体,形成带有定位定向管道的数字化导航模板。在三维重建椎体模型上即可以进行虚拟植钉手术操作。再通过光固化成型技术(SLA)生成实模板体即可以辅助术中应用。在临床应用时可以确保每一枚螺钉正确的置入位置和方向(图3),真正体现了颈椎椎弓根螺钉置入的个体化原则。我们的临床应用范围已经包括了从上颈椎、胸腰椎到脊柱侧弯矫形等多个方面。

图2 设计与椎板后部解剖形态一致的虚拟反向模板

图3 虚拟模板通过SLA技术生成实体,辅助尸体实验及术后X线影像

辅图 尸体标本经模板辅助椎弓根植钉后的CT影像显示椎弓根钉位置良好

辅图 临床实验术中操作
临床研究发现,每个导航模板都和相应椎体后部骨性解剖结构十分贴合,所有椎弓根螺钉置入较为满意。术后CT扫描发现椎弓根螺钉完全位于椎弓根内,进钉点准确、进钉角度恰当,螺钉长度及直径合适,无穿破椎弓根皮质及椎体前方的螺钉,患者无周围组织损伤症状。个体化的脊柱椎弓根导航模板对于手术医师只要将模板和暴露的椎板相贴合, 就可以进行钉道准备, 并不依赖于个人经验。模板的制作是个体化的制作, 可采用定制的方式, 因此临床上有应用方便,为颈椎椎弓根的定位提供了一种全新的方法。(如图4、图5)。

图4 术后X线及CT影像

图5 脊柱侧弯矫形术椎弓根导航模板的临床应用及术后X线影像
一、 个性化导航模板在髋、膝关节外科手术中的应用
1.个性化股骨头导航模板在髋关节表面置换中的实验研究
近年来,人们对关节置换的精确性要求不断提高,更加要求提高手术操作技巧和关节假体植入的准确性。目前临床应用的统一设计的商业化假体和统一操作的假体植入方式,难以满足患者期望实现个体化精确治疗的要求。为此我们设计制造了股骨头的导航模板,以期实现理想的远期疗效。
我们将CT原始断层Mask通过预处理过程获得目标的三维数字模型(STL格式),基于轮廓生长线的概念将股骨头拟合为球体,获得股骨头中心。以股骨颈的解剖轴为基准外翻后获得股骨头假体柄植入的最佳通道,建立了股骨头模板的导航管,结合股骨头颈部的反模生成了虚拟的导航模板(如图6)。

图6 连接股骨头中心和股骨近端中心线上相对较细处的一点,外翻后获得导航管位置,生成虚拟的股骨头导航模板。


辅图 股骨头导航模板辅助尸体实验
研究表明,个体化股骨头导航模板根据不同个体选择不同的模板域和假体外翻角,建立个体化的假体植柄通道。它与股骨颈部的几何相似性保证了二者间紧密的结合和模板精确的导航作用,可引导股骨头假体准确植入,达到预期的植入方位,为THRA术中提供了一种新的的辅助手段。
2.个性化髋臼卵圆窝导航模板在全髋关节置换中的实验研究
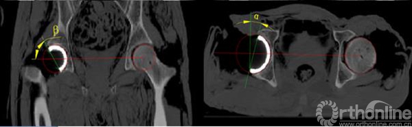
我们将对照侧髋臼表面点云的最适拟合球心坐标的镜像定义为HJC。通过3-matic6.1 软件建立水平位和冠状位的辅助平面,分别获得骨盆二维平面上的投影并测量得到髋关节的旋转中心O1和髋臼的方位(如图7)。再通过三角函数的关系计算得到髋臼旋转轴上的一个点(O2)(如图8)。连接O1O2两点的直线就代表了髋臼的旋转轴,也就是模板导航管的方向,沿计算好的髋臼旋转轴植入一虚拟髋臼杯假体,可以实现三维可视化观察,判断预期臼杯植入的效果(如图9)。

图7通过骨盆冠状面、水平面两个投影平面测得髋臼方位。

图8 图中O1为髋中心,利用三角函数的关系计算得到髋臼旋转轴上的O2。

图9 将虚拟髋臼杯沿髋臼旋转轴线植入到髋臼进行模拟观察。

图10尸体实验,需要利用自行设计的中空的髋臼锉进行同心磨锉。

辅图 实验后的X线平片,据其测量臼杯假体方位。

辅图 尸体实验臼杯假体植入后的CT影像。
利用逆向技术建立与髋臼卵圆窝表面解剖形状一致的反向模板,以髋臼旋转轴线为中轴线确定导航管的方向,设计出虚拟的髋臼卵圆窝导航模板,沿导航管植入一定位针代表髋臼旋转轴,判断手术植入的效果(如图10)。
研究表明,通过建立骨盆的辅助平面,结合三维信息的采集和二维平面的测量获得的髋臼外展角和髋臼前倾角更加接近其生理角度。以健侧为参照,根据对称性原理建立模板侧髋臼方位具有可靠的精确度,又避免了变异的解剖特点对测量结果的影响。
3.个性化导航模板在人工全膝关节置换中的实验研究
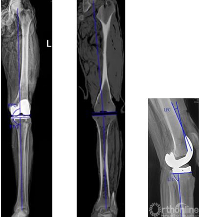
MR具有无辐射、无骨伪影、无损伤、高对比度、高分辨率等优点,在膝关节三维重建中较 CT 具有明显优势。我们基于MR数据,完成对髋-膝-踝骨性结构和关节软骨的三维重建和对股骨、胫骨机械轴线的测量,连接股骨头中心和膝关节中心获取股骨机械轴线,连接胫骨平台中心和踝关节中心获取胫骨机械轴线。
在Imageware13.0软件中建立局部三维坐标系,确定行股骨远端截骨的导航定位针孔所在的平面,再根据截骨模块两侧对称的固定针孔间的距离,垂直于确定的导航定位针孔所在的平面进行平行点云截面操作,通过点云拟合操作创建出两条直线,获得股骨远端截骨导航定位孔的位置(图11)。在Imageware13.0中基于股骨机械轴线及股骨外科髁上轴,建立局部参考坐标系,得到模块两条固定针进针的中心直线,即为导航定位孔方向(图12)。按照在Geomagic11.0中确定的胫骨截骨参照点及对截骨模板的测量,确定胫骨截骨导航定位针孔所在平面(图13)。调整该平面后倾角度,获得胫骨近端导航模板定位孔(图14)。根据整个下肢髋-膝-踝关节MRI数据建立股骨与胫骨机械轴线,按照实际膝关节的表面解剖形态设计模板的贴合面,确定导航管的位置与方向,从而设计出股骨、胫骨截骨定位的个体化导航模板,进行模拟截骨(图15)。

图11 股骨远端截骨导航定位孔的位置确定。

辅图 股骨远端假体旋转轴线的相关参考轴。

图12四合一截骨模块导航定位孔的位置确定。

图13 确定胫骨截骨导航定位孔平面

图14 胫骨截骨导航定位孔方向设计。

图15 模拟截骨

辅图 膝关节假体植入的尸体实验。

辅图 假体组件位置及评价参数测量。

辅图 膝关节假体植入的临床实验。

辅图 术后下肢机械轴线的测量及假体组件位置。
表一

研究表明,膝关节导航模板具有很高的股骨远端和胫骨近端截骨精确性和假体旋转轴线定位的准确性,为TKA提供了一种新的辅助方法。能够获取准确的下肢机械轴线、股骨远端假体旋转轴线、假体位置,同时也有效的减少了术后并发症,近期临床效果值得肯定。
三、个性化导航模板在矫形外科手术的临床应用
我们以下肢骨骼的中心线为标准设计好畸形骨骼的理想力线,通过导航模板的媒介与患者的形态特征及生理功能取得了比较完美的一致性,术后下肢对线得到了明显的改善,并且提高了手术操作的可重复性。根据人体形态学上对称性的原理,通过对四肢力线的测量及镜像理论的应用,基于对骨骼中心线及数学方法的知识,建立了不同部位畸形矫正的个体化导航模板,在临床应用中获得了肯定的效果。
下面选择一例膝关节内翻患者做一介绍。根据镜像原理,建立患侧下肢的镜像模型,通过Three-matic6.1将模型投影到冠状面和矢状面上进行测量。我们选择对胫骨的中心线曲线上曲率最小的一段折线,其两个端点对应点的坐标定义为截骨平面所在的位置。在Three—matic6.1 软件建立健侧胫骨及其镜像模型的中心线,获得胫骨内翻角度(预期截骨角度),可以进行模拟截骨复位,设计个体化矫形方案,生成模板实体指导手术(图16-19)。

图16 将健侧的镜像作为患侧截骨矫形的参照。

图17 通过在冠状投影面、矢状投影面测量分析,确定截骨角度和位置。

图18 模板辅助术中操作。
图19 术后X线影像。
结果,术后形态学上术前均存在明显的下肢畸形,术后有了明显的改善。术后影像学测量,单平面骨骼解剖轴和矫正轴线最大偏移3.3°,手术前后双下肢长度最大相差0.5cm,手术前后测量下肢力线相比较没有显著性差异 ( P > 0.05 )。

附加病例:胫骨畸形儿童一例,利用CT数据获得畸形骨骼的三维模型

基于胫骨中心线呈曲线及曲率的数学概念,选择该中心线上曲率最小的两个点确定截骨平面,再通过反复模拟截骨复位,获得最佳模拟手术的效果,进而建立导航模板。

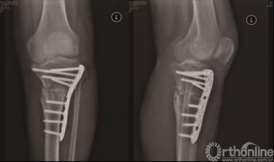
术中操作,利用克氏针沿导航管道钻出截骨轨道进行截骨、复位、内固定;

术后X影像表现,胫骨轴线得到纠正,形态学上的显畸形得到有效纠正。
研究表明,建立的辅助精确手术的方法能够充分利用骨骼对应力的适应性控制,在矫正骨骼畸形的同时有利于骨的生长与吸收,促进骨骼愈合改建及功能优化重建。对个体化骨骼矫形的术前规划和术后评估具有了极大的启示作用。本文基于畸形骨骼的中心线及其投影,以数字化和量化的数学方法来精确的计算出截骨平面及其角度,保证了实现对畸形骨骼精准矫形的最终目的。
总结
在骨科手术中,不同个体的骨骼组织解剖差异性的存在对建立个体化的治疗方案提出了新的要求。获得手术部位准确的解剖特点和几何信息是手术成功的重要保证,严格的术前规划是实现手术预期质量的关键。利用个体化导航模板辅助手术,实现个体化诊断和治疗,适应了数字化时代发展的需要,也满足了患者对治疗安全性和精确性的追求。利用个性化的导航模板辅助骨科手术,可以完成快速术前规划、模拟手术等,减少手术操作误差的发生,达到理想的手术效果。



京公网安备11010502051256号