在关节外畸形的全膝关节置换中应用个性化截骨导板 —病例报告
2014-11-30 文章来源:北京大学第三医院 蔡宏 我要说
骨科在线版权所有,如需转载请注明来自本网站.
1.前言
根据术前下肢CT或MRI影像重建,借助计算机辅助设计(CAD),确定截骨角度与厚度,采用3D打印技术构建患者个性化截骨模块(Patient-Specific Instrumentation,PSI),进行全膝关节置换(Total Knee Arthroplasty,TKA)的技术在临床已应用多年。理论上的目标是减少手术时间,增加假体安放位置的准确性,以改善患者的临床结果。但最新的研究(JAAOS 2013)结果表明,并无有效的证据证明PSI和传统的TKA相比具有这些优势。当然,文章也指出对于特殊的、复杂的TKA,PSI可提供有益的帮助。作者报道一例采用PSI完成关节外畸形的TKA病例,探讨PSI在该类手术中的应用价值。
2.病例摘要
2.1 病史及诊断
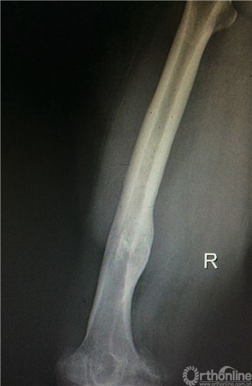
患者女性,69岁,病史7年。表现为逐渐加重的右膝关节疼痛、活动受限,负重行走和劳累后出现,上下楼梯更重,初始休息后可缓解,经口服硫酸氨基葡萄糖,非甾体类消炎药物,及“小针刀”,关节内注射玻璃酸钠等多种保守治疗,3年前疼痛、活动受限明显加重,影响日常生活就诊。23年前车祸伤致右股骨中下段粉碎骨折,外院行切开复位内固定,术后7月内固定松动,骨折未愈合,遂再次行切开复位内固定,髂骨取骨植骨术,直至骨折愈合后1年取出内固定。有高血压病史,规律服用降压药物控制良好。患者身高153cm,体重85公斤,BMI36kg/m2。右膝外上25cm术后瘢痕,右膝活动度10-90度,膝内外侧均有压疼,髌磨阳性。术前全长X片,膝关节负重正侧位片提示右膝关节重度骨性关节炎,右股骨中下段成角畸形(图1a,1b,1c)。
术前诊断:右膝重度骨性关节炎,右股骨干骨折术后(成角畸形),高血压病。
2.2术前计划
(1)膝重度骨性关节炎,疼痛,影响患者生活,符合全膝关节置换术指征;
(2)畸形发生在冠状位,关节外股骨中下段;下肢全长片测量,股骨中下段内侧成角,股骨外翻角约14度(图1b);
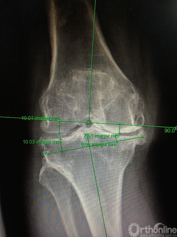
(3)右下肢全长CT扫描,将DICOM格式文件输入Materialise Mimics17.0中,进行三维重建,确定股骨头旋转中心,膝关节中心及踝关节中心,标记股骨、胫骨机械轴,冠状位垂直于机械轴确定股骨、胫骨截骨方向,并以初次置换标准确定截骨厚度(图2a,2b);
(4)选取手术中可以确定显露的骨性结构表面,逆向求得反向模型。设计生成导板STL文件,在EOS FORMIGA110设备中使用医用塑料PA2200进行3D打印,制作截骨导板,消毒后备用(图3a,3b)。
2.3 手术操作要点
(1)常规入路显露关节,但保留股骨髁及胫骨平台边缘骨赘;
(2)与截骨导板接触的骨面需充分暴露,如股骨前翼皮质、胫骨结节内侧部位,去除半月板等残余结构;采用专用工具刮除与截骨导板接触的平台和股骨髁面软骨;
(3)将截骨模块与骨面紧密贴合,然后以固定钉固定,再次确认截骨角度与厚度与术前计划一致后,完成股骨远端和胫骨近端的截骨(图4a,4b);测量截下的骨块厚度,确定是否与术前计划一致;
(4)利用通髁线和Whiteside线确定股骨外旋,常规工具完成股骨前后髁截骨;
(5)使用间隙测量器测量屈伸间隙,屈曲位内外侧平衡,伸直位内侧间隙紧约5mm;
(6)使用Pie-Crusting技术松解内侧副韧带浅层后半部分至伸直位平衡;
(7)按照常规完成假体安装。
2.4 术后处理
术后常规进行抗凝、预防感染、镇痛处理,24小时拔除引流后关节伸屈功能锻炼,并扶拐下地负重。拍摄术后X片,下肢力线恢复,假体安放位置准确(见图5)。
3.讨论
关节外畸形的全膝关节置换通常需要全面评估畸形发生的部位,畸形的角度以及畸形对手术操作的影响,以决定畸形是通过关节内矫正还是关节外矫正;是一期矫正畸形并关节置换,还是分期进行。通常,远离关节面、单平面、角度相对较小的畸形可以通过关节内矫正。
关节外畸形可能造成下肢力线判断困难,影响髓内定位杆使用,通过关节内截骨矫正造成新的软组织不平衡。计算机导航可帮助判断下肢力线,无需使用髓内定位,带有软组织平衡设计的导航也能帮助手术操作,适于在关节外畸形的关节置换中使用。但由于计算机导航设备昂贵,学习曲线较长,增加手术时间,因此开展的并不普遍。而采用3D打印制作个性化截骨导板,通过详细的术前设计节约手术操作时间,专用软件和设备均可由生产企业购买,导板操作流程简单易于掌握。缺点是需要患者额外增加下肢CT或MRI扫描费用;导板的设计与制作需要专门的操作人员与医生共同进行,需要一定的准备时间;且一旦手术计划发生变更,导板无法重复利用;手术准确性取决于设计的准确性及导板的精度。因为本例患者的难点在于股骨力线的确定与截骨,因此仅使用了股骨远端及胫骨近端的截骨导板。在导板的设计方面,相对而言,下肢力线的判断较为容易,精度较高。而股骨外旋的确定有赖于对通髁线的准确判断,所以容易出现偏差。
本例患者股骨畸形虽略靠近关节水平,但仅在冠状面,且角度不大(外翻角为14度,成角畸形约为10度),术前测量,通过减少股骨内侧髁远端截骨,并适当增加股骨外侧髁远端截骨即可矫正畸形。但随之会产生一个非矩形的伸直间隙,一方面是由于退变导致的内外侧韧带不平衡,另一方面则是关节内矫形造成的软组织不平衡。前者通过内侧副韧带深层的松解,内侧骨赘切除即达到平衡;后者笔者采用内侧副韧带Pie-Crusting技术进行松解,优点是不增加内侧结构过度剥离的损伤,不影响关节线水平,操作直视可控。
因此,利用3D打印技术设计个性化截骨导板,可为关节外畸形的全膝关节置换提供有效的解决方案。

图1a. 双下肢全长片,右膝重度骨性关节炎,右股骨中下1/3陈旧骨折畸形愈合,向内侧成角畸形。

图1b. 右股骨中下段内侧成角畸形,股骨外翻角约14度。

图1c. 矢状位显示股骨中下段无明显成角畸形。

图2a. 右下肢CT扫描,三维重建后,和右下肢全长叠加,在软件中确定股骨机械轴,并设计截骨导板。

图2b. 确定截骨的厚度。

图3a.股骨远端模型及股骨侧截骨导板。

图3b. 胫骨近端模型及胫骨侧截骨导板。

图4a. 股骨侧安装截骨导板后固定钉固定。

图4b. 胫骨侧安装截骨导板后固定钉固定。

图5. 术后全长片显示下肢力线恢复良好。



京公网安备11010502051256号