您的位置: 骨科在线 > 学术园地 > 典型病例

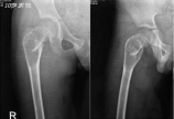
【骨质疏松】意外跌倒之后

病情概述: 李某,女,汉族,81岁,某厂退休工人,75kg。走平路时跌倒致左髋部疼痛、活动受限10天。患者10天前散步时,因躲闪对面行人不慎跌倒致左侧肢体着地,当即感到左髋部疼痛、站立和行走困难。摔倒时无昏迷、恶心呕吐、胸腹腰部疼痛二便失禁等。卧床休息数日后,疼… [详情]

【小儿骨科】“问倒老师系列”之六:儿童股骨近端骨囊肿伴病理骨折

病情概述: 一例儿童股骨近端骨囊肿伴病理骨折的处理策略(EBM分级:专家意见)Seniordoctor:ManuelCassianoNevesMD,MSc(EFORTPresident2013-2014)EFORT:EuropeanFederationofNationalAssociationsofOrthopaedicsandTraumatology………… [详情]

【小儿骨科】“问倒老师系列”之五:儿童股骨干骨折——长度不稳定型

病情概述:   在应用弹性髓内钉固定治疗儿童长度不稳定型股骨干骨折时,在常规ESIN技术原则之外,我们还需要特别注意哪些……  学生:这是个5岁4个月男孩,摔伤致右股骨干骨折,可以用弹性髓内钉固定吗?要是应用ESIN固定,有什么特别需要注意的吗?  老师:可… [详情]

【小儿骨科】“问倒老师系列”之四:儿童陈旧孟氏骨折(一)

病情概述:   学生:这是个13岁男孩,摔伤右肘致“右孟氏骨折”,行尺骨切开复位钢板内固定。术后两个月发现桡骨头脱位,行翻修手术“环状韧带重建+尺桡骨近端克氏针固定”。您预测翻修术效果会怎么样?  老师:我预计翻修术必然失败。原始新鲜孟氏骨折包括桡骨头向前… [详情]

【小儿骨科】“问倒老师系列”之三:这例髁上骨折需要CRPP吗?

病情概述:   学生:4岁男孩,摔伤致“右肱骨髁上骨折”,急诊行骨折手法整复,您看复位后位置可以接受吗?  老师:从原始X线片看,正位示轻度尺偏,侧位示肱骨前缘线没有经过肱骨小头,骨折远端轻度向后移位,后方骨皮质部分相连,是典型的GartlandII型骨折。复位… [详情]

【小儿骨科】“问倒老师系列”之二:陈旧外髁骨折怎么办?

病情概述:   摘要:IfIhaveseenfurtheritisbystandingontheshouldersofgiants.——IsaacNewton  小编的话:上周开始我们的“问倒老师系列”,有朋友开玩笑说,“没有问倒啊?”^_^虽然叫这个名字,其实,没想真的问倒老师啦。希望一点点能让大家感… [详情]

【小儿骨科】“问倒老师系列”之一:这例外髁骨折要手术吗?

病情概述:   Dr.Yang经常教导我们说,年轻医生要多看多想,多问你的老师,能问倒他才算本事。所以就有了“问倒老师系列”,模仿学生和老师问答的形式。  学生:这是个3岁的男孩,“摔伤左肘5小时”急诊就诊,查体“左肘肿胀,外侧为著,左肘屈伸活动受限”。我诊断… [详情]

【上肢骨折】桡骨远端骨折治疗结果

病情概述: 采用闭合复位,有限克氏针固定+外固定架术。本病例骨折面离关节面偏近,不适合钢板内固定。克氏针固定可控制骨块再移位,保持尺偏掌倾角。外固定架可控制桡骨长度,维持轴向稳定。 [详情]

   


骨科在线 北京经纬在线网络科技有限公司

京ICP备15001394号-2 京公网安备11010502051256号

 信息产业部备案管理系统

地址:北京市朝阳区朝阳门北大街乙12号1号楼8层08公寓H

联系电话:010-85615836

Email:orth@orthonline.com.cn